版块导航
正在加载中...
客户端APP下载
论文辅导
申博辅导
登录
注册
帖子
帖子
用户
本版
应《网络安全法》要求,自2017年10月1日起,未进行实名认证将不得使用互联网跟帖服务。为保障您的帐号能够正常使用,请尽快对帐号进行手机号验证,感谢您的理解与支持!
24小时热门版块排行榜
>
论坛更新日志
(2348)
>
文献求助
(67)
>
导师招生
(63)
>
休闲灌水
(59)
>
虫友互识
(42)
>
硕博家园
(40)
>
论文投稿
(31)
>
论文道贺祈福
(30)
>
考研
(30)
>
公派出国
(26)
>
考博
(22)
>
教师之家
(20)
>
博后之家
(18)
>
基金申请
(18)
>
找工作
(13)
>
SciFinder/Reaxys
(9)
小木虫论坛-学术科研互动平台
»
生物医药区
»
分子生物
»
PCR相关
»
染色体步移 怎么会这样? 求帮忙分析下原因。【有图】
2
1/1
返回列表
查看: 613 | 回复: 1
只看楼主
@他人
存档
新回复提醒
(忽略)
收藏
在APP中查看
jesse86
金虫
(小有名气)
应助: 0
(幼儿园)
金币: 680.5
散金: 9
帖子: 198
在线: 107.3小时
虫号: 922217
注册: 2009-12-07
性别: GG
专业: 生物大分子结构与功能
[
求助
]
染色体步移 怎么会这样? 求帮忙分析下原因。【有图】
已有1人参与
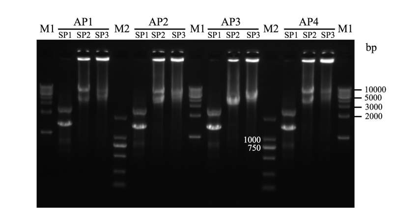
第二轮和第三轮PCR时模板用了上一轮PCR产物1微升,未稀释。为什么点样孔处有那么亮条带,而且AP1~AP4不同引物扩时,4组PCR产物跑胶后的条带都差不多呢?区别不大。接下来该怎么办?
2015.06.15.01 染色体步移(左端1).jpg
回复此楼
» 猜你喜欢
筑牢营养安全线:以精准检测,护健康基石
已经有0人回复
推荐一些20种氨基酸检测的实际应用案例
已经有0人回复
化学工程及工业化学论文润色/翻译怎么收费?
已经有74人回复
不合理蛙科研实验中的趣事:实验器材的 “乌龙”
已经有0人回复
不合理蛙科研实验中的趣事:和实验材料的 “斗智斗勇”
已经有0人回复
蛋白质检测:精准分析,解锁生物分子的密码
已经有0人回复
不合理蛙科研实验之小鼠实验:严谨设计,解析生命机制的重要载体
已经有0人回复
不合理蛙科研实验之重金属检测:精准筛查,守护健康与环境的防线
已经有0人回复
不合理蛙科研实验之“蛙测重金属我背锅三千”
已经有0人回复
不合理蛙科研实验之“鼠逃三次我发三篇SCI”
已经有0人回复
» 本主题相关价值贴推荐,对您同样有帮助:
求帮忙分析下核磁图,急急急
已经有7人回复
本人做了一个高分辨的质谱,求懂质谱的虫友帮忙分析一下,主要想知道分子量~
已经有49人回复
我做了一个DSC--TGA分析,求懂热重分析的虫友帮忙解析一下,不胜感激~
已经有25人回复
跪求大神帮忙,分析一下我zeta电位测试结果异常的原因
已经有11人回复
染色体步移结果该如何解释?
已经有10人回复
染色体步移技术和5'RACE的区别
已经有11人回复
稻瘟病菌培养出问题了,求帮忙分析一下
已经有6人回复
求助PCR扩增试验遇到的问题?
已经有12人回复
求MALDI TOF 质谱专家帮忙分析下谱图,万分感谢
已经有5人回复
求助,有关染色体步移法
已经有4人回复
染色体步移求助
已经有13人回复
求帮忙分析下EIS
已经有6人回复
如何设计引物扩增片段?做克隆的
已经有11人回复
求高手帮忙分析一下镁铝二元相图啊
已经有6人回复
求帮忙分析下菌液PCR检测结果
已经有19人回复
求大家帮忙分析下这个CV曲线吧
已经有10人回复
求高手帮忙分析一下NMR和IR谱图,第一次做,无从下手,哪怕进来给点建议也好?
已经有43人回复
试剂盒,染色体步移试剂盒,除了TAKARA的,还有什么其他牌子的?介绍下
已经有5人回复
【求助】求流变达人帮忙分析一下流变图 谢谢
已经有12人回复
【求助】帮忙分析下I-V曲线
已经有26人回复
【求助】求人帮忙分析一下xps C 1s谱图
已经有11人回复
没什么好写的
1楼
2015-06-15 10:40:57
已阅
回复此楼
关注TA
给TA发消息
送TA红花
TA的回帖
hanxiaominhu
至尊木虫
(著名写手)
应助: 126
(高中生)
金币: 25793.4
散金: 127
红花: 14
帖子: 2978
在线: 846.8小时
虫号: 1526260
注册: 2011-12-06
性别: GG
专业: 生物化学
【答案】应助回帖
感谢参与,应助指数 +1
是不是有必要把上一轮的产物稀释一下,再当模板。
赞
一下
回复此楼
2楼
2015-06-15 17:31:22
已阅
回复此楼
关注TA
给TA发消息
送TA红花
TA的回帖
相关版块跳转
新药研发
药学
药品生产
分子生物
微生物
动植物
生物科学
医学
我要订阅楼主
jesse86
的主题更新
2
1/1
返回列表
如果回帖内容含有宣传信息,请如实选中。否则帐号将被全论坛禁言
普通表情
龙
兔
虎
猫
百度网盘
|
360云盘
|
千易网盘
|
华为网盘
在新窗口页面中打开自己喜欢的网盘网站,将文件上传后,然后将下载链接复制到帖子内容中就可以了。
信息提示
关闭
请填处理意见
关闭
确定