| ²é¿´: 1970 | »Ø¸´: 27 | |||
ssssss0527¾èÖú¹ó±ö (ÕýʽдÊÖ)
|
[ÇóÖú]
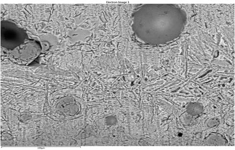
±¾¿Æ²ËÄñÇóÖú ÈçºÎÅж¨Ä³²ÄÁÏÊÇÒºÏàÉÕ½áor¹ÌÏàÉÕ½á ÒÑÓÐ4È˲ÎÓë
|
|
RT¡£ Èç¹ûÏëÖªµÀ׼ȷµÄ²£Á§Ïà±ÈÀý ÓкαíÕ÷ÊֶΠлл£¡ |
» ²ÂÄãϲ»¶
266·Ö£¬Ò»Ö¾Ô¸µçÆø¹¤³Ì£¬±¾¿Æ²ÄÁÏ£¬Çó²ÄÁÏרҵµ÷¼Á
ÒѾÓÐ6È˻ظ´
Çóµ÷¼Á
ÒѾÓÐ4È˻ظ´
¹¤¿Æ277·ÖÇóµ÷¼Á²ÄÁÏ
ÒѾÓÐ8È˻ظ´
0832ʳƷ¿ÆÑ§Ó빤³Ìѧ˶282µ÷¼Á
ÒѾÓÐ9È˻ظ´
±¾¿Æ211£¬293·ÖÇëÇóµ÷¼Á
ÒѾÓÐ8È˻ظ´
Çóµ÷¼Á
ÒѾÓÐ8È˻ظ´
0703»¯Ñ§µ÷¼Á325·Ö
ÒѾÓÐ9È˻ظ´
Çóµ÷¼Á
ÒѾÓÐ11È˻ظ´
ÊýÒ»Ó¢Ò»274»úеµ÷¼Á
ÒѾÓÐ6È˻ظ´
Çóµ÷¼Á£¬Ò»Ö¾Ô¸Ö£ÖÝ´óѧ²ÄÁÏÓ뻯¹¤×¨Ë¶£¬Ó¢¶þÊý¶þ342·Ö£¬ÇóÀÏʦÊÕÁô
ÒѾÓÐ20È˻ظ´
» ±¾Ö÷ÌâÏà¹ØÉ̼ÒÍÆ¼ö: (ÎÒÒ²ÒªÔÚÕâÀïÍÆ¹ã)
» ±¾Ö÷ÌâÏà¹Ø¼ÛÖµÌùÍÆ¼ö£¬¶ÔÄúͬÑùÓаïÖú:
ÍË»ðºÍÉÕ½áµÄÇø±ð
ÒѾÓÐ7È˻ظ´
Ìմɾ§Á£´óС¶Ô½éµçÐÔÄܵÄÓ°Ï죿
ÒѾÓÐ8È˻ظ´
ÔÚÑõ»¯ÂÁ½ðÊô»¯¹¤ÒÕÖÐMn-Mo»î»¯·¨ÓëMn-MoÉսᷨÓÐÇø±ðÂð
ÒѾÓÐ4È˻ظ´
ÌÕ´ÉÅßÌåÃܶÈÓë×îÖÕÉÕ½áÌåÃܶȣ¬Á½ÕßÊÇ·ñÓÐÄÚÔÚÁªÏµ£¿¾¿¾¹Óжà´ó£¿
ÒѾÓÐ12È˻ظ´
ÈçºÎͨ¹ýDSCÇúÏßÈ·¶¨¹ÌÏàÏߺÍÒºÏàÏßζȣ¬ÇÐÏß·¨È·¶¨¹ÌÏàÏßζȾßÌå·½·¨ÊÇʲô£¿
ÒѾÓÐ13È˻ظ´
Á½ÖÖÎïÖÊ»ìºÏÉսᣬÔõÑù²âÊÔËûÃÇÊǶÀÁ¢Ï໹ÊDzúÉúеÄÏà
ÒѾÓÐ8È˻ظ´
¹ÌÏà»òÒºÏàÉÕ½á¿ÉÒÔÖÆ±¸ÄÉÃ×ÌÕ´ÉÂð
ÒѾÓÐ6È˻ظ´
¹ØÓÚÌÕ´ÉÖÂÃÜÐÔµÄÌÖÂÛ£¡
ÒѾÓÐ19È˻ظ´
¾§½ç±¡Ä¤£¨IGF£©¡¢¾§½çÆ«¾Û¡¢¾§½çÎü¸½¡¢¾§½çÍêÈ«ÈóʪµÈ·½ÃæµÄÎÊÌâ
ÒѾÓÐ10È˻ظ´
½ðÊôÌմɲÄÁÏÉսṤÒÕժ¼×ܽáÒ»¡¢
ÒѾÓÐ14È˻ظ´
¹ØÓÚÌմɲÄÁÏÉÕ½áÎÊÌâ
ÒѾÓÐ12È˻ظ´
8.10¡¾ÌÕ´ÉÆ¬ÖÐµÄÆø¿×¡¿
ÒѾÓÐ10È˻ظ´
¡¾ÌÖÂÛ¡¿Ìá¸ßÌÕ´ÉÉÕ½áÃܶÈ
ÒѾÓÐ13È˻ظ´
¡¾ÌÖÂÛ¡¿WC-CoÓ²ÖʺϽð ¿×϶Âʹý¸ßµÄÔÒò£¿ÈçºÎ¿ØÖÆ£¿
ÒѾÓÐ20È˻ظ´
¡¾ÇóÖú¡¿ÈýÔª²ÄÁÏÄøîÜÃÌËá﮺ͽðÊôÑõ»¯ÎïÓÃʲô·½Ê½ÄܲôÔӵľùÔÈ£¿£¿£¿
ÒѾÓÐ28È˻ظ´
¡¾ÌÖÂÛ¡¿ÒºÏàÉÙ»¹ÊÇÒºÏàÉÕ½áÂð
ÒѾÓÐ7È˻ظ´
¡¾ÌÖÂÛ¡¿ÉÕ½áζÈÓë¾§Á£³¤´óºÍÉÕ½áÃܶÈÖ®¼äµÄ¹ØÏµ
ÒѾÓÐ30È˻ظ´
¡¾ÇóÖú¡¿ÄÉÃ×·ÛÌåÉÕ½áµÄÌÕ´ÉÃܶÈΪʲô²»¸ß£¿
ÒѾÓÐ38È˻ظ´
¡¾ÌÖÂÛ¡¿ÇëÎÊÁ÷ÑÓµþƬÅŽººóÀäµÈ¾²Ñ¹ÔÙÉսᣬÌÕ´ÉÄÚ²¿ºÜ´Ö²Ú£¬Ôõô»ØÊ£¿
ÒѾÓÐ37È˻ظ´
xkcn
ľ³æ (ÕýʽдÊÖ)
- Ó¦Öú: 14 (СѧÉú)
- ½ð±Ò: 3036.6
- ºì»¨: 2
- Ìû×Ó: 339
- ÔÚÏß: 248.5Сʱ
- ³æºÅ: 877431
- ×¢²á: 2009-10-19
- ÐÔ±ð: GG
- רҵ: ÎÞ»ú·Ç½ðÊôÀàµç½éÖÊÓëµç½â
¡¾´ð°¸¡¿Ó¦Öú»ØÌû
¡ï ¡ï ¡ï ¡ï ¡ï
ssssss0527: ½ð±Ò+5, ¡ï¡ï¡ïºÜÓаïÖú, Ç× ÎÒ»¹ºÃÆæÃ²ËÆÑϸñ¶¨Òå¶¼ÊÇ˵liquid phase£¬Èç¹ûËûºÍÉÕ½áºóglass phaseµÄº¬Á¿²¢ÎÞ׼ȷ¶ÔÓ¦¹ØÏµ µ±Ê±ÊÇÔõô²âliquid phaseº¬Á¿µÄ£¿Ð»Ð» 2014-02-09 15:32:09
ssssss0527: ½ð±Ò+5, ¡ï¡ï¡ïºÜÓаïÖú, Ç× ÎÒ»¹ºÃÆæÃ²ËÆÑϸñ¶¨Òå¶¼ÊÇ˵liquid phase£¬Èç¹ûËûºÍÉÕ½áºóglass phaseµÄº¬Á¿²¢ÎÞ׼ȷ¶ÔÓ¦¹ØÏµ µ±Ê±ÊÇÔõô²âliquid phaseº¬Á¿µÄ£¿Ð»Ð» 2014-02-09 15:32:09
| XRD¿ÉÒÔ²âË㣬һ°ãÇé¿öÏÂÑùÆ·×îºÃ¿ìËÙÀäÈ´£¬ÕâÑùÈç¹ûÓв£Á§ÏàÒ²²»»áÒòΪ»ºÂý½µÎ¶øÎö¾§ |

2Â¥2014-02-06 13:35:49
ssssss0527
¾èÖú¹ó±ö (ÕýʽдÊÖ)
- Ó¦Öú: 18 (СѧÉú)
- ½ð±Ò: 120.5
- É¢½ð: 103
- ºì»¨: 4
- Ìû×Ó: 417
- ÔÚÏß: 210.4Сʱ
- ³æºÅ: 1478367
- ×¢²á: 2011-11-06
- רҵ: Äý¾Û̬ÎïÐÔ II £ºµç×ӽṹ
3Â¥2014-02-06 15:46:38
xkcn
ľ³æ (ÕýʽдÊÖ)
- Ó¦Öú: 14 (СѧÉú)
- ½ð±Ò: 3036.6
- ºì»¨: 2
- Ìû×Ó: 339
- ÔÚÏß: 248.5Сʱ
- ³æºÅ: 877431
- ×¢²á: 2009-10-19
- ÐÔ±ð: GG
- רҵ: ÎÞ»ú·Ç½ðÊôÀàµç½éÖÊÓëµç½â

4Â¥2014-02-06 20:32:50
ssssss0527
¾èÖú¹ó±ö (ÕýʽдÊÖ)
- Ó¦Öú: 18 (СѧÉú)
- ½ð±Ò: 120.5
- É¢½ð: 103
- ºì»¨: 4
- Ìû×Ó: 417
- ÔÚÏß: 210.4Сʱ
- ³æºÅ: 1478367
- ×¢²á: 2011-11-06
- רҵ: Äý¾Û̬ÎïÐÔ II £ºµç×ӽṹ
5Â¥2014-02-07 00:23:22
ssssss0527
¾èÖú¹ó±ö (ÕýʽдÊÖ)
- Ó¦Öú: 18 (СѧÉú)
- ½ð±Ò: 120.5
- É¢½ð: 103
- ºì»¨: 4
- Ìû×Ó: 417
- ÔÚÏß: 210.4Сʱ
- ³æºÅ: 1478367
- ×¢²á: 2011-11-06
- רҵ: Äý¾Û̬ÎïÐÔ II £ºµç×ӽṹ
6Â¥2014-02-07 00:29:25
guxue
ר¼Ò¹ËÎÊ (ÖªÃû×÷¼Ò)
ѧϰʹÈ˽ø²½
-

ר¼Ò¾Ñé: +1781 - IN-EPI: 14
- Ó¦Öú: 2372 (½²Ê¦)
- ¹ó±ö: 1.086
- ½ð±Ò: 41186.4
- É¢½ð: 102
- ºì»¨: 158
- Ìû×Ó: 6486
- ÔÚÏß: 609.8Сʱ
- ³æºÅ: 538944
- ×¢²á: 2008-04-03
- רҵ: ÎÞ»ú·Ç½ðÊôÀà¹âµçÐÅÏ¢Ó빦
- ¹ÜϽ: ÎÞ»ú·Ç½ðÊô

7Â¥2014-02-07 08:51:01
ssssss0527
¾èÖú¹ó±ö (ÕýʽдÊÖ)
- Ó¦Öú: 18 (СѧÉú)
- ½ð±Ò: 120.5
- É¢½ð: 103
- ºì»¨: 4
- Ìû×Ó: 417
- ÔÚÏß: 210.4Сʱ
- ³æºÅ: 1478367
- ×¢²á: 2011-11-06
- רҵ: Äý¾Û̬ÎïÐÔ II £ºµç×ӽṹ
8Â¥2014-02-08 02:40:17
guxue
ר¼Ò¹ËÎÊ (ÖªÃû×÷¼Ò)
ѧϰʹÈ˽ø²½
-

ר¼Ò¾Ñé: +1781 - IN-EPI: 14
- Ó¦Öú: 2372 (½²Ê¦)
- ¹ó±ö: 1.086
- ½ð±Ò: 41186.4
- É¢½ð: 102
- ºì»¨: 158
- Ìû×Ó: 6486
- ÔÚÏß: 609.8Сʱ
- ³æºÅ: 538944
- ×¢²á: 2008-04-03
- רҵ: ÎÞ»ú·Ç½ðÊôÀà¹âµçÐÅÏ¢Ó빦
- ¹ÜϽ: ÎÞ»ú·Ç½ðÊô

9Â¥2014-02-08 09:07:22
ssssss0527
¾èÖú¹ó±ö (ÕýʽдÊÖ)
- Ó¦Öú: 18 (СѧÉú)
- ½ð±Ò: 120.5
- É¢½ð: 103
- ºì»¨: 4
- Ìû×Ó: 417
- ÔÚÏß: 210.4Сʱ
- ³æºÅ: 1478367
- ×¢²á: 2011-11-06
- רҵ: Äý¾Û̬ÎïÐÔ II £ºµç×ӽṹ
10Â¥2014-02-08 16:14:21














»Ø¸´´ËÂ¥