| 查看: 1244 | 回复: 3 | |
[求助]
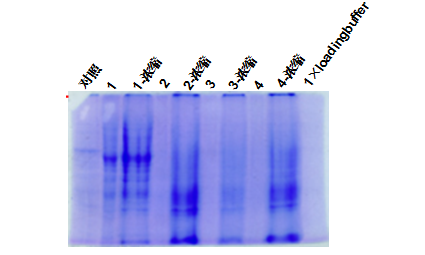
蛋白溶液浓缩后考染结果,我还应注意哪些?
|
|
|
|
|
gzh494266铜虫 (小有名气)
|
|
![]() |
|
|
2楼2012-01-13 19:05:38
|
|
痴客木虫 (正式写手)
吃货250
|
|
![]() |
|
|
3楼2012-01-14 01:14:07
|
|
|
4楼2012-03-01 13:15:32
|
|














回复此楼
