| 查看: 6117 | 回复: 0 | |
Hillary@静新虫 (正式写手)
|
[求助]
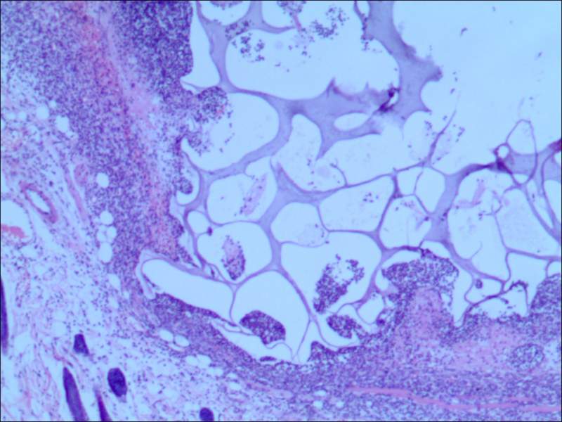
哪位大神帮我看一下这张HE染色的图片
|
![]() |
|
|
|
|
|
找到一些相关的精华帖子,希望有用哦~
科研从小木虫开始,人人为我,我为人人
|














回复此楼


点击这里搜索更多相关资源