| 查看: 3032 | 回复: 13 | ||
ch854355011新虫 (初入文坛)
|
[求助]
SDS-PAGE蛋白表达 已有7人参与
|
|
|
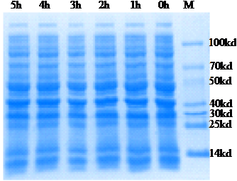
最近原核表达SDS-PAGE一直没结果。也不知道出现了什么问题。原核表达载体是pet28a,菌BL21,培养基LB,经菌液pcr,酶切和测序,表明重组质粒构建成功,诱导浓度1mmol/L,取样0-5h,但是每次跑出来的条带都一样,没有所需目的条带的表达,目的基因在27或33kd,跑出来的图片每次都没表达,并且条带深浅度一样。求助给点意见。 `~~~4[GB2GK@Q)LEVF_[JU0.png |
» 猜你喜欢
筑牢营养安全线:以精准检测,护健康基石
已经有0人回复
推荐一些20种氨基酸检测的实际应用案例
已经有0人回复
化学工程及工业化学论文润色/翻译怎么收费?
已经有216人回复
不合理蛙科研实验中的趣事:实验器材的 “乌龙”
已经有0人回复
不合理蛙科研实验中的趣事:和实验材料的 “斗智斗勇”
已经有0人回复
蛋白质检测:精准分析,解锁生物分子的密码
已经有0人回复
不合理蛙科研实验之小鼠实验:严谨设计,解析生命机制的重要载体
已经有0人回复
不合理蛙科研实验之重金属检测:精准筛查,守护健康与环境的防线
已经有0人回复
不合理蛙科研实验之“蛙测重金属我背锅三千”
已经有0人回复
不合理蛙科研实验之“鼠逃三次我发三篇SCI”
已经有0人回复
» 本主题相关价值贴推荐,对您同样有帮助:
sds-page 蛋白染色脱色后条带特别特别浅,求救啊
已经有7人回复
SDS-PAGE与酶活性
已经有11人回复
有没有大神做过干旱胁迫下高粱蛋白表达的SDS-PAGE,求电泳图
已经有0人回复
SDS-PAGE蛋白提取液可以在4度放多久?
已经有2人回复
低表达量的蛋白SDS-PAGE检测不出来,该用什么方法检测?
已经有8人回复
SDS-PAGE如何检测我的蛋白亚基?
已经有2人回复
求助SDS-PAGE分析蛋白表达量(百分比含量)
已经有6人回复
诱导蛋白表达 SDS-PAGE没有目的条带
已经有11人回复
SDS-page 原核表达蛋白 电泳条带弥散
已经有6人回复
原核表达后蛋白跑SDS-PAGE细节问题
已经有3人回复
SDS-PAGE跑膜蛋白为什么会这样
已经有12人回复
原核表达和SDS-PAGE
已经有9人回复
如何回收SDS-PAGE上表达的目的蛋白,如何测定目的蛋白活性(要详细步骤啊)
已经有7人回复
超低分子量SDS-PAGE
已经有14人回复
SDS-PAGE定量分析
已经有4人回复
跑SDS-PAGE,酵母菌蛋白怎么裂解
已经有3人回复
Tricine-SDS-PAGE电泳问题求助。急!!!
已经有12人回复
求SDS-PAGE胶薄层扫描软件
已经有4人回复
wangpeng8
银虫 (小有名气)
- 应助: 1 (幼儿园)
- 金币: 549
- 帖子: 144
- 在线: 49.8小时
- 虫号: 1984590
- 注册: 2012-09-08
- 性别: GG
- 专业: 免疫学研究新技术与新方法

3楼2016-01-26 19:54:22
梅太奇阿拉干
木虫 (小有名气)
- 应助: 7 (幼儿园)
- 金币: 2137.8
- 红花: 5
- 帖子: 139
- 在线: 69.6小时
- 虫号: 2566697
- 注册: 2013-07-26
- 专业: 生物物理、生物化学与分子
2楼2016-01-26 19:53:25
7楼2016-01-27 18:40:07
梅太奇阿拉干
木虫 (小有名气)
- 应助: 7 (幼儿园)
- 金币: 2137.8
- 红花: 5
- 帖子: 139
- 在线: 69.6小时
- 虫号: 2566697
- 注册: 2013-07-26
- 专业: 生物物理、生物化学与分子
10楼2016-03-11 22:59:27
原海亮
木虫 (著名写手)
- 应助: 232 (大学生)
- 金币: 4607.4
- 散金: 3521
- 红花: 33
- 帖子: 1804
- 在线: 375.4小时
- 虫号: 1392705
- 注册: 2011-09-06
- 性别: GG
- 专业: 微生物生理与生物化学
|
你这个是全细胞加热后跑的么,还是细胞超声后跑的上清?建议沉淀也跑一下,看看目的蛋白是不是在沉淀包涵体中。另外不知道你诱导温度,一般低温过夜诱导较好,可以做诱导温度优化。还有iptg诱导浓度可以适当降低些 发自小木虫Android客户端 |

4楼2016-01-26 20:55:00
tj113578888
金虫 (小有名气)
- 应助: 1 (幼儿园)
- 金币: 1165.3
- 散金: 460
- 帖子: 231
- 在线: 50小时
- 虫号: 3124407
- 注册: 2014-04-09
- 性别: GG
- 专业: 微生物学

5楼2016-01-26 21:10:19
X小天T
金虫 (正式写手)
- 应助: 8 (幼儿园)
- 金币: 3233.5
- 散金: 1531
- 红花: 1
- 帖子: 411
- 在线: 56.5小时
- 虫号: 1565701
- 注册: 2012-01-05
- 性别: GG
- 专业: 人类遗传学
6楼2016-01-26 22:03:47
8楼2016-01-30 23:39:57
9楼2016-02-20 15:49:25













回复此楼