| ²é¿´: 5700 | »Ø¸´: 12 | |||
[½»Á÷]
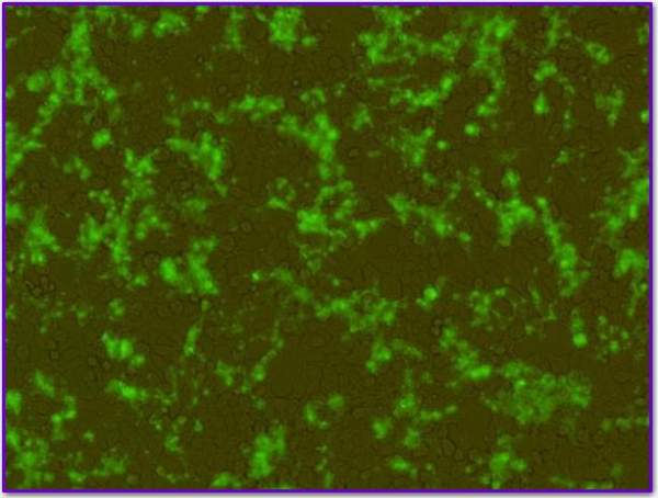
ÖØ×éÖÊÁ£×ªÈ¾ºóÂÌɫӫ¹â±í´ïµÄºÜÆæ¹Ö£¬¸½Í¼£¬Çó´óÉñ½âÊÍ~~¸Ð¼¤²»¾¡
|
|||
ϸ°ûÉúÎïѧʵÑé¾Ñé |
» ²ÂÄãϲ»¶
Áôѧ--²©Ê¿ÕÐÉú
ÒѾÓÐ16È˻ظ´
»¯Ñ§¹¤³Ì£¬±¾211£¬Çóµ÷¼Á£¬abÇø²»ÏÞ
ÒѾÓÐ4È˻ظ´
»¯Ñ§¹¤³Ì¼°¹¤Òµ»¯Ñ§ÂÛÎÄÈóÉ«/·ÒëÔõôÊÕ·Ñ?
ÒѾÓÐ159È˻ظ´
ºþ±±Ê¦·¶´óѧÕе÷¼ÁÀ²
ÒѾÓÐ7È˻ظ´
ÉÛÑôѧԺʳƷÓ뻯ѧ¹¤³ÌѧԺ˶ʿµ÷¼Á
ÒѾÓÐ0È˻ظ´
Ìì½òÉÌÒµ´óѧ ÉúÎïÓëÒ½Ò©¿ÎÌâ×éÕÐÉú
ÒѾÓÐ0È˻ظ´
ÉúÎﻯ¹¤Ñ§Ë¶ÕÐÊÕµ÷¼Á
ÒѾÓÐ0È˻ظ´
¹ã¶«Ê¯ÓÍ»¯¹¤Ñ§Ôº2026Äê˶ʿÑо¿ÉúÐèÒª¶àÃûÉúÎï£¬ÖÆÒ©¹¤³Ì£¬Ê³Æ·×¨ÒµµÄµ÷¼ÁÉú
ÒѾÓÐ0È˻ظ´
317·Ö Ò»Ö¾Ô¸½ÄÏ´óѧ »¯Ñ§¹¤³Ìѧ˶ Çóµ÷¼Á
ÒѾÓÐ6È˻ظ´
»¯¹¤É격
ÒѾÓÐ3È˻ظ´
» ±¾Ö÷ÌâÏà¹Ø¼ÛÖµÌùÍÆ¼ö£¬¶ÔÄúͬÑùÓаïÖú:
GFPÖØ×é±í´ïÖÊÁ£µçÓ¾ÎÊÌâ
ÒѾÓÐ2È˻ظ´
» ÇÀ½ð±ÒÀ²£¡»ØÌû¾Í¿ÉÒԵõ½:
ÖйúʯÓÍ´óѧ£¨±±¾©£© »¯Ñ§¹¤³ÌרҵÕÐ2026¼¶²©Ê¿
+1/475
Ìì½òÀí¹¤´óѧÉúÃü½¡¿µÖÇÄܼì²âÑо¿ÔºÕÐÊÕ2026Äê˶ʿµ÷¼ÁÉú
+1/88
»¶ÓÓÅÐ㿼Éúµ÷¼Á½Î÷Àí¹¤´óѧϡÍÁѧԺ
+1/86
ÖØÇ칤ÉÌ´óѧ·ÏÓÍ×ÊÔ´»¯¼¼ÊõÓë×°±¸½ÌÓý²¿Ñо¿ÖÐÐÄ³ÏÆ¸ÄÜÔ´»¯¹¤¡¢ÉúÎﺽúת»¯·½Ïò½Ìʦ
+1/86
2026ÄêÎ人¹¤³Ì´óѧǧÈ˼ƻ®ÍŶÓÕÐÊÕ˶ʿÑо¿Éúµ÷¼Á
+2/52
»¶Ó¼ÓÈë¸ÓÄÏʦ·¶´óѧÖÇÄÜÖÆÔìÓëδÀ´ÄÜԴѧԺ
+2/44
¿¹²¡¶¾ÐÔ´«È¾²¡´´ÐÂÒ©ÎïÈ«¹úÖØµãʵÑéÊÒ¡ª½ÓÊÕ»¯Ñ§¡¢ÉúÎҩѧ¡¢ÉúÎïÓëÒ½Ò©µ÷¼Á¿¼Éú
+1/26
Õã½áéÖÝ£¬áéÖÝѧԺ»¯Ñ§Óë²ÄÁϹ¤³ÌѧԺÕÐÊÕÈ«Ìå08¡¢²¿·Ö07¡¢09µ÷¼Áͬѧ
+1/24
Î÷°²¹¤³Ì´óѧ»·»¯Ñ§ÔºÄÜÔ´»·¾³´ß»¯ÓëÏȽø²ÄÁÏ¿ÎÌâ×éÕÐÊÕµ÷¼ÁÉú
+1/11
Ìì½ò¿Æ¼¼´óѧ¾¹ÜѧԺҦΰ½ÌÊÚÍŶӣºÖªÊ¶Éú̬Ñо¿ÖÐÐĽÓÊܹÜÀí¿ÆÑ§Ó빤³Ì2026µ÷¼ÁÉú
+1/9
»¶Ó¼ÓÈëÎÒÃǵÄÍŶӣ¡Õв©Ê¿ °ëµ¼Ìå¹âµç×ÓÆ÷¼þÓ뼯³É
+1/8
ÕÐÊÕ2026¼¶Ñо¿Éú
+1/5
ºÓ±±´óѧ·ÖÎö»¯Ñ§ÕÐÊÕ¶àÃûµ÷¼Á¿¼Éú
+1/4
2026ÄêÔÆÄÏ´óѧÇà°Î¿ÎÌâ×éÕÐÊÕµØÀíѧ£¬´óÆø¿ÆÑ§¡¢×ÊÔ´Óë»·¾³µÈרҵÑо¿Éú
+1/3
Çൺ´óѧ»¯Ñ§¹¤³Ì£¨085602£©Ó뻯ѧ¹¤³ÌÓë¼¼Êõ£¨081700£©ÕÐÊÕ´óÁ¿µ÷¼Á
+1/3
̨ÖÝѧԺҽҩ»¯¹¤Ñ§Ôº2026Ä껯ѧ/»¯Ñ§¹¤³Ì˶ʿÑо¿Éú
+2/2
ÆëÆë¹þ¶û´óѧÀîÀò¿ÎÌâ×é³ÏÕÐ2026¼¶¿¼Ñе÷¼ÁÉú£¨Ñ§Ë¶ºÍר˶£©
+1/2
ÎÂÖÝ´óѧÕÐ2026Ä격ʿÑо¿Éú£¨µç´ß»¯ÁìÓò£©
+1/2
F4/80·ÖÑ¡´ÅÖéÈçºÎʵÏÖ¾ÞÊÉϸ°û¾«×¼·ÖÀ룿
+1/1
ÕҺù¤×÷À´Õâ-¹ã¶«Î¨Ò»Ê¯»¯ÔºÐ£¡ª¡ª×ÊÔ´Óë»·¾³×¨Ë¶ÕÐÉú
+1/1
¡ï ¡ï ¡ï ¡ï ¡ï ¡ï ¡ï ¡ï ¡ï
Сľ³æ: ½ð±Ò+0.5, ¸ø¸öºì°ü£¬Ð»Ð»»ØÌû
kx444555: ½ð±Ò+3, ¹ÄÀø½»Á÷ 2013-09-06 13:16:37
sherrysure: ½ð±Ò+5, лл£¡ 2013-09-06 16:28:10
Сľ³æ: ½ð±Ò+0.5, ¸ø¸öºì°ü£¬Ð»Ð»»ØÌû
kx444555: ½ð±Ò+3, ¹ÄÀø½»Á÷ 2013-09-06 13:16:37
sherrysure: ½ð±Ò+5, лл£¡ 2013-09-06 16:28:10
| 1.ÎÄÕÂÀïµÄͼһ°ã¶¼ÊÇÅÄÁ˼¸ÕÅÉõÖÁ¼¸Ê®ÕÅÀïÌô×î¼ÑÊÓÒ°µÄ½á¹û¡£¶øÇÒÒ»°ã¶¼ÐÞ¹ý¡£ÄãÊʵ±¼õµÍÆØ¹âʱ¼ä£¬»á¸üÇåÎúЩ¡£2.תȾ¹ý³Ì¶Ôϸ°ûĤÊÇÓÐËðÉ˵ģ¬ÓÐʱËðÉ˺ܴó¡£Õâµ¼ÖÂϸ°ûÐÎ̬¸Ä±äºÜÕý³£¡£ÌرðÊÇ˲ʱתȾ24hºó¾Í¹Û²ìµÄÓÐʱϸ°û»¹Ã»»Ö¸´¡£Ï¸°û´«¸ö´úÒªÌù±ÚÒ²µÃ¼¸¸öСʱ°É¡£ËùÒÔתȾÓöµ½ÕâÇé¿öºÜÕý³£¡£Èç¹û±í´ï¼¸ÌìÄÚÎȶ¨£¬¿ÉÒÔÊʵ±ÈÃϸ°û»Ö¸´Ò»Ï£¨ÍƲ⣩3.Ĥµ°°×µÄ¹ý±í´ï¿ÉÄÜÓ°Ïìϸ°ûÐÎ̬¡£±Ï¾¹Ä¤±íÃæµÄÕ³¸½¿ÉÄÜ»áÊܵ½Ó°Ïì¡£4.¿ÕÔØÌå¶ÔÕÕºÍÄãµÄ»ùÒòµÄÇø±ð²»Ã÷ÏÔ¡£·Ö²»Çåϸ°ûÖʺÍϸ°ûĤ±í´ï¡£Äã°ÑÆØ¹âʱ¼äµ÷С£¬ÈùâÈõЩ£¬»»40±¶¾µÊÔÊÔ.µ÷½¹ÔÙϸÐÄЩ¡£ÕÕÆ¬Ó«¹â²»ÒªÌ«ÁÁÁË£¬µ¼ÖÂÖÜΧ¶¼ÓÐЩÂÌÉ«ÁË£¨¿ÕÔØÌåÃ÷ÏÔ£©¡£5.½¨ÒéʹÓÃȾÁÏȾϸ°ûĤ¡£ÕâÑùÄÜʹ½á¹û¸üÇåÎú׼ȷ¡£6.ÓÐÌõ¼þµÄ¿ÉÒÔÊÔÊÔ¼¤¹â¹²¾Û½¹ÏÔ΢¾µ£¬»áÇåÎúºÜ¶à£¨µ÷½¹ÒªÄÍÐÄ¡££©×ÜÖ®£¬×ª½øÈ¥ÁË£¬±í´ïÁË£¬ÏÖÔÚÖ»ÊÇÅÄÕպʹ¦ÀíͼƬµÄÎÊÌ⣬±ðÌ«µ£ÐÄ¡£ºÜ¿ÉÄÜתÈëÕâ¸ö»ùÒò¾ÍÊÇÕâÑùµÄ¡£ |
10Â¥2013-09-05 15:25:08
cicelyzh
Ìú¸Ëľ³æ (Ö°Òµ×÷¼Ò)
- MolEPI: 10
- Ó¦Öú: 1662 (½²Ê¦)
- ½ð±Ò: 8693.8
- Ìû×Ó: 3516
- ÔÚÏß: 456Сʱ
- ³æºÅ: 1614001
2Â¥2013-09-04 03:04:51
3Â¥2013-09-04 08:42:41
mamadexiao
ľ³æ (ÕýʽдÊÖ)
- MolEPI: 2
- Ó¦Öú: 53 (³õÖÐÉú)
- ½ð±Ò: 5603.5
- Ìû×Ó: 418
- ÔÚÏß: 78.8Сʱ
- ³æºÅ: 576831
4Â¥2013-09-04 09:59:32
5Â¥2013-09-04 11:39:11
¡ï ¡ï ¡ï
Сľ³æ: ½ð±Ò+0.5, ¸ø¸öºì°ü£¬Ð»Ð»»ØÌû
kx444555: ½ð±Ò+2, ¹ÄÀø½»Á÷ 2013-09-04 15:23:35
Сľ³æ: ½ð±Ò+0.5, ¸ø¸öºì°ü£¬Ð»Ð»»ØÌû
kx444555: ½ð±Ò+2, ¹ÄÀø½»Á÷ 2013-09-04 15:23:35
| ¸øÕÅÃ÷³¡µÄͼ°É¡£Òª²»È»¿´²»Çå¡£ºÃÏñÂÌÉ«µÄÓ«¹â²»ÔÚÒ»¸ö¾Û½¹Æ½ÃæÉÏ£¨Ä¤µ°°×µÄ»°ºÜÕý³£¡££©£¬ÔÙµ÷һϽ¹£¬Ã÷³¡µÄϸ°ûÂÖÀªÇåÎú£¬¹ØµÆ£¬¿ª¼¤·¢£¬¿´Ó«¹â¡£°ÑÃ÷³¡µÄͼºÍÓ«¹âµþ¼Ó¾ÍºÃÁË¡£Óм¤¹â¹²¾Û½¹ÏÔ΢¾µµÄ»°£¬¿ÉÒÔÊÔÊÔ£¬ÄÜÇåÎú²»ÉÙ¡£ |
6Â¥2013-09-04 11:48:43
7Â¥2013-09-04 12:10:47
8Â¥2013-09-05 10:27:02
9Â¥2013-09-05 14:53:09
11Â¥2013-09-06 16:28:00
12Â¥2014-10-18 20:35:54
13Â¥2015-10-15 16:51:00















»Ø¸´´ËÂ¥