±±¾©Ê¯ÓÍ»¯¹¤Ñ§Ôº2026ÄêÑо¿ÉúÕÐÉú½ÓÊÕµ÷¼Á¹«¸æ
²é¿´: 1019  |  »Ø¸´: 0

Ïþѧ¾¿

ľ³æ (ÖøÃûдÊÖ)

[ÇóÖú] ÇóÖú£º×éÖ¯£¨Èç¸ÎÔà¡¢Ðļ¡µÈ£©ÏßÁ£ÌåÌáÈ¡·½·¨£¬ÏêϸµãµÄ£¬×îºÃÓиöÌáÈ¡³öÀ´µÄ±ê׼ͼ£¡

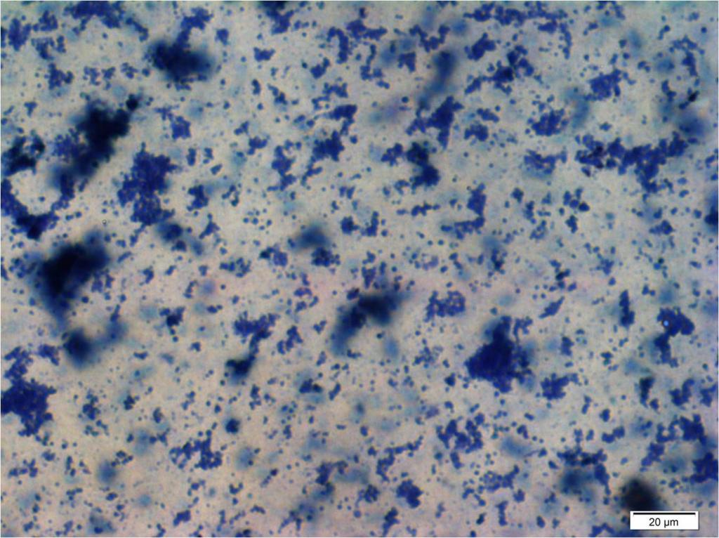
ÏßÁ£ÌåÌáÁ˺þö¼³öÀ´µÄÊÇÕâô¸ö¶«Î÷£¨¼û¸½Í¼£©£¬¶¼ÊÇ¿ÅÁ£É³×´¶«Î÷²»ÖªµÀÊÇʲô£¬Çó·½·¨£¬ÇóÖ¸µ¼£¡¡£

ͼƬ1.jpg



ͼƬ2.jpg
»Ø¸´´ËÂ¥
¶ÍÁ¶£¬Òûʳ£¬¼Æ»®£¬ÐÒ¸£
ÒÑÔÄ   ¹Ø×¢TA ¸øTA·¢ÏûÏ¢ ËÍTAºì»¨ TAµÄ»ØÌû

ÖÇÄÜ»úÆ÷ÈË

Robot (super robot)

ÎÒÃǶ¼°®Ð¡Ä¾³æ

ÕÒµ½Ò»Ð©Ïà¹ØµÄ¾«»ªÌû×Ó£¬Ï£ÍûÓÐÓÃŶ~

¿ÆÑдÓСľ³æ¿ªÊ¼£¬ÈËÈËΪÎÒ£¬ÎÒΪÈËÈË
Ïà¹Ø°æ¿éÌø×ª ÎÒÒª¶©ÔÄÂ¥Ö÷ Ïþѧ¾¿ µÄÖ÷Ìâ¸üÐÂ
×î¾ßÈËÆøÈÈÌûÍÆ¼ö [²é¿´È«²¿] ×÷Õß »Ø/¿´ ×îºó·¢±í
[¿¼ÑÐ] 266Çóµ÷¼Á +22 ÑôÑôÍÛÈû 2026-04-01 22/1100 2026-04-07 09:20 by À¶ÔÆË¼Óê
[¿¼ÑÐ] »·¾³×¨Ë¶µ÷¼Á +8 »á˵»°µÄÖâ×Ó 2026-04-06 8/400 2026-04-07 09:02 by Çç¿Õ210210
[¿¼ÑÐ] 304Çóµ÷¼Á +7 ËØÄê¼ÀÓï 2026-04-06 10/500 2026-04-06 23:31 by ËØÄê¼ÀÓï
[¿¼ÑÐ] ¿¼Ñе÷¼Á +7 15615482637 2026-04-04 7/350 2026-04-06 22:56 by chenzhimin
[¿¼ÑÐ] 328Çóµ÷¼Á +3 ghhh88888 2026-04-06 3/150 2026-04-06 21:35 by à£à£à£0119
[¿¼ÑÐ] µ÷¼Á +3 mcbbc 2026-04-06 4/200 2026-04-06 20:58 by lbsjt
[¿¼ÑÐ] ²ÄÁÏר˶ µ÷¼Á +14 CXN123456 2026-04-03 14/700 2026-04-05 17:18 by Hdyxbekcb
[¿¼ÑÐ] Ò»Ö¾Ô¸ÉϺ£º£Ñó´óѧ083200ʳƷѧ˶£¬Çóµ÷¼Á£¬½ÓÊÜÆäËûרҵ083200 +4 whatÕÅ 2026-04-04 5/250 2026-04-05 14:07 by chw1980_0
[¿¼ÑÐ] 081700ѧ˶£¬323·Ö£¬Ò»Ö¾Ô¸Öйúº£Ñó´óѧÇóµ÷¼ÁѧУ +16 ÅûÐÇºÓ 2026-04-04 16/800 2026-04-05 11:27 by Öí»á·É
[¿¼ÑÐ] 298Çóµ÷¼Á +7 manman511 2026-04-05 7/350 2026-04-05 10:29 by ÌÆãå¶ù
[¿¼ÑÐ] ²ÄÁÏ»¯¹¤306·ÖÕÒºÏÊʵ÷¼Á +14 ²×º£ÇáÖÛe 2026-04-04 14/700 2026-04-05 09:53 by ÖìÔÆ»¢202
[¿¼ÑÐ] 323·Ö£¨¼ÆËã»úÊÓ¾õºÍ´óÄ£ÐÍÏîÄ¿£©ÄÜÖ±½ÓÉÏÊÖ +3 chaoxiicy 2026-04-01 3/150 2026-04-05 00:50 by chongya
[¿¼ÑÐ] ר˶310Çóµ÷¼Á +5 ÀÌÀÌÎÒ¡­. 2026-04-04 6/300 2026-04-04 23:33 by barlinike
[¿¼ÑÐ] Çóµ÷¼Á +3 ũҵ¹¤³ÌÓëÐÅÏ¢¼ 2026-04-04 3/150 2026-04-04 12:19 by Éá¶øºóµÃ
[¿¼ÑÐ] 311Çóµ÷¼Á +11 Ó¸ҵÄСÎâ 2026-04-02 11/550 2026-04-03 21:46 by qlm5820
[¿¼ÑÐ] ר˶085601Çóµ÷¼Á +7 suyifei 2026-04-03 8/400 2026-04-03 14:00 by ÐÀϲ777
[¿¼ÑÐ] ÉúÎïѧ˶341Çóµ÷¼Á +4 ÄãЦÆðÀ´ÏñÔÆ¶ä 2026-04-03 4/200 2026-04-03 10:32 by macy2011
[¿¼ÑÐ] 081200-11408-276ѧ˶Çóµ÷¼Á +6 ´Þwj 2026-04-02 6/300 2026-04-03 10:19 by À¶ÔÆË¼Óê
[¿¼ÑÐ] ²ÄÁÏ340·Öµ÷¼Á +7 ÏÄÒ¹Íí·ç_long 2026-04-02 9/450 2026-04-02 21:20 by dongzh2009
[¿¼ÑÐ] 270µ÷¼Á +7 maxjxbsk 2026-04-02 7/350 2026-04-02 09:50 by yulian1987
ÐÅÏ¢Ìáʾ
ÇëÌî´¦ÀíÒâ¼û