版块导航
正在加载中...
客户端APP下载
论文辅导
申博辅导
登录
注册
帖子
帖子
用户
本版
应《网络安全法》要求,自2017年10月1日起,未进行实名认证将不得使用互联网跟帖服务。为保障您的帐号能够正常使用,请尽快对帐号进行手机号验证,感谢您的理解与支持!
24小时热门版块排行榜
>
论坛更新日志
(4703)
>
文献求助
(505)
>
虫友互识
(402)
>
导师招生
(216)
>
硕博家园
(211)
>
考博
(156)
>
休闲灌水
(121)
>
招聘信息布告栏
(83)
>
论文投稿
(83)
>
教师之家
(79)
>
博后之家
(78)
>
基金申请
(77)
>
绿色求助(高悬赏)
(55)
>
留学DIY
(48)
>
公派出国
(41)
>
论文道贺祈福
(37)
小木虫论坛-学术科研互动平台
»
生物医药区
»
分子生物
»
综合其他
»
AFLP预扩增不呈现弥散带
6
1/1
返回列表
查看: 1314 | 回复: 8
查看全部回帖
@他人
存档
新回复提醒
(忽略)
收藏
在APP中查看
当前只显示满足指定条件的回帖,点击这里查看本话题的所有回帖
cxb-abc
银虫
(小有名气)
应助: 5
(幼儿园)
金币: 693.5
红花: 2
帖子: 83
在线: 60.5小时
虫号: 1036133
注册: 2010-06-05
专业: 森林培育学
[交流]
AFLP预扩增不呈现弥散带
已有4人参与
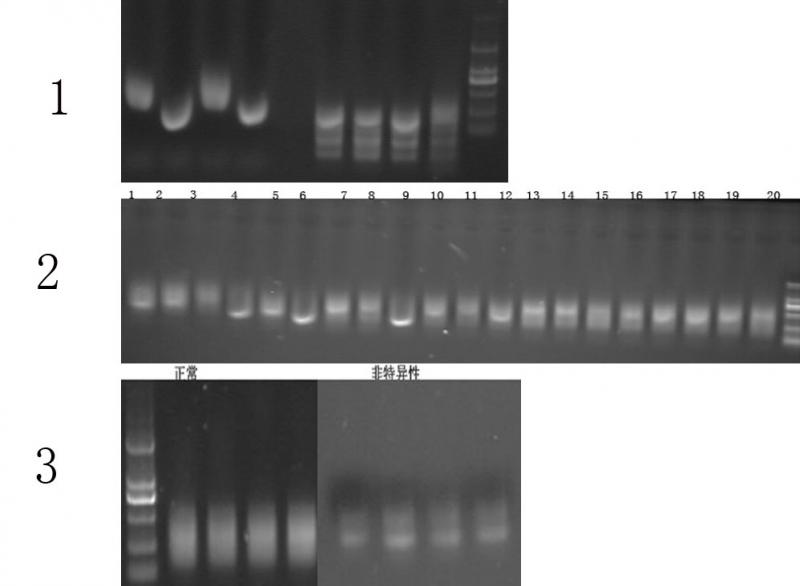
,大家好,我做AFLP的,目前预扩增扩不出来弥散带,只在100-250bp油条畸形带,我把所有东西都换了一边,还是找不到原因,请大家帮忙分析下,下面是i问题图片
回复此楼
» 本帖附件资源列表
欢迎监督和反馈:小木虫仅提供交流平台,不对该内容负责。
本内容由用户自主发布,如果其内容涉及到知识产权问题,其责任在于用户本人,如对版权有异议,请联系邮箱:xiaomuchong@tal.com
附件 1 :
问题图.jpg
2012-06-12 08:47:16, 64.32 K
» 猜你喜欢
科研赋能时尚宠物:检测护航,焕新养宠体验
已经有0人回复
精测粗蛋白:以科研标尺,守品质核心
已经有0人回复
化学工程及工业化学论文润色/翻译怎么收费?
已经有170人回复
解码碳水世界:科研探秘,赋能营养与应用
已经有0人回复
筑牢营养安全线:以精准检测,护健康基石
已经有0人回复
推荐一些20种氨基酸检测的实际应用案例
已经有0人回复
不合理蛙科研实验中的趣事:实验器材的 “乌龙”
已经有0人回复
不合理蛙科研实验中的趣事:和实验材料的 “斗智斗勇”
已经有0人回复
蛋白质检测:精准分析,解锁生物分子的密码
已经有0人回复
不合理蛙科研实验之小鼠实验:严谨设计,解析生命机制的重要载体
已经有0人回复
不合理蛙科研实验之重金属检测:精准筛查,守护健康与环境的防线
已经有0人回复
高级回复
» 本主题相关价值贴推荐,对您同样有帮助:
【求助】请教cDNA-AFLP 实验的相关问题,请大家帮忙看看,谢谢
已经有15人回复
请问cDNA-AFLP中酶切的问题,谢谢大家
已经有7人回复
AFLP酶切连接 求高人指点啊
已经有11人回复
请问AFLP的选择性扩增引物的第一个选择性碱基为什么是A和C
已经有6人回复
有做AFLP的么?
已经有6人回复
【原创】原创之六:环境样品总DNA的提取与纯化【已搜索无重复】
已经有178人回复
【求助/交流】AFLP求助,选扩始终不能扩出条带,有图
已经有13人回复
AFLP求助,请专家帮助!有图片。
已经有5人回复
【求助/交流】AFLP矩阵结果如何用popgene分析
已经有13人回复
【求助/交流】AFLP选扩产物弥散,请做过AFLP的同行们耽误几分钟帮忙看看
已经有5人回复
【求助/交流】AFLP
已经有15人回复
【求助/交流】关于使用AFLP的方法做遗传多样性的研究的几个问题
已经有19人回复
1楼
2012-06-12 08:47:49
已阅
回复此楼
关注TA
给TA发消息
送TA红花
TA的回帖
cxb-abc
银虫
(小有名气)
应助: 5
(幼儿园)
金币: 693.5
红花: 2
帖子: 83
在线: 60.5小时
虫号: 1036133
注册: 2010-06-05
专业: 森林培育学
引用回帖:
3楼
:
Originally posted by
wcg129
at 2012-06-13 10:47:57
DNA的还是cDNA的?
从头尽量描述清楚些,否则只看结果不好分析
还有楼上的建议也可试试
我做的是DNA,酶切也是切开了,1%琼脂糖检测过,但是与扩增没有面带,怀疑是连接没有连上,真急人,做了好几遍了,还是连不上,不知但问题出在哪里?
赞
一下
回复此楼
6楼
2012-06-20 21:16:05
已阅
回复此楼
关注TA
给TA发消息
送TA红花
TA的回帖
cxb-abc
银虫
(小有名气)
应助: 5
(幼儿园)
金币: 693.5
红花: 2
帖子: 83
在线: 60.5小时
虫号: 1036133
注册: 2010-06-05
专业: 森林培育学
引用回帖:
4楼
:
Originally posted by
xiaoxiong520
at 2012-06-13 10:59:56
楼主往下做了吗,我用cDNA做的,预扩增是弥散的,可是选扩不是清晰的条带,是弥散的!之前用DNA做的选扩条带清晰
往下做了,Page胶只有一条带200 bp 左右
赞
一下
回复此楼
7楼
2012-06-20 21:17:07
已阅
回复此楼
关注TA
给TA发消息
送TA红花
TA的回帖
cxb-abc
银虫
(小有名气)
应助: 5
(幼儿园)
金币: 693.5
红花: 2
帖子: 83
在线: 60.5小时
虫号: 1036133
注册: 2010-06-05
专业: 森林培育学
引用回帖:
5楼
:
Originally posted by
pmln
at 2012-06-13 17:17:30
直接做选扩看看。我做aflp预扩检测和图3比较像,然后就做了选扩。个人试验经验来看,酶切一步是最重要的,影响预扩。
酶切检测结果都切开了,切了12小时,切得效果挺好。
赞
一下
回复此楼
8楼
2012-06-20 21:18:21
已阅
回复此楼
关注TA
给TA发消息
送TA红花
TA的回帖
cxb-abc
银虫
(小有名气)
应助: 5
(幼儿园)
金币: 693.5
红花: 2
帖子: 83
在线: 60.5小时
虫号: 1036133
注册: 2010-06-05
专业: 森林培育学
引用回帖:
3楼
:
Originally posted by
wcg129
at 2012-06-13 10:47:57
DNA的还是cDNA的?
从头尽量描述清楚些,否则只看结果不好分析
还有楼上的建议也可试试
谢谢,我做的事DNA,帮我分析一下预扩增为何出现下端有一条带的现象,还有为何我的预扩结果不是弥散的,而是月亮型的,特别的奇怪,
赞
一下
回复此楼
9楼
2012-06-20 21:31:03
已阅
回复此楼
关注TA
给TA发消息
送TA红花
TA的回帖
相关版块跳转
新药研发
药学
药品生产
分子生物
微生物
动植物
生物科学
医学
我要订阅楼主
cxb-abc
的主题更新
6
1/1
返回列表
如果回帖内容含有宣传信息,请如实选中。否则帐号将被全论坛禁言
普通表情
龙
兔
虎
猫
高级回复
(可上传附件)
百度网盘
|
360云盘
|
千易网盘
|
华为网盘
在新窗口页面中打开自己喜欢的网盘网站,将文件上传后,然后将下载链接复制到帖子内容中就可以了。
信息提示
关闭
请填处理意见
关闭
确定