| ²é¿´: 1680 | »Ø¸´: 9 | ||
scofield111Òø³æ (ÕýʽдÊÖ)
|
[ÇóÖú]
Åܵ°°×ÖʵçÓ¾£¬ÓкܶàÔÓÌõ´ø£¬ÒÑÓÐ2È˲ÎÓë
|
|
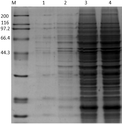
Ôõôȷ¶¨×Ô¼ºµÄøÔÚÄĸöÌõ´ø£¬ÎÄÏ×ÉÏÖ¸³öµÄµ°°×´óСÔÚ70Kda£¬×Ô¼ºµÄµçӾͼÉÏÒ²ÓÐÏàÓ¦µÄÌõ´øÎ»Öõ¹ÊÇ£¬Ôõôȷ¶¨ÊÇÄĸöÄØ£¿£¬1,2,3,4ÌõÓ¾µÀÊÇŨ¶È²»Í¬µÄÑù£¬¶¼ÊÇÒ»¸ö¶«Î÷£¬ sds-page.png |
» ²ÂÄãϲ»¶
µ¼Ê¦ÏëÈÃÎÒ´Ó¶ÀÁ¢Ò»×÷±ä³ÉÁ˹²Ò»µÚÒ»
ÒѾÓÐ9È˻ظ´
²©Ê¿¶ÁÍêδÀ´Ò»¶¨»áºÃÂð
ÒѾÓÐ23È˻ظ´
µ½Ðµ¥Î»ºó£¬»»ÁËеÄÑо¿·½Ïò£¬Ã»ÓÐÍŶӣ¬³ÖÐø»ýÀÛ2ÇøÒÔÉÏÂÛÎÄ£¬ÄÜÉêÇëµ½ÃæÉÏÂð
ÒѾÓÐ11È˻ظ´
¶Á²©
ÒѾÓÐ4È˻ظ´
JMPT ÆÚ¿¯Í¶¸åÁ÷³Ì
ÒѾÓÐ4È˻ظ´
ÐÄÂöÊÜËð
ÒѾÓÐ5È˻ظ´
SpringerÆÚ¿¯Í¶¸åÇóÖú
ÒѾÓÐ4È˻ظ´
СÂÛÎÄͶ¸å
ÒѾÓÐ3È˻ظ´
ÉêÇë2026Ä격ʿ
ÒѾÓÐ6È˻ظ´
» ±¾Ö÷ÌâÏà¹Ø¼ÛÖµÌùÍÆ¼ö£¬¶ÔÄúͬÑùÓаïÖú:
µ°°×ÖÊ´¹Ö±µçÓ¾£¬marker ÅÜÆ«ÁË£¬ÇóÖúÔõô½â¾ö
ÒѾÓÐ1È˻ظ´
ÇóÖúµÈµã¾Û½¹²âµÈµçµã£¬ºÍëϸ¹ÜµçÓ¾²âµÈµçµã¡£
ÒѾÓÐ7È˻ظ´
RNAÏ¡ÊÍŨ¶È±ä»¯²»´ó£¬od±ÈÖµ±äºÃÎÊÌâ
ÒѾÓÐ3È˻ظ´
µ°°×ÖʵçÓ¾
ÒѾÓÐ2È˻ظ´
Ϊʲôµ°°×ÖʵçӾʱ¼ÓÁËÛÏ»ùÒÒ´¼ºó·Ö×ÓÁ¿»á±ä´ó£¿
ÒѾÓÐ0È˻ظ´
¡°·Ç±äÐÔ½ºµçÓ¾²â¶¨µ°°×ÖÊ·Ö×ÓÁ¿¡±£¿É÷Óã¡
ÒѾÓÐ17È˻ظ´
ͨ¹ýHPLC-MS-MS·ÖÎö¶àëÄÐòÁÐ
ÒѾÓÐ12È˻ظ´
Çë×ö¹ýC2C12 ϸ°ûË«ÏòµçÓ¾µÄÅóÓѰï°ïÎÒ°É
ÒѾÓÐ1È˻ظ´
¡¾ÇóÖú¡¿µ°°×ÖʷDZäÐÔ¾Û±ûÏ©õ£°·Äý½ºµçÓ¾
ÒѾÓÐ16È˻ظ´
һЩµ°°×»ù´¡¼¼Êõ×ÊÁÏ
ÒѾÓÐ81È˻ظ´
¾ÍÒª±»µ°°×ÖʵçÓ¾£¨SDS-PAGE£©ÃðÁË£¬ÓÐͼÓÐÕæÏ࣬Íû¸ßÊÖÖ¸µã
ÒѾÓÐ28È˻ظ´
¹ØÓÚäå·ÓÀ¶ÔÚmarkerÖеÄλÖÃ
ÒѾÓÐ2È˻ظ´
¹ØÓÚSDS-PAGEÖе°°×ÖÊÔ¤´¦ÀíµÄÎÊÌâ ÇóÖúÓÚÂÛ̳µÄ¸÷λţÈË£¡²»Ê¤¸Ð¼¤£¡
ÒѾÓÐ6È˻ظ´
¡¾×ÊÁÏ¡¿×öºÃµçÓ¾µÄ¹Ø¼ü¼¼Êõ¼°ÎÊÌâ×ܽá
ÒѾÓÐ27È˻ظ´
¡¾½»Á÷¡¿ÉúÎïʵÑéС¼¼ÇÉ£Å×ÓñÒýÓñ(»¶Ó´ó¼Ò·ÖÏí×Ô¼ºµÄ¾ÑéÓë¼¼ÇÉ~~)
ÒѾÓÐ48È˻ظ´
¡¾Ô´´¡¿·Ç±äÐÔÄý½ºµçÓ¾ÔÀí¼°Ó¦ÓÃʵÀý
ÒѾÓÐ48È˻ظ´
¡¾·ÖÏí¡¿ÖÊÁ£ÌáÈ¡ÔÀí£¨×ª£©
ÒѾÓÐ13È˻ظ´
¡¾·ÖÏí¡¿¼î·¨ÌáÈ¡ÖÊÁ£µÄÔÀí
ÒѾÓÐ20È˻ظ´
wwbqzhj
ͳæ (ÕýʽдÊÖ)
- Ó¦Öú: 5 (Ó×¶ùÔ°)
- ½ð±Ò: 360.3
- É¢½ð: 318
- ºì»¨: 2
- Ìû×Ó: 468
- ÔÚÏß: 74.1Сʱ
- ³æºÅ: 4868226
- ×¢²á: 2016-07-25
- רҵ: µ°°×ÖÊ×éѧ
2Â¥2016-09-24 09:06:35
wwbqzhj
ͳæ (ÕýʽдÊÖ)
- Ó¦Öú: 5 (Ó×¶ùÔ°)
- ½ð±Ò: 360.3
- É¢½ð: 318
- ºì»¨: 2
- Ìû×Ó: 468
- ÔÚÏß: 74.1Сʱ
- ³æºÅ: 4868226
- ×¢²á: 2016-07-25
- רҵ: µ°°×ÖÊ×éѧ
3Â¥2016-09-24 09:16:20
scofield111
Òø³æ (ÕýʽдÊÖ)
- Ó¦Öú: 6 (Ó×¶ùÔ°)
- ½ð±Ò: 1718
- É¢½ð: 268
- ºì»¨: 7
- Ìû×Ó: 740
- ÔÚÏß: 156.4Сʱ
- ³æºÅ: 3108528
- ×¢²á: 2014-04-02
- רҵ: ÉúÎﻯ¹¤ÓëʳƷ»¯¹¤
4Â¥2016-09-24 16:50:15
scofield111
Òø³æ (ÕýʽдÊÖ)
- Ó¦Öú: 6 (Ó×¶ùÔ°)
- ½ð±Ò: 1718
- É¢½ð: 268
- ºì»¨: 7
- Ìû×Ó: 740
- ÔÚÏß: 156.4Сʱ
- ³æºÅ: 3108528
- ×¢²á: 2014-04-02
- רҵ: ÉúÎﻯ¹¤ÓëʳƷ»¯¹¤
5Â¥2016-09-24 17:32:50
scofield111
Òø³æ (ÕýʽдÊÖ)
- Ó¦Öú: 6 (Ó×¶ùÔ°)
- ½ð±Ò: 1718
- É¢½ð: 268
- ºì»¨: 7
- Ìû×Ó: 740
- ÔÚÏß: 156.4Сʱ
- ³æºÅ: 3108528
- ×¢²á: 2014-04-02
- רҵ: ÉúÎﻯ¹¤ÓëʳƷ»¯¹¤
6Â¥2016-09-24 18:12:31
С¼½-
°æÖ÷ (ÖøÃûдÊÖ)
- MicEPI: 8
- Ó¦Öú: 713 (²©ºó)
- ¹ó±ö: 3.033
- ½ð±Ò: 11446.9
- É¢½ð: 1055
- ºì»¨: 82
- Ìû×Ó: 2509
- ÔÚÏß: 445.9Сʱ
- ³æºÅ: 1521695
- ×¢²á: 2011-12-03
- ÐÔ±ð: GG
- רҵ: ÉúÎïÐÅϢѧ
- ¹ÜϽ: ΢ÉúÎï
¡¾´ð°¸¡¿Ó¦Öú»ØÌû
¸Ðл²ÎÓ룬ӦÖúÖ¸Êý +1
|
¼ÓÒ»¸ö¶ÔÕÕµÄÑù£¬Ò»±È²»¾ÍÖªµÀÁËÂð£¬Äĸö´ø¶àÁË£¬Äĸö´øÊDZí´ïºó³öÀ´µÄ£¬Ò»ÑÛ¾ÍÄÜ¿´³öÀ´ ·¢×ÔСľ³æAndroid¿Í»§¶Ë |

7Â¥2016-09-26 23:04:24
Ò»¸ö²»Ð¡ÐľÍ
½ð³æ (ÕýʽдÊÖ)
- Ó¦Öú: 36 (СѧÉú)
- ½ð±Ò: 614.9
- É¢½ð: 45
- ºì»¨: 11
- Ìû×Ó: 555
- ÔÚÏß: 119.2Сʱ
- ³æºÅ: 2627301
- ×¢²á: 2013-08-31
- רҵ: ΢ÉúÎïÉúÀíÓëÉúÎﻯѧ
8Â¥2016-09-27 13:05:37
scofield111
Òø³æ (ÕýʽдÊÖ)
- Ó¦Öú: 6 (Ó×¶ùÔ°)
- ½ð±Ò: 1718
- É¢½ð: 268
- ºì»¨: 7
- Ìû×Ó: 740
- ÔÚÏß: 156.4Сʱ
- ³æºÅ: 3108528
- ×¢²á: 2014-04-02
- רҵ: ÉúÎﻯ¹¤ÓëʳƷ»¯¹¤
9Â¥2016-09-27 19:56:16
mould
½ð³æ (СÓÐÃûÆø)
×êʯ
- Ó¦Öú: 1 (Ó×¶ùÔ°)
- ½ð±Ò: 1160.2
- É¢½ð: 100
- ºì»¨: 3
- Ìû×Ó: 115
- ÔÚÏß: 17.3Сʱ
- ³æºÅ: 3163942
- ×¢²á: 2014-04-25
- ÐÔ±ð: GG
- רҵ: ΢ÉúÎïѧ
|
ÄãµÄ±í´ïÔØÌåÊÇʲô£¿±í´ïÔØÌå±í´ïµÄµ°°×ÓëÄ¿µÄµ°°×½áºÏºóµÄÈںϵ°°××Ü·Ö×ÓÁ¿¾ÍÊÇÄãÐèÒªÔÚmarkerÉÏÈ·¶¨µÄÌõ´øÎ»Öᣠ·¢×ÔСľ³æAndroid¿Í»§¶Ë |

10Â¥2016-09-29 20:34:06













»Ø¸´´ËÂ¥