版块导航
正在加载中...
客户端APP下载
论文辅导
调剂小程序
登录
注册
帖子
帖子
用户
本版
应《网络安全法》要求,自2017年10月1日起,未进行实名认证将不得使用互联网跟帖服务。为保障您的帐号能够正常使用,请尽快对帐号进行手机号验证,感谢您的理解与支持!
24小时热门版块排行榜
>
论坛更新日志
(3230)
>
虫友互识
(355)
>
导师招生
(352)
>
文献求助
(222)
>
考博
(197)
>
休闲灌水
(143)
>
招聘信息布告栏
(108)
>
硕博家园
(108)
>
考研
(78)
>
找工作
(54)
>
论文投稿
(49)
>
公派出国
(48)
>
博后之家
(42)
>
绿色求助(高悬赏)
(36)
>
基金申请
(28)
>
教师之家
(27)
小木虫论坛-学术科研互动平台
»
化学化工区
»
催化
»
表征
»
一个关于催化剂TEM表征的问题
5
1/1
返回列表
查看: 755 | 回复: 4
只看楼主
@他人
存档
新回复提醒
(忽略)
收藏
在APP中查看
1007843975
木虫
(正式写手)
应助: 9
(幼儿园)
金币: 3416.4
散金: 283
红花: 2
帖子: 583
在线: 118.8小时
虫号: 1175284
注册: 2010-12-22
性别: GG
专业: 化学反应工程
[
求助
]
一个关于催化剂TEM表征的问题
已有3人参与
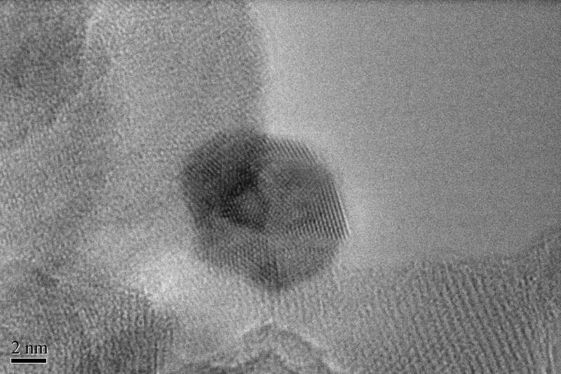
如图,催化剂颗粒为制备的Pd-Ag双金属材料TEM图,载体为氧化铝,从颗粒上面的条纹可以获得什么信息?
感谢各位!
4#-4.jpg
4#-5.jpg
回复此楼
» 猜你喜欢
Postdoctoral Research Fellow Position in Causal Inference Weill CorneIl Medicine
已经有8人回复
国家级人才课题组招收2026年入学博士
已经有1人回复
物理化学论文润色/翻译怎么收费?
已经有189人回复
国家级人才课题组招收2026年入学博士
已经有0人回复
国家级人才课题组招收2026年入学博士
已经有0人回复
大连海事大学船舶洁净能源研究中心2026年博士研究生招生启事
已经有10人回复
求 IEC 61340-4-11:2025
已经有0人回复
武汉纺织大学全国重点实验室陈嵘教授团队招收2026级学术/专业型硕士研究生(调剂)
已经有0人回复
求助哪里可以做光催化产氢的放大实验
已经有9人回复
招生帖
已经有5人回复
» 本主题相关商家推荐:
(我也要在这里推广)
» 本主题相关价值贴推荐,对您同样有帮助:
晶核的TEM表征对样品的要求,急!!!!!
已经有8人回复
请教一下关于晶体缺陷表征的测试方法有哪些
已经有13人回复
高金急求一个关于TEM的问题
已经有19人回复
TEM这个图如何解释和提取表征的内容
已经有10人回复
磁性复合微球的TEM表征问题
已经有12人回复
TEM表征求助,在线等!!
已经有11人回复
TEM表征 怎么能让颗粒更分散
已经有23人回复
问一个简单的关于用TEM表征晶体的问题
已经有9人回复
急求,急求,非晶态催化剂的表征
已经有5人回复
TEM表征的问题
已经有14人回复
介孔材料表征-XRD,TEM
已经有13人回复
跪求催化剂表征的问题AAS,BET surface area,DRX, TEM 和XRD
已经有7人回复
请求各位催化达人TEM表征的问题!
已经有10人回复
MoS2的催化剂表征可以有哪些?
已经有16人回复
关于磷钨酸进行TEM负染表征的一些具体问题
已经有8人回复
如何表征一个催化剂的TON?
已经有5人回复
请教Cu/ZnO Ni/ZnO TEM表征
已经有4人回复
有个关于量子点TEM表征的问题
已经有36人回复
【讨论】催化剂的表面性质一般指那些?
已经有20人回复
【求助】催化剂这样表示是什么意思
已经有14人回复
【求助】关于分散度,粒径和TEM表征
已经有10人回复
【讨论】Au制备过程中发现个问题很有意思(附上TEM粒径分布统计图)
已经有24人回复
1楼
2015-01-30 17:12:43
已阅
回复此楼
关注TA
给TA发消息
送TA红花
TA的回帖
gxytju2008
专家顾问
(文坛精英)
专家经验: +1654
应助: 4105
(副教授)
贵宾: 0.053
金币: 47510.7
散金: 4089
红花: 503
帖子: 14997
在线: 7313.5小时
虫号: 1111232
注册: 2010-09-29
性别: GG
专业: 材料物理化学
管辖:
微米和纳米
【答案】应助回帖
★ ★ ★ ★ ★
感谢参与,应助指数 +1
liwentao2010: 金币+2, 谢谢回帖,辛苦
2015-01-31 15:33:27
1007843975(liwentao2010代发): 金币+3
2015-05-02 13:51:53
有结晶性,只能这么说了,如果校正标尺以后的话按条纹宽度可能能对出来每块是什么东西,不过还是建议EDS成像或者HAADF来证明,比较直接一点,比较适合你这种多元素分布的样品
赞
一下
回复此楼
2楼
2015-01-30 21:41:46
已阅
回复此楼
关注TA
给TA发消息
送TA红花
TA的回帖
superleo8936
至尊木虫
(正式写手)
catalysis小虫一枚
C-EPI: 4
应助: 484
(硕士)
贵宾: 0.248
金币: 10673.1
红花: 22
帖子: 916
在线: 163.9小时
虫号: 753547
注册: 2009-04-20
性别: GG
专业: 能源化工
【答案】应助回帖
★ ★ ★
qixingzhen: 金币+1, 应助指数+1, 多谢回帖,欢迎常来交流~
2015-02-03 09:43:52
1007843975(liwentao2010代发): 金币+2
2015-05-02 13:52:04
可以用来计算晶格间距吧~
赞
一下
回复此楼
签什么就是什么
3楼
2015-02-03 02:20:56
已阅
回复此楼
关注TA
给TA发消息
送TA红花
TA的回帖
1007843975
木虫
(正式写手)
应助: 9
(幼儿园)
金币: 3416.4
散金: 283
红花: 2
帖子: 583
在线: 118.8小时
虫号: 1175284
注册: 2010-12-22
性别: GG
专业: 化学反应工程
引用回帖:
3楼
:
Originally posted by
superleo8936
at 2015-02-03 02:20:56
可以用来计算晶格间距吧~
这个确实可以的…哈哈
[ 发自小木虫客户端 ]
赞
一下
回复此楼
4楼
2015-02-03 08:50:04
已阅
回复此楼
关注TA
给TA发消息
送TA红花
TA的回帖
SUNECHO123
新虫
(小有名气)
应助: 1
(幼儿园)
金币: 21.7
散金: 9
帖子: 54
在线: 18.2小时
虫号: 993395
注册: 2010-04-10
性别:
MM
专业: 凝聚态物性 II :电子结构
【答案】应助回帖
★ ★ ★ ★ ★ ★ ★ ★ ★ ★
1007843975: 金币+10,
★★★
很有帮助
2015-02-05 16:36:09
按你这个颗粒的尺寸做EDS如果电镜状态不好和容易做不出来成分分布,而且如果是元素简单混合,成分分布也没啥意义,除非是异质结构。量一下晶格条纹可以看看是不是有合金化趋势,再考虑HAADF表征比较好。
赞
一下
回复此楼
5楼
2015-02-05 10:34:42
已阅
回复此楼
关注TA
给TA发消息
送TA红花
TA的回帖
相关版块跳转
有机交流
有机资源
高分子
无机/物化
分析
催化
工艺技术
化工设备
石油化工
精细化工
电化学
环境
SciFinder/Reaxys
我要订阅楼主
1007843975
的主题更新
5
1/1
返回列表
如果回帖内容含有宣传信息,请如实选中。否则帐号将被全论坛禁言
普通表情
龙
兔
虎
猫
百度网盘
|
360云盘
|
千易网盘
|
华为网盘
在新窗口页面中打开自己喜欢的网盘网站,将文件上传后,然后将下载链接复制到帖子内容中就可以了。
信息提示
关闭
请填处理意见
关闭
确定