| 查看: 1413 | 回复: 6 | ||
905489400铁虫 (小有名气)
|
[求助]
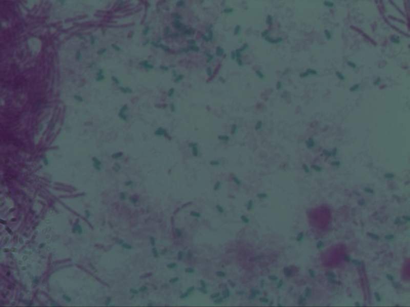
求前辈解答关于多粘类芽孢杆菌培养中的问题,这个现象怎么也解释不了 已有1人参与
|
|
这是多粘类芽孢杆菌发酵培养结束放置4天后的镜检图片 发酵液在放置4天后出现很多小块状很薄的物体漂浮在表面,然后取发酵液镜检,发现该物体是大量类似对数生长期菌体聚集而成。 问题来了,已经产芽孢后发酵液营养物质耗尽,怎么会让菌体这么旺盛的生长;再就是为什么菌体都聚集在一起呢? Shot_201503250924010047.jpg |
» 猜你喜欢
回收溶剂求助
已经有7人回复
职称评审没过,求安慰
已经有40人回复
硝基苯如何除去
已经有3人回复
A期刊撤稿
已经有4人回复
垃圾破二本职称评审标准
已经有17人回复
投稿Elsevier的Neoplasia杂志,到最后选publishing options时页面空白,不能完成投稿
已经有22人回复
申请26博士
已经有5人回复
EST投稿状态问题
已经有7人回复
毕业后当辅导员了,天天各种学生超烦
已经有4人回复
求助文献
已经有3人回复
» 本主题相关价值贴推荐,对您同样有帮助:
最近在分巨大芽孢杆菌和多粘类芽孢杆菌
已经有7人回复
枯草芽孢杆菌在液体培养基中浓度达到多少时才就能使用?
已经有4人回复
求助枯草芽孢杆菌的芽孢培养!
已经有7人回复
地衣芽孢杆菌计数有专门的培养基吗?或者芽孢杆菌计数呢?
已经有7人回复
蜡样芽孢杆菌怎么培养
已经有6人回复
枯草芽孢杆菌PCR扩增不出来的问题
已经有16人回复
枯草芽孢杆菌也可以像大肠杆菌一样保存在斜面固体培养基中吗?
已经有19人回复
枯草芽孢杆菌培养后离心问题
已经有5人回复
枯草芽孢杆菌生长曲线的测定,第一次做,不知道结果正常不?
已经有5人回复
MYP培养基上除了蜡样芽孢杆菌生长之外,还有其他的菌可以生长吗
已经有4人回复
胶质芽孢杆菌培养
已经有14人回复
枯草芽孢杆菌在种子培养基中的生长问题
已经有20人回复
地衣芽孢杆菌液体培养形成菌膜,生长曲线怎么测
已经有12人回复
关于枯草芽孢杆菌转化的问题~
已经有7人回复
纳豆芽孢杆菌在摇瓶里不产生芽孢
已经有13人回复
求 培养枯草芽孢杆菌的培养基
已经有15人回复
巨大芽孢杆菌地衣芽胞杆菌是不是厌氧型的
已经有8人回复
枯草芽孢杆菌涂布平板不生长怎么回事?
已经有16人回复
求购菌种~~多粘类芽孢杆菌(Paenibacillus polymyxa)SC2
已经有5人回复
多粘类芽孢杆菌发酵液像很粘稠,如何获得其无菌滤液?
已经有17人回复
【求助/交流】枯草芽孢杆菌的的培养条件,及菌落特征???
已经有3人回复
【求助/交流】有关于枯草芽孢杆菌形态
已经有19人回复
【求助/交流】紧急求助枯草芽孢杆菌的选择培养基配方
已经有9人回复
【交流】枯草芽孢杆菌的培养基
已经有8人回复
求助枯草芽孢杆菌生长形态的问题
已经有7人回复

905489400
铁虫 (小有名气)
- 应助: 10 (幼儿园)
- 金币: 34.5
- 帖子: 151
- 在线: 76.2小时
- 虫号: 2592928
- 注册: 2013-08-12
- 性别: GG
- 专业: 微生物生理与生物化学

2楼2015-03-25 09:46:26
| 顶 |
3楼2015-03-25 11:18:50
4楼2015-03-27 09:02:37
905489400
铁虫 (小有名气)
- 应助: 10 (幼儿园)
- 金币: 34.5
- 帖子: 151
- 在线: 76.2小时
- 虫号: 2592928
- 注册: 2013-08-12
- 性别: GG
- 专业: 微生物生理与生物化学

5楼2015-03-27 10:09:30
6楼2015-03-27 11:04:50
905489400
铁虫 (小有名气)
- 应助: 10 (幼儿园)
- 金币: 34.5
- 帖子: 151
- 在线: 76.2小时
- 虫号: 2592928
- 注册: 2013-08-12
- 性别: GG
- 专业: 微生物生理与生物化学

7楼2015-03-27 15:14:03













回复此楼
