Znn3bq.jpeg
²é¿´: 1139  |  »Ø¸´: 4

milk_007

ľ³æ (ÕýʽдÊÖ)

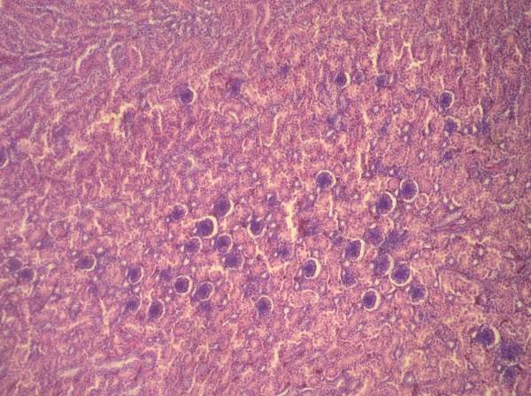
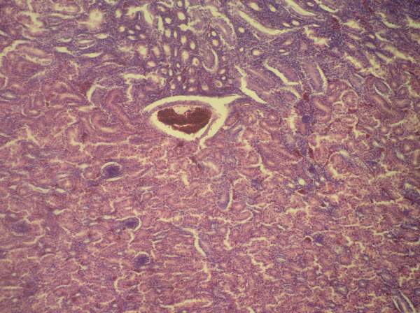
[ÇóÖú] Õâ¸ö×éÖ¯ÇÐÆ¬ÊǼ¦Ê²Ã´Æ÷¹ÙµÄ£¿

ÈçÌâ¡£
Õâ¸ö×éÖ¯ÇÐÆ¬ÊǼ¦Ê²Ã´Æ÷¹ÙµÄ£¿
P1010205.JPG


Õâ¸ö×éÖ¯ÇÐÆ¬ÊǼ¦Ê²Ã´Æ÷¹ÙµÄ£¿-1
P1010225.JPG
»Ø¸´´ËÂ¥

» ²ÂÄãϲ»¶

» ±¾Ö÷ÌâÏà¹Ø¼ÛÖµÌùÍÆ¼ö£¬¶ÔÄúͬÑùÓаïÖú:

ÒÑÔÄ   »Ø¸´´ËÂ¥   ¹Ø×¢TA ¸øTA·¢ÏûÏ¢ ËÍTAºì»¨ TAµÄ»ØÌû

laoxuefen

гæ (³õÈëÎÄ̳)

ÕâÊDz¡±äÆ÷¹ÙÇÐÆ¬»¹Êǽ¡¿µÆ÷¹ÙÇÐÆ¬ÄØ£¿
2Â¥2013-06-23 14:02:42
ÒÑÔÄ   »Ø¸´´ËÂ¥   ¹Ø×¢TA ¸øTA·¢ÏûÏ¢ ËÍTAºì»¨ TAµÄ»ØÌû

xiaopengyou365

Òø³æ (СÓÐÃûÆø)

¡¾´ð°¸¡¿Ó¦Öú»ØÌû

¸Ðл²ÎÓ룬ӦÖúÖ¸Êý +1
¿ÉÄÜÊÇÉöÔàµÄ×éÖ¯ÇÐÆ¬
Äã¿ÉÒÔ²»³É¹¦£¬µ«²»Äܲ»³É³¤£¡
3Â¥2013-06-24 10:57:03
ÒÑÔÄ   »Ø¸´´ËÂ¥   ¹Ø×¢TA ¸øTA·¢ÏûÏ¢ ËÍTAºì»¨ TAµÄ»ØÌû

czy2006

Í­³æ (³õÈëÎÄ̳)

¡¾´ð°¸¡¿Ó¦Öú»ØÌû

¡ï ¡ï ¡ï ¡ï ¡ï
¸Ðл²ÎÓ룬ӦÖúÖ¸Êý +1
milk_007: ½ð±Ò+5, ¡ï¡ï¡ï¡ï¡ï×î¼Ñ´ð°¸ 2013-06-24 19:08:05
È·¶¨ÒÔ¼°¿Ï¶¨ÊÇÉöÔà¡£²»ÔÊÐí¼òµ¥»Ø´ðÉöÔà¡¢¡¢¡¢
4Â¥2013-06-24 14:24:41
ÒÑÔÄ   »Ø¸´´ËÂ¥   ¹Ø×¢TA ¸øTA·¢ÏûÏ¢ ËÍTAºì»¨ TAµÄ»ØÌû

_yeon_

Òø³æ (³õÈëÎÄ̳)

ÒýÓûØÌû:
4Â¥: Originally posted by czy2006 at 2013-06-24 14:24:41
È·¶¨ÒÔ¼°¿Ï¶¨ÊÇÉöÔà¡£²»ÔÊÐí¼òµ¥»Ø´ðÉöÔà¡¢¡¢¡¢

ÄÇÒª»Ø´ðʲô¡£¡£
5Â¥2013-07-01 22:49:01
ÒÑÔÄ   »Ø¸´´ËÂ¥   ¹Ø×¢TA ¸øTA·¢ÏûÏ¢ ËÍTAºì»¨ TAµÄ»ØÌû
Ïà¹Ø°æ¿éÌø×ª ÎÒÒª¶©ÔÄÂ¥Ö÷ milk_007 µÄÖ÷Ìâ¸üÐÂ
×î¾ßÈËÆøÈÈÌûÍÆ¼ö [²é¿´È«²¿] ×÷Õß »Ø/¿´ ×îºó·¢±í
[¿¼ÑÐ] 22408 270·Ö +9 sanjin020722 2026-04-08 10/500 2026-04-09 14:11 by Ê«Óë×ÔÓÉ
[¿¼ÑÐ] ²ÄÁÏר˶(0856) 339·ÖÇóµ÷¼Á +7 ¹þ¹þ¹þ¶ì¹þ¹þ¹þ 2026-04-09 8/400 2026-04-09 13:38 by 544594351
[¿¼ÑÐ] 26¿¼Ñе÷¼Á0710 0860 +10 ²¹²¹²»²¹ 2026-04-03 15/750 2026-04-09 11:13 by ditto77778
[¿¼ÑÐ] 288Çóµ÷¼Á£¬Ò»Ö¾Ô¸»ªÄÏÀí¹¤´óѧ071005 +14 ioodiiij 2026-04-08 14/700 2026-04-09 10:50 by ÈýÆßÆßÏëÉϰ¶
[¿¼ÑÐ] 328Çóµ÷¼Á +17 lftmya 2026-04-07 18/900 2026-04-09 08:05 by 5268321
[¿¼ÑÐ] Ò»Ö¾Ô¸Äϲý´óѧ£¬085600£¬344·ÖÇóµ÷¼Á +11 µ÷¼ÁÉϰ¶«^ 2026-04-05 12/600 2026-04-08 16:17 by luoyongfeng
[¿¼ÑÐ] 280Çóµ÷¼Á +9 Àîrien 2026-04-04 9/450 2026-04-08 13:20 by lijunpoly
[¿¼ÑÐ] 0703»¯Ñ§µ÷¼Á325·Ö +13 15771691647 2026-04-04 14/700 2026-04-08 10:28 by screening
[¿¼ÑÐ] 388Çóµ÷¼Á +6 ËÄ´¨ÍõÌÎ 2026-04-07 8/400 2026-04-08 00:17 by JourneyLucky
[¿¼ÑÐ] 328Çóµ÷¼Á +4 ghhh88888 2026-04-06 5/250 2026-04-07 14:45 by ghhh88888
[¿¼ÑÐ] ²ÄÁϹ¤³Ì302·ÖÇóµ÷¼Á +13 zyxÉϰ¶£¡ 2026-04-04 13/650 2026-04-07 11:14 by Ê«Óë×ÔÓÉ
[¿¼ÑÐ] ÇóÖú +3 ¿¨¿¨¶«88 2026-04-06 4/200 2026-04-06 15:28 by going home
[¿¼ÑÐ] 301Çóµ÷¼Á +3 XYPLR 2026-04-05 4/200 2026-04-05 19:07 by XYPLR
[¿¼ÑÐ] ÉúÎïѧ308·ÖÇóµ÷¼Á£¨Ò»Ö¾Ô¸»ª¶«Ê¦´ó£© +8 ÏàÐűػá¹ââÍòÕ 2026-04-05 10/500 2026-04-05 12:19 by Hdyxbekcb
[¿¼ÑÐ] ÇóÉúÎïѧѧ˶µ÷¼Á¡ª¡ª364·Ö +7 ÔÆ¶äåÞÍäÖ¸ÄÏ 2026-04-04 7/350 2026-04-04 22:49 by zhyzzh
[¿¼ÑÐ] Çóµ÷¼Á +3 ffyyu 2026-04-02 3/150 2026-04-04 19:03 by À¶ÔÆË¼Óê
[¿¼ÑÐ] 292Çóµ÷¼Á +11 2022080213 2026-04-04 13/650 2026-04-04 18:38 by macy2011
[¿¼ÑÐ] Çó²ÄÁϵ÷¼Á Ò»Ö¾Ô¸Äϲý´óѧ 328·Ö +5 yyy..... 2026-04-03 5/250 2026-04-03 13:46 by °ÙÁéͯ888
[¿¼ÑÐ] Çóµ÷¼Á +3 ÐÄÏëÊÂ³É¿É 2026-04-03 3/150 2026-04-03 11:22 by wangjy2002
[¿¼ÑÐ] Çóµ÷¼Á 302·Ö³õÊÔ 0854 +5 Áæ¿ÉÀÖ 2026-04-02 5/250 2026-04-02 17:53 by ±ÊÂä½õÖÝ
ÐÅÏ¢Ìáʾ
ÇëÌî´¦ÀíÒâ¼û