| 查看: 2497 | 回复: 11 | ||
高洁琼金虫 (正式写手)
|
[求助]
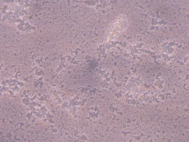
麻烦大家看下我的细胞是不是污染啦
|
|
红色标记是我前天养的原代细胞,若是平时,经过昨天和今天PBS的清洗,细胞应该很干净了。。。可是现在背景一塌糊涂。上周也出现过这种情况,于是我重新配制了培养基,结果还是这样。另外,背景上面的脏东西是不动的。。。希望大家给予意见,谢谢! |
» 猜你喜欢
筑牢营养安全线:以精准检测,护健康基石
已经有0人回复
推荐一些20种氨基酸检测的实际应用案例
已经有0人回复
化学工程及工业化学论文润色/翻译怎么收费?
已经有288人回复
不合理蛙科研实验中的趣事:实验器材的 “乌龙”
已经有0人回复
不合理蛙科研实验中的趣事:和实验材料的 “斗智斗勇”
已经有0人回复
蛋白质检测:精准分析,解锁生物分子的密码
已经有0人回复
不合理蛙科研实验之小鼠实验:严谨设计,解析生命机制的重要载体
已经有0人回复
不合理蛙科研实验之重金属检测:精准筛查,守护健康与环境的防线
已经有0人回复
不合理蛙科研实验之“蛙测重金属我背锅三千”
已经有0人回复
不合理蛙科研实验之“鼠逃三次我发三篇SCI”
已经有0人回复
» 本主题相关价值贴推荐,对您同样有帮助:
急!请大家看看我们养的K562细胞和Ramos细胞怎么了?
已经有17人回复
求助,这是不是细胞污染?
已经有20人回复
【求助/交流】求助细胞污染原因
已经有3人回复
【求助/交流】[急]细胞培养出现问题,大家看看是不是传说中的黑胶虫?
已经有9人回复
【求助/交流】细胞培养污染问题
已经有19人回复
【求助/交流】细胞污染
已经有36人回复

高洁琼
金虫 (正式写手)
- 应助: 2 (幼儿园)
- 金币: 1052.3
- 散金: 424
- 红花: 22
- 帖子: 738
- 在线: 790.4小时
- 虫号: 1515788
- 注册: 2011-11-29
- 性别: MM
- 专业: 神经精神药物药理

2楼2012-07-12 20:31:54
高洁琼
金虫 (正式写手)
- 应助: 2 (幼儿园)
- 金币: 1052.3
- 散金: 424
- 红花: 22
- 帖子: 738
- 在线: 790.4小时
- 虫号: 1515788
- 注册: 2011-11-29
- 性别: MM
- 专业: 神经精神药物药理

3楼2012-07-13 08:10:55
tupac225
金虫 (正式写手)
- MolEPI: 5
- 应助: 103 (高中生)
- 金币: 1967.9
- 散金: 20
- 红花: 4
- 帖子: 460
- 在线: 175.3小时
- 虫号: 1533370
- 注册: 2011-12-11
- 性别: GG
- 专业: 免疫生物学

4楼2012-07-13 08:31:11
windsor2011
银虫 (小有名气)
- 应助: 25 (小学生)
- 金币: 384.8
- 红花: 1
- 帖子: 141
- 在线: 64.1小时
- 虫号: 1339601
- 注册: 2011-07-07
- 性别: MM
- 专业: 生物化学

5楼2012-07-13 09:30:49
6楼2012-07-14 08:32:21
高洁琼
金虫 (正式写手)
- 应助: 2 (幼儿园)
- 金币: 1052.3
- 散金: 424
- 红花: 22
- 帖子: 738
- 在线: 790.4小时
- 虫号: 1515788
- 注册: 2011-11-29
- 性别: MM
- 专业: 神经精神药物药理

7楼2012-07-14 11:09:37
高洁琼
金虫 (正式写手)
- 应助: 2 (幼儿园)
- 金币: 1052.3
- 散金: 424
- 红花: 22
- 帖子: 738
- 在线: 790.4小时
- 虫号: 1515788
- 注册: 2011-11-29
- 性别: MM
- 专业: 神经精神药物药理

8楼2012-07-14 11:11:02
高洁琼
金虫 (正式写手)
- 应助: 2 (幼儿园)
- 金币: 1052.3
- 散金: 424
- 红花: 22
- 帖子: 738
- 在线: 790.4小时
- 虫号: 1515788
- 注册: 2011-11-29
- 性别: MM
- 专业: 神经精神药物药理

9楼2012-07-14 11:11:32
高洁琼
金虫 (正式写手)
- 应助: 2 (幼儿园)
- 金币: 1052.3
- 散金: 424
- 红花: 22
- 帖子: 738
- 在线: 790.4小时
- 虫号: 1515788
- 注册: 2011-11-29
- 性别: MM
- 专业: 神经精神药物药理

10楼2012-07-14 11:12:27













回复此楼