版块导航
正在加载中...
客户端APP下载
论文辅导
申博辅导
登录
注册
帖子
帖子
用户
本版
应《网络安全法》要求,自2017年10月1日起,未进行实名认证将不得使用互联网跟帖服务。为保障您的帐号能够正常使用,请尽快对帐号进行手机号验证,感谢您的理解与支持!
24小时热门版块排行榜
>
论坛更新日志
(3705)
>
虫友互识
(468)
>
文献求助
(410)
>
导师招生
(292)
>
休闲灌水
(230)
>
考博
(148)
>
博后之家
(137)
>
硕博家园
(77)
>
招聘信息布告栏
(74)
>
论文投稿
(72)
>
论文道贺祈福
(38)
>
外文书籍求助
(28)
>
绿色求助(高悬赏)
(25)
>
SciFinder/Reaxys
(24)
>
考研
(24)
>
有机交流
(23)
小木虫论坛-学术科研互动平台
»
生物医药区
»
医学
»
基础
»
瘤组织切片怎么看
3
1/1
返回列表
查看: 2300 | 回复: 2
只看楼主
@他人
存档
新回复提醒
(忽略)
收藏
在APP中查看
深谷幽兰123
木虫
(小有名气)
应助: 0
(幼儿园)
金币: 2376.9
帖子: 86
在线: 35.7小时
虫号: 2360673
注册: 2013-03-19
专业: 药剂学
[
求助
]
瘤组织切片怎么看
已有1人参与
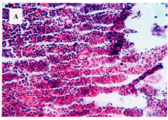
瘤组织经HE染色,光镜观察。有如下分析:肿瘤细胞体积较大,核大,核仁明显且多个,染色质粗细不一,多见核分裂,瘤内有片状坏死,坏死区内及周围有大量淋巴细胞浸润。
请问细胞核,核仁,染色质,淋巴细胞都在哪,该怎么看?
本人病理基础薄弱,求大神指点,
另外从哪可以买到识别这些肿瘤组织的书
A.PNG
回复此楼
» 猜你喜欢
河北大学分析化学招收多名调剂考生
已经有0人回复
河北大学招收生物与医药专业调剂考生
已经有0人回复
消化系统论文润色/翻译怎么收费?
已经有80人回复
河北大学招收生物与医药专业调剂考生
已经有0人回复
河北大学分析化学招收多名调剂考生
已经有0人回复
河北大学分析化学招收多名调剂考生
已经有0人回复
河北大学招收生物与医药专业调剂考生
已经有0人回复
最新梯子-项目批准-全文反馈类型另选不予受理/全文反馈→导出… 20250824
已经有15人回复
Molecular Simulation期刊审稿时间多久呀
已经有6人回复
» 本主题相关价值贴推荐,对您同样有帮助:
寻求HEK293细胞
已经有4人回复
如何在细胞水平上证明致肿瘤性?
已经有7人回复
大师们帮忙鉴定一下是凋亡细胞还是死亡细胞?
已经有6人回复
我看CIK肿瘤生物治疗
已经有15人回复
这个组织切片是鸡什么器官的?
已经有4人回复
免疫组化阳性对照也显示阴性 头疼
已经有9人回复
这是细胞凋亡吗?求助,感激不尽!
已经有16人回复
组织凋亡检测方法
已经有8人回复
组织切片免疫荧光
已经有6人回复
细胞HE染色结果分析
已经有6人回复
植物组织切片问题请教交流
已经有10人回复
组织切片如何能够牢固地固定在载玻片上?
已经有7人回复
玉米茎石蜡切片组织易碎怎么办
已经有15人回复
革兰氏染色剂 番红
已经有19人回复
【求助/交流】谁能提供组织切片脱水机、包埋机、切片机、烤片机的价格。
已经有4人回复
【求助/交流】药物致组织细胞凋亡的caspase活性检测需要多大的组织?(昆虫、动物)
已经有9人回复
【求助】新手做病理切片染色
已经有9人回复
【求助/交流】PI法 细胞周期 细胞凋亡
已经有10人回复
求现在使用什么防脱载玻片,我做组织切片大量掉片?
已经有6人回复
1楼
2014-02-26 11:25:56
已阅
回复此楼
关注TA
给TA发消息
送TA红花
TA的回帖
吴月芽2009
银虫
(小有名气)
应助: 7
(幼儿园)
金币: 466
散金: 100
红花: 1
帖子: 290
在线: 45.7小时
虫号: 907048
注册: 2009-11-19
专业: 畜牧学
【答案】应助回帖
★ ★ ★ ★ ★
感谢参与,应助指数 +1
深谷幽兰123: 金币+5,
★★★
很有帮助
2014-02-27 09:07:23
细胞核是苏木素的蓝色,细胞质是红色。
其他参考:下部模糊一片,是不是浸润导致?
赞
一下
回复此楼
2楼
2014-02-26 17:49:20
已阅
回复此楼
关注TA
给TA发消息
送TA红花
TA的回帖
吴月芽2009
银虫
(小有名气)
应助: 7
(幼儿园)
金币: 466
散金: 100
红花: 1
帖子: 290
在线: 45.7小时
虫号: 907048
注册: 2009-11-19
专业: 畜牧学
参考书《组织切片技术》芮菊生等主编
染色结果:胞核为苏木素染成鲜明红色,胞浆为伊红所染呈桃红色,其他如核仁、肌纤维、、胶原纤维等也为伊红所染,红细胞染成朱红色,染色好的切片应该是红蓝相映色彩鲜明。
赞
一下
回复此楼
3楼
2014-02-27 09:56:18
已阅
回复此楼
关注TA
给TA发消息
送TA红花
TA的回帖
相关版块跳转
新药研发
药学
药品生产
分子生物
微生物
动植物
生物科学
医学
我要订阅楼主
深谷幽兰123
的主题更新
3
1/1
返回列表
如果回帖内容含有宣传信息,请如实选中。否则帐号将被全论坛禁言
普通表情
龙
兔
虎
猫
百度网盘
|
360云盘
|
千易网盘
|
华为网盘
在新窗口页面中打开自己喜欢的网盘网站,将文件上传后,然后将下载链接复制到帖子内容中就可以了。
信息提示
关闭
请填处理意见
关闭
确定