| ²é¿´: 3064 | »Ø¸´: 7 | ||
d7220923ľ³æ (ÕýʽдÊÖ)
|
[ÇóÖú]
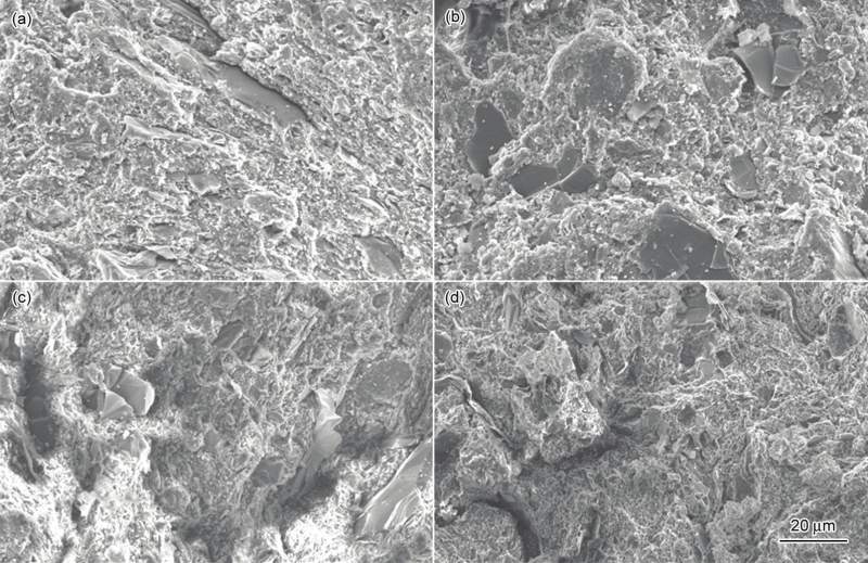
SEM¶ÏÃæÈçºÎ¿´ ÒÑÓÐ2È˲ÎÓë
|
|
|
|
||
¹ÈСÐþÌú¸Ëľ³æ (ÕýʽдÊÖ)
|
||
|
2Â¥2014-09-28 17:08:30
|
|
|
d7220923ľ³æ (ÕýʽдÊÖ)
|
||
|
3Â¥2014-09-28 17:19:22
|
|
|
¹ÈСÐþÌú¸Ëľ³æ (ÕýʽдÊÖ)
|
||
|
4Â¥2014-09-28 17:53:35
|
|
|
d7220923ľ³æ (ÕýʽдÊÖ)
|
||
|
5Â¥2014-09-29 09:51:18
|
|
|
¹ÈСÐþÌú¸Ëľ³æ (ÕýʽдÊÖ)
|
||
|
6Â¥2014-09-29 10:47:58
|
|
|
ºÉÌÁÒÁÈËгæ (³õÈëÎÄ̳)
|
|
|
|
7Â¥2014-09-30 21:33:10
|
|
|
|
¸Ðл²ÎÓ룬ӦÖúÖ¸Êý +1
|
||
|
8Â¥2014-10-01 06:59:28
|
|














»Ø¸´´ËÂ¥