当前位置:小木虫首页 >> 分子生物

500ul培基里加5ulDMSO细胞会死吗

雨卷书莲
我想用我合成的探针做个细胞成像,之前用PBS溶解的探针,拍不出荧光,所以我想用DMSO+Tris-Hcl溶解我的探针如果500ul培基里加5ulDMSO的话细胞会死吗?
分子生物
  • 250
  • 5

原核表达蛋白诱导问题

JH5HJ
使用pGEX-4T-1载体表达蛋白,在未加IPTG与加IPTG诱导组无差异,然后换了pET-28a载体,同样也出现这种奇怪的现象,已经困扰很久了,百思不得其解,望各位大佬指点迷津,小女子不甚感激。
分子生物
  • 250
  • 5

原核表达蛋白诱导问题

JH5HJ
使用pGEX-4T-1载体表达蛋白,在未加IPTG与加IPTG诱导组无差异,然后换了pET-28a载体,同样也出现这种奇怪的现象,已经困扰很久了,百思不得其解,望各位大佬指点迷津,小女子不甚感激。
分子生物
  • 150
  • 3

重叠pcr条带模糊怎么办

songxiawu
做重叠pcr,但最后跑出的条带很模糊,应该怎么处理?我是两条条带连接。
分子生物
  • 200
  • 4

公司给的测序结果和参考序列对不上请问是什么原因?

冰糖胡鲁
请问公司给的测序结果和参考序列对不上是什么原因?可能是样品问题吗?克隆的是DNA,是用NCBI已知序列设计的引物,pcr出来跑胶大小也对的上,没连接载体的情况下可能测出序列吗?
分子生物
  • 300
  • 6

求助大神们,PCR引物C端如何加蛋白标签flag?

清若123456
急急急,求大神们救救急(。。。。。。。。。。。。。。。。凑字数。。。。。。。。。。。。。。。。。前面的帖子以及删了,怎么这个还提示对不起,您已经发过类似内容的主题了,请不要一帖多发哦发不了)老师让我在引物(PCR引物)序列中引入蛋白标签flag,方便后续的纯化...
分子生物
  • 750
  • 15

Migrate-n的问题,请求帮助

yy小太阳
您好,首先感谢你的回复和帮助。我有两个问题要请教,我的结果出来只是迁徙量M和群体大小?,怎么转换成基因流Nm的形式?二是我运算的结果同一物种不同的分区方式,比方说5个种群1-5,分成3个(1、2,3、4,5),计算的结果和分成2个(1、2,3、4、5)不一致。...
分子生物
  • 250
  • 5

招聘农学类、生物化学、微生物学类、生物技术类客座硕士研究生!

charles08
本课题组欲招聘植物保护学(植物病理学)、或生物化学、微生物学类、生物技术类合作培养硕士研究生、本科实习生。课题组前期基础扎实,可保证完成学校对研究生毕业的论文等硬性要求,提供硕士论文试验费用,此外,提供硕士研究生科研津贴1000元/月(本科实习生800),免费...
分子生物
  • 1250
  • 25

DNA如何防止解离

木棉2018
小弟最近在做DNA杂交,杂交是在Tris(10mM)中进行的。用电化学方法在PBS(10mM,pH7.4)中表征时发现其很容易解离,15min信号降了一半。是不是DNA在PBS中易解离呢?不知道各位前辈老师们有没有防止其解离的方法?
分子生物
  • 1000
  • 20

分子振动指纹( vibrational fingerprints)

Alexander94
本人专业光学方向,研究内容增强分子振动指纹(vibrationalfingerprints)红外光谱。不知道哪位同学能给我提供一下,某种常见的或者研究较火的蛋白质分子,脂质,核酸分子,或者病毒等等等之类的分子振动指纹,要有分子的红外波段的光学参数,折射率或者介...
分子生物
  • 2400
  • 48

求大佬,需要设计引物对目的基因全长扩增

fire,
各位大佬,我已提取了质粒,我需要重新构建表达载体进行原核表达,打算购买试剂盒。但是,现在需要以质粒为模板进行PCR扩增,我需要设计引物,但是我用primer5设计的正反引物(都从头开始扩增)所显示的结果都不好,没法用,有没有其他办法能够扩增出我的基因全长。急需...
分子生物
  • 450
  • 9

想请教下RNAi测序没有载体通用引物

Zandraa
想请教下RNAi测序没有载体通用引物,自己在插入目的基因上下游重新设计的,但是测序结果比对不上
分子生物
  • 250
  • 5

求助 Primer Premier 5安装软件

能吃不胖
试了至少3个论坛上下载的版本,总是安装不了。求助PrimerPremier5安装软件,win10系统,64位的,谢谢拉。
分子生物
  • 2050
  • 41

PCR扩增不出条带

米米℃
pcr扩增不出想要的条带,重复多次,改变试剂也不行,是相应基因片段缺失吗?如果是这样,该怎么改变扩增策略呢?谢谢大家了!
分子生物
  • 250
  • 5

非常规培养蛋白质晶体的20种方法之三

学员1CxsZa
很多情况下是无法获得理想的、具有很好衍射能力的晶体,那么对应有一些非常规的操作手法,可以极大提高获得晶体hit,以及提高衍射能力的方法。本文介绍一种更换样品存储buffer筛选同一批试剂盒,正交之后近似n倍结晶条件(n=变换buffer条件个数)。蛋白样品存储...
分子生物
  • 2600
  • 52

qPCR检测限为什么不是拷贝数/反应,而是拷贝数/mL

xbwwsq
目前看到的关于新冠等核酸检测试剂盒标明的检测限都是“拷贝数/mL”,这是怎么测出来的,看了很多文章都说是利用已知浓度的病毒颗粒或质粒十倍稀释后看最低能检测到的拷贝数,并没有写明详细做法。不理解的是,为什么检测限不以“拷贝数/反应”来表示,比如1000拷贝/mL...
分子生物
  • 650
  • 13

ppiczaA质粒换ppic9k 请问有人可以换嘛

yuso
或者是其他真核表达质粒,我手上有gs115x33以及ppiczaA,单位是大学的实验室,有大哥大姐们愿意换一换扩充一下自己的生物学工具嘛
分子生物
  • 200
  • 4

求大神指导,为什么我的胰腺中的gapdh条带是这样?

shangbing
求大神指导,帮我分析分析为什么我的胰腺组织的内参gapdh成了这个样子
分子生物
  • 150
  • 3

真菌基因组DNA电泳无条带,急求帮助

饿的神啊
半个月前用ctab法提取了镰刀菌的dna,用nanodrop检测了浓度,基本在1000ng/ul,260/230在1.8-2.0之间,当时认为质量不错,没有电泳检测,将d...
分子生物
  • 150
  • 3

Cas9X构建全球齐全的基因编辑细胞库

Cas9xman
Cas9X构建全球齐全的基因编辑细胞库海星生物18974812172
分子生物
  • 4000
  • 80

10KDa的,是不是分子量大于10KDa的就被留在膜上了,小于10的才能过?

张会张尧
10KAmiconcentrifugalfilter,是不是分子量大于10KDa的就被留在膜上了,小于10的才能过?(那个说明书是英文的,看着太费劲了,也看不明白)
分子生物
  • 200
  • 4

western blot 内参

格式化错误
我用α-tublin作为内参,最近总是会有杂带。我跑的是mcfs小鼠心肌成纤维细胞,不知道是什么原因,希望如果有出现类似问题可以解答一下
分子生物
  • 350
  • 7

变性聚丙烯酰胺凝胶分离单链DNA

蓝色幽谷
如何将变性聚丙烯酰胺凝胶分离的单链DNA回收回来呢?十分感谢!!!
分子生物
  • 1200
  • 24

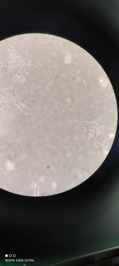
MAL-12细胞培养问题

单人可
AML-12细胞在培养过程中老是出现这些东西,有见过这种情况的大佬吗?这是什么啊?是什么原因造成的呢?有什么好的解决方法。(培养基用高糖DMEM,10%FBS)细胞.jp...
分子生物
  • 250
  • 5

细胞出现*移动/长条*小黑点,求解答

rt820289476
细胞发现有很多黑点,这是40倍显微镜下,不能上传视频,这个照片小黑点还不咋多,也不太清晰。镜下不动培养皿,黑点一直在小幅度运动,还挺快的。由于时间问题,没换液观察,也没看...
分子生物
  • 150
  • 3

两种互作的蛋白,突变其中一个蛋白的一两个氨基酸后通过什么方法可以检测亲和力的变化

15152350611
请问对于两种互作的蛋白,突变其中一个蛋白的一两个氨基酸后通过什么方法可以检测亲和力的变化呢?
分子生物
  • 350
  • 7

同样的模板,同样的条件试剂,隔了一周就死活扩不出目的条带了

南科大刘晟材组
纯菌菌液提取的基因组dna作为模板,25微升体系,目的条带片段大小约350bp,上周都能扩到清晰目的条带,但这周重新跑就一直扩不出来了,只有杂带,marker2000很清...
分子生物
  • 150
  • 3

LAMP假阳性求助

curevv
小弟最近做LAMP实验,显色剂用了SYBRGREEN和钙黄绿素,但是每次得到结果的时候水对照都是阳性,这咋办阿
分子生物
  • 350
  • 7

有偿求购RP4载体

sannny
出500红包求RP4载体。
分子生物
  • 1750
  • 35
下载小木虫APP
与700万科研达人随时交流
  • 二维码
  • IOS
  • 安卓