| 查看: 4097 | 回复: 29 | |||
夏菡小屋金虫 (正式写手)
|
[求助]
姜的总RNA提取,电泳只有一条带 已有5人参与
|
||
|
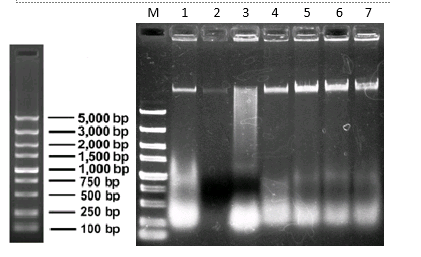
见图,这是我今天提取姜的总RNA结果图,旁边是TAKARA的DL5000 marker,用的是1.2%的普通琼脂糖凝胶电泳,总共提取了7管,用了三个不同的方法,其中一个方法(Lane 3)未见条带,其余均有明显条带,感觉有降解,但只有一个明显的条带,这是28s RNA吗?姜的28s 和18s,5s RNA到底是多大啊,求指导!!这种图显示,应该问题出在什么地方? 无标题1.png |
» 猜你喜欢
留学--博士招生
已经有16人回复
化学工程,本211,求调剂,ab区不限
已经有4人回复
化学工程及工业化学论文润色/翻译怎么收费?
已经有93人回复
湖北师范大学招调剂啦
已经有7人回复
邵阳学院食品与化学工程学院硕士调剂
已经有0人回复
天津商业大学 生物与医药课题组招生
已经有0人回复
生物化工学硕招收调剂
已经有0人回复
广东石油化工学院2026年硕士研究生需要多名生物,制药工程,食品专业的调剂生
已经有0人回复
317分 一志愿江南大学 化学工程学硕 求调剂
已经有6人回复
化工申博
已经有3人回复
» 本主题相关价值贴推荐,对您同样有帮助:
DNA电泳中,如果基因片段有RNA或蛋白等杂质时,跑电泳会出现什么异常现象吗
已经有6人回复
RNA提完电泳,条带疑似降解,第二天跑又好了,有没人遇到这种情况
已经有25人回复
琼脂糖电泳rna ,跑成这样,是怎么回事?求指导
已经有19人回复
RNA提取电泳效果不好
已经有12人回复
提取的RNA 浓度低还能做电泳检测质量吗?
已经有3人回复
电泳检测RNA完整性
已经有17人回复
RNA提取及电泳问题(附图),虫友们能否帮我分析下啊~~
已经有15人回复
关于总RNA提取后的电泳条带
已经有6人回复
RNA电泳图分析
已经有10人回复
CTAB法提取RNA,电泳后完全无条带
已经有5人回复
RNA 提取后,电泳显示全部为5s处弥散片段,求帮助
已经有21人回复
关于RNA电泳的一些疑惑
已经有14人回复
提取RNA后跑电泳,条带非常不清晰怎么回事啊?我是新手,谢谢啦!
已经有6人回复
trizol法手提虾肠道RNA电泳图,求分析
已经有12人回复
植物RNA提取后电泳检测
已经有16人回复
提取RNA电泳上样量
已经有21人回复
细菌RNA电泳图
已经有6人回复
新手提RNA,电泳图看不懂
已经有18人回复
细菌RNA提取后跑电泳出现一条暗带和在泳道中弥散都是什么原因?
已经有9人回复
RNA电泳结果分析
已经有11人回复
昆虫RNA 提取!电泳图,看不懂!请高手指点!
已经有9人回复
RNA跑电泳结果
已经有11人回复
RNA电泳条带滞后?
已经有5人回复
【求助/交流】大家来看下我的RNA电泳图
已经有11人回复
【求助/交流】RNA电泳图
已经有4人回复
【求助/交流】帮我看看假丝酵母总RNA提取电泳图
已经有7人回复
gyesang
荣誉版主 (著名写手)
-

专家经验: +24 - MolEPI: 31
- 应助: 599 (博士)
- 贵宾: 2.689
- 金币: 24334.9
- 散金: 1088
- 红花: 88
- 沙发: 2
- 帖子: 2327
- 在线: 623.1小时
- 虫号: 849017
- 注册: 2009-09-16
- 性别: GG
- 专业: 细胞信号转导
- 管辖: 分子生物

3楼2014-04-19 17:27:13
fuchange918
木虫 (正式写手)
- 应助: 33 (小学生)
- 金币: 2368.4
- 红花: 4
- 帖子: 716
- 在线: 151.7小时
- 虫号: 1727732
- 注册: 2012-03-30
- 性别: GG
- 专业: 食用真菌学
8楼2014-04-19 21:22:09
24楼2014-04-21 16:31:17
gyesang
荣誉版主 (著名写手)
-

专家经验: +24 - MolEPI: 31
- 应助: 599 (博士)
- 贵宾: 2.689
- 金币: 24334.9
- 散金: 1088
- 红花: 88
- 沙发: 2
- 帖子: 2327
- 在线: 623.1小时
- 虫号: 849017
- 注册: 2009-09-16
- 性别: GG
- 专业: 细胞信号转导
- 管辖: 分子生物

6楼2014-04-19 19:44:50

27楼2014-04-21 20:24:41

9楼2014-04-20 11:40:33
lanhaizhixin
木虫 (著名写手)
- 应助: 4 (幼儿园)
- 金币: 2665.9
- 散金: 1881
- 红花: 26
- 帖子: 1087
- 在线: 325.1小时
- 虫号: 911616
- 注册: 2009-11-24
- 专业: 信息理论与信息系统
10楼2014-04-20 12:01:34
2楼2014-04-19 15:55:56
夏菡小屋
金虫 (正式写手)
- 应助: 2 (幼儿园)
- 金币: 2531.5
- 散金: 39
- 帖子: 575
- 在线: 149.7小时
- 虫号: 1114411
- 注册: 2010-10-05
- 性别: MM
- 专业: 微生物药物
|
抽提缓冲液:0.25M NaCl,0.05M Tris-HCl(pH7.5),20mM EDTA,1%(w/v)SDS,4%(w/v) PVP(M.W.360,000) 提取步骤: 1.1.5ml离心管中加入0.5ml抽提缓冲液和0.5ml 苯酚氯仿异戊醇(25:24:1); 2.0.5g冰冻样品至研钵中,在液氮存在下研磨成粉末; 3.转移1g样品至离心管中(步骤1),涡旋剧烈震荡混匀; 4.4℃离心12000rpm*10min; 5.转移上清至另一离心管中,加入等体积的 苯酚氯仿异戊醇(25:24:1),4℃离心12000rpm*3min,重复此步骤直到能看到一个清晰的界面; 6.转移上清至新的离心管中,加入十分之一体积3M醋酸钠(pH5.2)以及2.5倍体积冷无水乙醇,混匀后,4℃孵育30min; 7.再次4℃离心12000rpm*20min; 8.冷的70%乙醇洗涤后干燥,加入200μL DEPC处理水溶解沉淀; 9.转移上清至新的离心管中加入4M LiCl至终浓度为2M,冰上放置1h,4℃离心12000rpm*20min; 10. 冷的70%乙醇洗涤后干燥,加入50μL DEPC处理水溶解沉淀; 请问我的步骤有问题吗? |
4楼2014-04-19 17:48:16
夏菡小屋
金虫 (正式写手)
- 应助: 2 (幼儿园)
- 金币: 2531.5
- 散金: 39
- 帖子: 575
- 在线: 149.7小时
- 虫号: 1114411
- 注册: 2010-10-05
- 性别: MM
- 专业: 微生物药物
|
1. 1.5ml离心管中加入0.5ml抽提缓冲液和0.5ml苯酚氯仿异戊醇(PCI, 25:24:1); 2.0.5g冰冻样品至研钵中,在液氮存在下研磨成粉末; 3.转移样品至离心管中(步骤1),涡旋剧烈震荡混匀; 4.室温离心12,857g*2min; 5.转移上清至另一离心管中,加入等体积的PCI,4℃离心12000*3min,重复此步骤直到能看到一个清晰的界面; 6.转移上清至新的离心管中,加入十分之一体积3M醋酸钠(pH5.2)以及2.5倍体积冷无水乙醇,混匀后,4℃孵育30min; 7.再次4℃离心12000**20min; 8.冷的70%乙醇洗涤后干燥,加入200μL DEPC处理水溶解沉淀; 9.转移上清至新的离心管中加入4M LiCl至终浓度为2M,冰上放置1h,4℃离心12000**20min; 10. 冷的70%乙醇洗涤后干燥,加入50μL DEPC处理水溶解沉淀. 11.普通琼脂糖凝胶电泳检测,1.2%胶。电泳至前沿。 请问我的步骤有问题吗? |
5楼2014-04-19 17:53:04
★
感谢参与,应助指数 +1
夏菡小屋(西门吹雪170代发): 金币+1, 鼓励回帖交流 2014-04-20 14:30:02
感谢参与,应助指数 +1
夏菡小屋(西门吹雪170代发): 金币+1, 鼓励回帖交流 2014-04-20 14:30:02
|
本帖内容被屏蔽 |
7楼2014-04-19 21:01:17














回复此楼
5