| 查看: 1513 | 回复: 14 | ||
[求助]
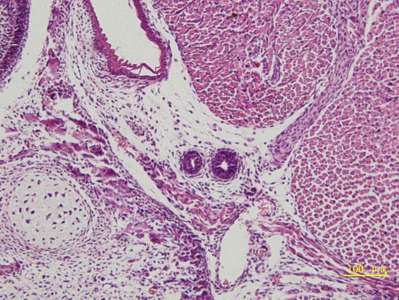
想问下这个方框中的两个圆圈是哪个组织或器官 已有3人参与
|
| 图片在上传文件里。麻烦了,先谢过了 |
» 本帖附件资源列表
-
欢迎监督和反馈:小木虫仅提供交流平台,不对该内容负责。
本内容由用户自主发布,如果其内容涉及到知识产权问题,其责任在于用户本人,如对版权有异议,请联系邮箱:xiaomuchong@tal.com - 附件 1 : 17.5__4.jpg
2014-08-16 19:51:53, 1.55 M
» 猜你喜欢
With editor 7天后直接进入decision in process
已经有22人回复
2022年国自然怎么从信息系统填简历啊?
已经有1人回复
地方病学/职业病学论文润色/翻译怎么收费?
已经有276人回复
OPEN ACCESS需要回复吗?我不想缴纳版面费,请前辈们指导一下。
已经有5人回复
求调剂
已经有1人回复
各位前辈,论文被接受2个月了,现在处于online review?这是什么情况
已经有4人回复
各位前辈论文投稿一月了仍是Editor Assigned,这是要悲剧了吗?
已经有3人回复
SCI已经发表,如何撤稿
已经有13人回复
大家散了吧,月底公布
已经有1人回复
» 本主题相关价值贴推荐,对您同样有帮助:
《我们的研究生时代》第十六章 师姐们的告别
已经有2人回复
谈谈Molekel做静电势填色等值面图的方法及误区
已经有50人回复
【经验】Excel必学秘技
已经有22人回复
【经验&教程】与高手交流---让新手朋友们快速成长的一条捷径!
已经有79人回复
baijieqiong
新虫 (小有名气)
- 应助: 70 (初中生)
- 金币: 491.1
- 红花: 1
- 帖子: 132
- 在线: 21.5小时
- 虫号: 3240759
- 注册: 2014-05-28
- 专业: 中医内科
2楼2014-08-17 20:28:45
3楼2014-08-17 23:11:40
ouzhiying
木虫 (职业作家)
- 应助: 63 (初中生)
- 金币: 4766.6
- 红花: 3
- 帖子: 3776
- 在线: 366.5小时
- 虫号: 200827
- 注册: 2006-02-27
- 性别: GG
- 专业: 病原微生物变异与耐药
4楼2014-08-18 17:52:06

5楼2014-08-19 12:23:51
myyounger
至尊木虫 (文坛精英)
- 应助: 8 (幼儿园)
- 贵宾: 0.105
- 金币: 23288.5
- 散金: 500
- 红花: 144
- 帖子: 16619
- 在线: 484.6小时
- 虫号: 638546
- 注册: 2008-10-28
- 专业: 脑血管结构、功能异常及相
6楼2014-08-19 18:35:35
myyounger
至尊木虫 (文坛精英)
- 应助: 8 (幼儿园)
- 贵宾: 0.105
- 金币: 23288.5
- 散金: 500
- 红花: 144
- 帖子: 16619
- 在线: 484.6小时
- 虫号: 638546
- 注册: 2008-10-28
- 专业: 脑血管结构、功能异常及相
7楼2014-08-19 18:39:29
8楼2014-08-20 10:55:08
9楼2014-08-20 10:57:47

10楼2014-08-21 03:13:53













回复此楼