| 查看: 2424 | 回复: 7 | ||
| 本帖产生 2 个 APEPI ,点击这里进行查看 | ||
[求助]
关于鱼卵石蜡切片的问题
|
||
|
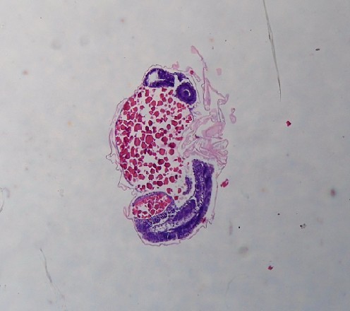
做的鱼胚胎的石蜡切片,可能由于内部的卵黄物质比较特殊,包埋后很脆,切片染色后结果不理想,内部红色卵黄物质容易散落。有什么办法能使内容物不太容易跑出来呢?整个过程我没有弄破卵膜,各级酒精脱水都是1小时,用水杨酸甲酯透明一夜,最后透蜡3小时,HE染色。 以下为拍摄的照片,一张是不太好的,一张还可以。请高手们支支招~谢谢。 较好的 较差的 |
» 猜你喜欢
怎么查看固定段11位
已经有5人回复
可以准确的通过filecode判断基金中还是不中。
已经有15人回复
植物学论文润色/翻译怎么收费?
已经有198人回复
感觉普通人已经没办法玩了,躺平是唯一的出路。
已经有26人回复
江苏省优青门槛
已经有20人回复
心好累。今年我们部门提交了18个项目。中了11了,可惜我的又挂了
已经有10人回复
面上项目计划书
已经有7人回复
面上项目计划书附件
已经有9人回复
面上项目计划书系统状态
已经有18人回复
NSFC-UNEP(与联合国环境规划署)合作项目
已经有33人回复
和伊朗人合作
已经有32人回复
» 本主题相关价值贴推荐,对您同样有帮助:
初生小鼠卵巢石蜡包埋制作的问题,交流交流
已经有14人回复
石蜡切片透明过程使用试剂的问题!!~~
已经有5人回复
植物 冰冻切片
已经有5人回复
石蜡切片,脱完蜡后组织为什么破碎了,
已经有13人回复
石蜡切片透明问题
已经有6人回复
讨论一下石蜡切片的技术问题
已经有5人回复
请大家帮我分析下今天的植物组织石蜡切片
已经有4人回复
求助植物组织石蜡切片问题,急急急
已经有8人回复
关于酒精固定组织
已经有5人回复
求石蜡切片封藏用的试剂????
已经有4人回复
关于石蜡切片的改进
已经有13人回复
拟南芥茎的石蜡切片
已经有14人回复
植物组织切片问题请教交流
已经有10人回复
关于植物蒸腾作用的调节
已经有6人回复
石蜡嗅味消除!
已经有3人回复
有关石蜡切片HE染色的几个问题
已经有10人回复
石蜡切片步骤【已搜索无重复】
已经有303人回复
石蜡切片 戊二醛 质壁分离
已经有3人回复
石蜡切片脱蜡总是有残留是什么原因?
已经有18人回复
【求助/交流】植物石蜡切片的有关问题
已经有19人回复
【求助】石蜡切片浸蜡过程中材料发生皱缩的原因
已经有15人回复
【分享】组织石蜡包埋和切片技术——挺实用的
已经有34人回复
【求助/交流】植物石蜡切片技术软化剂
已经有10人回复
【求助】急!有谁做过植物组织石蜡切片吗?
已经有33人回复

白熬乐之
木虫 (正式写手)
- 应助: 1 (幼儿园)
- 金币: 2482.8
- 散金: 134
- 帖子: 510
- 在线: 240.4小时
- 虫号: 335052
- 注册: 2007-03-31
- 专业: 动物形态学及胚胎学
2楼2011-10-15 13:10:31

3楼2011-10-17 22:39:05

4楼2011-10-20 21:38:42

5楼2011-10-21 15:26:19
6楼2012-02-12 18:27:26
7楼2012-02-12 18:28:00

8楼2012-02-18 19:25:43














回复此楼
