| 查看: 999 | 回复: 2 | |
[求助]
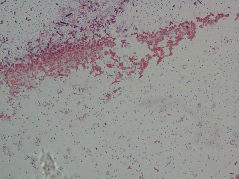
挑取单菌落镜检时遇到问题 已有2人参与
|
|
|
|
|
snoopytbw荣誉版主 (著名写手)
|
|
|
2楼2014-09-24 09:01:38
|
|
|
3楼2014-09-25 15:25:31
|
|













回复此楼
10