| 查看: 1371 | 回复: 6 | ||
[求助]
求帮忙看下我培养的细胞是不是污染了? 已有5人参与
|
|
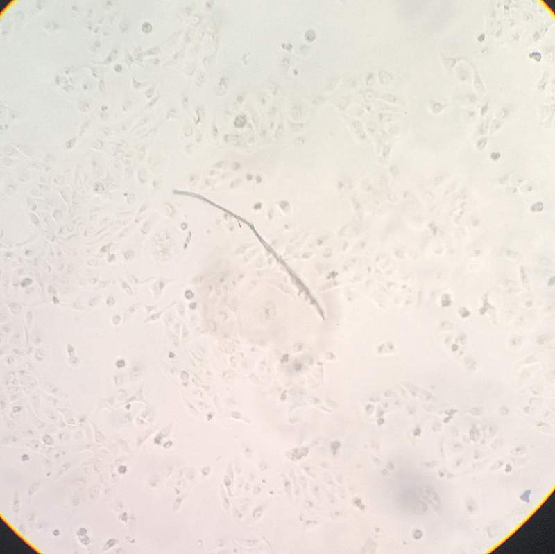
新手养细胞>_<,昨天给四瓶细胞换了液,今天中午看有一瓶培养基忽然变黄浑浊了,不知道是被什么污染了? 今天仔细看了下其他三瓶,培养基虽然澄清,但在视野里看到了长杆状的东西。。。求有经验的帮忙看下,这是神马?? ![]() (我养的HaCaT细胞)IMG_1948.JPG IMG_1949.JPG |
» 猜你喜欢
299求调剂
已经有8人回复
一志愿北京理工大学本科211材料工程294求调剂
已经有6人回复
300求调剂,材料科学英一数二
已经有8人回复
招收生物学/细胞生物学调剂
已经有5人回复
070305高分子化学与物理 304分求调剂
已经有7人回复
289求调剂
已经有13人回复
一志愿哈尔滨工业大学材料与化工方向336分
已经有9人回复
081200-11408-276学硕求调剂
已经有6人回复
调剂求院校招收
已经有5人回复
调剂310
已经有8人回复
» 本主题相关价值贴推荐,对您同样有帮助:
大神帮忙看看细胞是不是有污染
已经有6人回复
求助如何防范细胞霉菌污染?
已经有5人回复
如何在显微镜下观察细胞污染?
已经有5人回复
细胞是什么污染呀,求鉴定
已经有7人回复
细胞新手请问HEK-293细胞是不是被污染了?
已经有8人回复
细胞污染求助!请大神帮忙分析一下!!!
已经有6人回复
HEK-293细胞又被污染了,捉急啊,恳请求各路大侠们帮忙分析一下!
已经有24人回复
细胞污染了,请大家帮忙鉴定下是什么污染,如何处理
已经有6人回复
帮忙看看这是不是被污染了啊?
已经有13人回复
有关细胞培养过程中支原体污染的问题
已经有6人回复
细胞培养液污染问题
已经有12人回复
求助:帮忙看看这个细胞污染的是什么细菌啊,可以加青链霉素抑制不?
已经有13人回复
细胞培养中出现的长长短短的‘小虫’,请问这是什么污染?
已经有26人回复
麻烦大家看下我的细胞是不是污染啦
已经有11人回复
帮忙看下这是否是污染-脑微血管内皮细胞
已经有9人回复
求助,这是不是细胞污染?
已经有20人回复
【求助/交流】细胞被支原体污染 有救吗
已经有12人回复
【求助/交流】细胞怎么老被污染的样子啊
已经有16人回复
【求助】H9c2细胞支原体污染?
已经有4人回复
【求助/交流】细胞培养时出现黑点点,污染 了吗?
已经有15人回复
【求助/交流】细胞污染
已经有36人回复
sfeqhl
铁虫 (正式写手)
- 应助: 5 (幼儿园)
- 金币: 1087.9
- 散金: 153
- 红花: 6
- 帖子: 942
- 在线: 157.2小时
- 虫号: 2604963
- 注册: 2013-08-19
- 性别: MM
- 专业: 免疫生物学
2楼2015-05-08 19:16:56
3楼2015-05-10 09:48:08
ankang0910
金虫 (正式写手)
- 应助: 19 (小学生)
- 金币: 826
- 散金: 2008
- 红花: 6
- 帖子: 330
- 在线: 146.6小时
- 虫号: 1062441
- 注册: 2010-07-22
- 性别: GG
- 专业: 医学免疫学

4楼2015-05-10 10:18:57

5楼2015-05-11 08:13:27
6楼2015-05-12 08:46:45
7楼2015-05-12 13:08:54















回复此楼
10