±±¾©Ê¯ÓÍ»¯¹¤Ñ§Ôº2026ÄêÑо¿ÉúÕÐÉú½ÓÊÕµ÷¼Á¹«¸æ
²é¿´: 397  |  »Ø¸´: 2

ѧѧ0116

гæ (³õÈëÎÄ̳)

[½»Á÷] ¸÷λ¶®Î¢ÉúÎïµÄ³æÓÑÀ´¿´¿´ ÒÑÓÐ1È˲ÎÓë

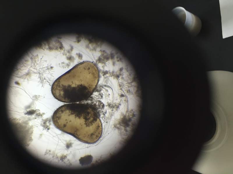
×î½ü¾µ¼ì»îÐÔÎÛÄ࣬³öÏÖһЩ²»ÈÏʶµÄ΢ÉúÎÂé·³´ó¼Ò¸ø¿´¿´£¬»¹ÓоÍÊǶÔË®ÖÊÓÐʲôָʾ×÷Óá£3ºÍ4ÊÇͬһ¸ö

¸÷λ¶®Î¢ÉúÎïµÄ³æÓÑÀ´¿´¿´
1.jpg


¸÷λ¶®Î¢ÉúÎïµÄ³æÓÑÀ´¿´¿´-1
2.jpg


¸÷λ¶®Î¢ÉúÎïµÄ³æÓÑÀ´¿´¿´-2
3.jpg


¸÷λ¶®Î¢ÉúÎïµÄ³æÓÑÀ´¿´¿´-3
4.jpg
»Ø¸´´ËÂ¥

» ²ÂÄãϲ»¶

» ±¾Ö÷ÌâÏà¹Ø¼ÛÖµÌùÍÆ¼ö£¬¶ÔÄúͬÑùÓаïÖú:

ÒÑÔÄ   »Ø¸´´ËÂ¥   ¹Ø×¢TA ¸øTA·¢ÏûÏ¢ ËÍTAºì»¨ TAµÄ»ØÌû

lonelyboy

ľ³æ (ÖøÃûдÊÖ)

Spring

¡ï
Сľ³æ: ½ð±Ò+0.5, ¸ø¸öºì°ü£¬Ð»Ð»»ØÌû
³æ×Ó²»ÈÏʶ£¬²»¹ýËÆºõ˿״¾ú²»ÉÙ°¡¡£
2Â¥2015-04-17 19:05:21
ÒÑÔÄ   »Ø¸´´ËÂ¥   ¹Ø×¢TA ¸øTA·¢ÏûÏ¢ ËÍTAºì»¨ TAµÄ»ØÌû

ѧѧ0116

гæ (³õÈëÎÄ̳)

ÒýÓûØÌû:
2Â¥: Originally posted by lonelyboy at 2015-04-17 19:05:21
³æ×Ó²»ÈÏʶ£¬²»¹ýËÆºõ˿״¾ú²»ÉÙ°¡¡£

˿״¾úÊDz»ÉÙ£¬½øË®¸ººÉµÍ£¬ÆØÆø·§ÃÅ»¹µ÷²»¶¯ÁË¡£¡£¡£¼äЪÐÔÆØÆø£¬ÈÜÑõÆ«µÍ
3Â¥2015-04-20 12:34:23
ÒÑÔÄ   »Ø¸´´ËÂ¥   ¹Ø×¢TA ¸øTA·¢ÏûÏ¢ ËÍTAºì»¨ TAµÄ»ØÌû
Ïà¹Ø°æ¿éÌø×ª ÎÒÒª¶©ÔÄÂ¥Ö÷ ѧѧ0116 µÄÖ÷Ìâ¸üÐÂ
×î¾ßÈËÆøÈÈÌûÍÆ¼ö [²é¿´È«²¿] ×÷Õß »Ø/¿´ ×îºó·¢±í
[¿¼ÑÐ] 292·Ö£¬²ÄÁÏÓ뻯¹¤£¬ÉêÇëµ÷¼Á +20 ³ÌÇçÖ® 2026-04-01 24/1200 2026-04-04 09:47 by bn53987
[¿¼ÑÐ] ²ÄÁÏר˶322·Ö +4 ¹þ¹þ¹þºðºðºð¹þ 2026-04-04 4/200 2026-04-04 09:35 by µç»¯Ñ§¼°´ß»¯
[¿¼ÑÐ] 266Çóµ÷¼Á +8 ѧԱ97LZgn 2026-04-03 8/400 2026-04-04 09:02 by 20021109
[¿¼ÑÐ] ²ÄÁϵ÷¼Á +16 Ò»ÑùYWY 2026-04-02 16/800 2026-04-04 07:39 by oooqiao
[¿¼ÑÐ] 265Çóµ÷¼Á +17 ÁÖÉîÎÂÀ½ 2026-04-01 20/1000 2026-04-04 01:09 by userper
[¿¼ÑÐ] Çó²ÄÁϵ÷¼Á£¬Ò»Ö¾Ô¸Ö£ÖÝ´óѧ289·Ö +15 ˶ÐǸ° 2026-04-03 15/750 2026-04-04 01:01 by userper
[¿¼ÑÐ] 322Çóµ÷¼Á +6 FZAC123 2026-04-03 6/300 2026-04-03 22:23 by ¿ÆÑÐСר¼Ò
[¿¼ÑÐ] 070300Ò»Ö¾Ô¸211£¬312·ÖÇóµ÷¼ÁԺУ +16 С»ÆÑ¼±¦ 2026-03-30 16/800 2026-04-03 19:53 by lijunpoly
[¿¼ÑÐ] 0856£¬269·ÖÇóµ÷¼Á +15 ÓÐѧÉϾÍÐÐÇóÇóÁ 2026-03-30 18/900 2026-04-03 16:50 by melodiousnow
[¿¼ÑÐ] 333Çóµ÷¼Á +9 wfh030413@ 2026-04-03 9/450 2026-04-03 14:20 by °¡¿¡£¡
[¿¼ÑÐ] Ò»Ö¾Ô¸±±¾©½»Í¨´óѧ²ÄÁϹ¤³Ì×Ü·Ö358 +4 cs0106 2026-04-03 4/200 2026-04-03 13:41 by °ÙÁéͯ888
[¿¼ÑÐ] 282Çóµ÷¼Á +5 ºôÎü¶¼ÊǼõ·Ê 2026-03-31 5/250 2026-04-03 12:03 by 1753564080
[¿¼ÑÐ] ÍÁľˮÀû328·ÖÇóµ÷¼Á +6 ¼²·çÖª¾¢²Ý666 2026-04-02 6/300 2026-04-03 11:38 by znian
[¿¼ÑÐ] 324Çóµ÷¼Á +12 ÏëÉÏѧÇóµ÷ 2026-04-02 12/600 2026-04-03 11:15 by linyelide
[¿¼ÑÐ] 294Çóµ÷¼Á +3 Grey_Ey 2026-04-02 5/250 2026-04-02 21:34 by swb0218
[¿¼ÑÐ] ÇóÉúÎïѧµ÷¼Á +10 15172915737 2026-04-01 10/500 2026-04-02 18:53 by ŶŶàŹþ
[¿¼ÑÐ] Ò»Ö¾Ô¸ÉϺ£º£Ñó´óѧ083200ʳƷѧ˶£¬Çóµ÷¼Á£¬½ÓÊÜÆäËûרҵ +6 whatÕÅ 2026-04-01 7/350 2026-04-02 16:48 by zzsw+
[¿¼ÑÐ] 08¿ªÍ·¿´¹ýÀ´£¡£¡£¡ +4 wwwwffffff 2026-03-31 6/300 2026-04-02 11:42 by ¾ùÖµ»Ø¹é
[¿¼ÑÐ] Ò»Ö¾Ô¸9³õÊÔ366 ±¾Ë«·ÇÇóµ÷¼Á +4 ÔËÆøÀ´µÃÈôÓÐËÆÎ 2026-04-02 4/200 2026-04-02 09:56 by guanxin1001
[¿¼ÑÐ] 310·ÖÇóµ÷¼Á +4 ³É¹¦Éϰ¶wang 2026-04-01 4/200 2026-04-01 20:35 by liu823948201
ÐÅÏ¢Ìáʾ
ÇëÌî´¦ÀíÒâ¼û