²é¿´: 574  |  »Ø¸´: 1

wwdxx2004

½ð³æ (ÕýʽдÊÖ)

[ÇóÖú] ÇëÎÊÕâÊÇʲô¾ú£¿

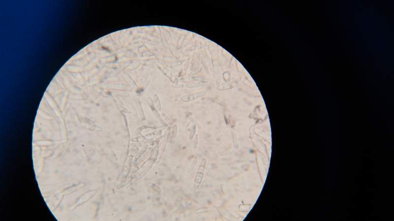
ÔÚPDAƽÃóÉϳ¤³ö¾úÂ䣬ÓлùÄÚ¾úË¿£¬ÆøÉú¾ú˿Ϊ°×É«£¬²úæß×ÓΪ·ÛºìÉ«£¬ÇÒæß×ÓΪÍÖÔ²ÐΣ¬Á쵼˵ÊÇ½Úæß×Ó

ÇëÎÊÕâÊÇʲô¾ú£¿
ÆøÉú¾úË¿3.jpg


ÇëÎÊÕâÊÇʲô¾ú£¿-1
ÆøÉú¾úË¿4.jpg


ÇëÎÊÕâÊÇʲô¾ú£¿-2
ÆøÉú¾úË¿.jpg


ÇëÎÊÕâÊÇʲô¾ú£¿-3
»ùÄÚ¾úË¿2.jpg


ÇëÎÊÕâÊÇʲô¾ú£¿-4
»ùÄÚ¾úË¿.jpg


ÇëÎÊÕâÊÇʲô¾ú£¿-5
ÆøÉú¾úË¿2.jpg

ÇëÎÊÊÇʲô¾ú£¿
»Ø¸´´ËÂ¥

» ²ÂÄãϲ»¶

» ±¾Ö÷ÌâÏà¹Ø¼ÛÖµÌùÍÆ¼ö£¬¶ÔÄúͬÑùÓаïÖú:

ÒÑÔÄ   »Ø¸´´ËÂ¥   ¹Ø×¢TA ¸øTA·¢ÏûÏ¢ ËÍTAºì»¨ TAµÄ»ØÌû

1364189637

гæ (³õÈëÎÄ̳)

ÎҸоõÏñºìÇúù£¬×î½üÒ²ÔÚ×ö£¬ÕýÔÚ¿àÄÕ

·¢×ÔСľ³æIOS¿Í»§¶Ë
2Â¥2017-06-14 16:46:18
ÒÑÔÄ   »Ø¸´´ËÂ¥   ¹Ø×¢TA ¸øTA·¢ÏûÏ¢ ËÍTAºì»¨ TAµÄ»ØÌû
Ïà¹Ø°æ¿éÌø×ª ÎÒÒª¶©ÔÄÂ¥Ö÷ wwdxx2004 µÄÖ÷Ìâ¸üÐÂ
×î¾ßÈËÆøÈÈÌûÍÆ¼ö [²é¿´È«²¿] ×÷Õß »Ø/¿´ ×îºó·¢±í
[¿¼ÑÐ] 0703»¯Ñ§µ÷¼Á +7 ÄÝÄÝninicgb 2026-03-15 11/550 2026-03-18 19:48 by macy2011
[¿¼ÑÐ] Ò»Ö¾Ô¸¼ªÁÖ´óѧ²ÄÁÏѧ˶321Çóµ÷¼Á +3 Ymlll 2026-03-18 5/250 2026-03-18 19:32 by Ymlll
[¿¼ÑÐ] Ò»Ö¾Ô¸Öйúº£Ñó´óѧ£¬ÉúÎïѧ£¬301·Ö£¬Çóµ÷¼Á +4 1ËïÎò¿Õ 2026-03-17 4/200 2026-03-18 17:59 by fivewind
[¿¼ÑÐ] 26µ÷¼Á/²ÄÁÏ/Ó¢Ò»Êý¶þ/×Ü·Ö289/ÒѹýAÇøÏß +7 ²½´¨¿á×Ï123 2026-03-13 7/350 2026-03-18 17:12 by ¾¡Ë´Ò¢1
[¿¼ÑÐ] 354Çóµ÷¼Á +3 Tyoumou 2026-03-18 5/250 2026-03-18 16:41 by Tyoumou
[¿¼ÑÐ] »¯Ñ§¹¤³Ì321·ÖÇóµ÷¼Á +15 ´óÃ×·¹£¡ 2026-03-15 18/900 2026-03-18 14:52 by haxia
[¿¼ÑÐ] 296Çóµ÷¼Á +5 ´ó¿Ú³Ô·¹ ÉíÌ彡 2026-03-13 5/250 2026-03-17 21:05 by ²»»ó¿ÉÀÖ
[¿¼ÑÐ] 268Çóµ÷¼Á +8 Ò»¶¨ÓÐѧÉÏ- 2026-03-14 9/450 2026-03-17 17:47 by laoshidan
[¿¼ÑÐ] ¿¼Ñл¯Ñ§Ñ§Ë¶µ÷¼Á£¬Ò»Ö¾Ô¸985 +4 ÕÅvvvv 2026-03-15 6/300 2026-03-17 17:15 by ruiyingmiao
[¿¼ÑÐ] 085600²ÄÁÏÓ뻯¹¤Çóµ÷¼Á +5 Ð÷ÐÒÓë×Ó 2026-03-17 5/250 2026-03-17 16:40 by laoshidan
[¿¼ÑÐ] ²ÄÁÏÓ뻯¹¤×¨Ë¶µ÷¼Á +5 heming3743 2026-03-16 5/250 2026-03-17 14:03 by Ó¸ÒÌ«¼àÍõ¹«¹«
[¿¼ÑÐ] ҩѧ383 Çóµ÷¼Á +3 ҩѧchy 2026-03-15 4/200 2026-03-16 20:51 by Ôª×Ó^0^
[¿¼ÑÐ] »úеר˶325£¬Ñ°ÕÒµ÷¼ÁԺУ +3 y9999 2026-03-15 5/250 2026-03-16 19:58 by y9999
[¿¼ÑÐ] 326Çóµ÷¼Á +4 ŵ±´¶û»¯Ñ§½±êéê 2026-03-15 7/350 2026-03-16 17:11 by ŵ±´¶û»¯Ñ§½±êéê
[¿¼ÑÐ] 327Çóµ÷¼Á +6 ʰ¹âÈÎȾ 2026-03-15 11/550 2026-03-15 22:47 by ʰ¹âÈÎȾ
[¿¼ÑÐ] 0856ר˶279Çóµ÷¼Á +5 ¼ÓÓͼÓÓÍ£¡? 2026-03-15 5/250 2026-03-15 11:58 by 2020015
[¿¼ÑÐ] 310Çóµ÷¼Á +3 ¡¾ÉÏÉÏÇ©¡¿ 2026-03-11 3/150 2026-03-13 16:16 by JourneyLucky
[¿¼ÑÐ] 274Çóµ÷¼Á +3 S.H1 2026-03-12 3/150 2026-03-13 15:15 by JourneyLucky
[¿¼ÑÐ] 328»¯¹¤×¨Ë¶Çóµ÷¼Á +4 ¡££¬¡££¬¡££¬¡£i 2026-03-12 4/200 2026-03-13 14:44 by JourneyLucky
[¿¼²©] ¸£ÖÝ´óѧÑî»ÆºÆ¿ÎÌâ×éÕÐÊÕ2026Äêרҵѧλ²©Ê¿Ñо¿Éú£¬2026.03.20½ØÖ¹ +3 Xiangyu_ou 2026-03-12 3/150 2026-03-13 09:36 by duanwu655
ÐÅÏ¢Ìáʾ
ÇëÌî´¦ÀíÒâ¼û