²é¿´: 2465  |  »Ø¸´: 5

huahua1766

ľ³æ (ÖøÃûдÊÖ)

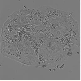
[ÇóÖú] Halaϸ°ûÅàÑøºó£¬ÖÜΧ³¤ÂúºÚ¿ÅÁ££¬ÈçͼËùʾ£¬ÇóÖú´ó¼Ò£¬Ð»Ð»

ûÓÐÒ»µãϸ°ûÅàÑø·½ÃæµÄ֪ʶ
ÏÖÔÚÅöµ½ÈçÏÂÎÊÌâ£¬ÌØÏò´ó¼ÒÇóÖú£º

Halaϸ°ûÅàÑøºó£¬ÖÜΧ³¤ÂúºÚ¿ÅÁ££¬ÈçͼËùʾ£¬Ð»Ð»
»Ø¸´´ËÂ¥

» ²ÂÄãϲ»¶

» ±¾Ö÷ÌâÏà¹Ø¼ÛÖµÌùÍÆ¼ö£¬¶ÔÄúͬÑùÓаïÖú:

ÒÑÔÄ   »Ø¸´´ËÂ¥   ¹Ø×¢TA ¸øTA·¢ÏûÏ¢ ËÍTAºì»¨ TAµÄ»ØÌû

ÄäÃû

Óû§×¢Ïú (ÕýʽдÊÖ)

¸Ðл²ÎÓ룬ӦÖúÖ¸Êý +1
huahua1766(½ð±Ò+3): 2011-12-22 15:00:58
±¾Ìû½öÂ¥Ö÷¿É¼û
2Â¥2011-12-22 12:22:37
ÒÑÔÄ   ÉêÇëBioEPI   »Ø¸´´ËÂ¥   ±à¼­   ²é¿´ÎÒµÄÖ÷Ò³

huahua1766

ľ³æ (ÖøÃûдÊÖ)

ÒýÓûØÌû:
Â¥: Originally posted by 198903133397 at 2011-12-22 12:22:37:
ºÜ¾Ãû»»ÅàÑøÒº°É£¬ÒòΪȱÉÙÓªÑø£¬Ï¸°ûÌå»ý±ä´ó£¬ÊôÓÚµòÍöµÄÕý³£×´Ì¬£¬Õâϸ°ûû·¨ÓÃÁË£¬½¨ÒéÖØÐ¸´ËÕ

»»ÅàÑøÒººÜÇÚ¿ìµÄ
ÆäËüÖÖÀàµÄϸ°û¶¼ÓÐÕâÖÖ
Ó¦¸ÃûÓеòÍö°É

²»¹ý»¹ÊÇллÄã°¡
3Â¥2011-12-22 15:02:29
ÒÑÔÄ   »Ø¸´´ËÂ¥   ¹Ø×¢TA ¸øTA·¢ÏûÏ¢ ËÍTAºì»¨ TAµÄ»ØÌû

yangxinglou

гæ (СÓÐÃûÆø)

½¨Òé²éÒ»ÏÂÊÇ·ñÓÐÖ§Ô­ÌåÎÛȾ
Ö»ÒªÄÜ¿´µ½Ñô¹â¾Í»áÒ»Ö±ÓÐÏ£Íû
4Â¥2011-12-22 19:20:39
ÒÑÔÄ   »Ø¸´´ËÂ¥   ¹Ø×¢TA ¸øTA·¢ÏûÏ¢ ËÍTAºì»¨ TAµÄ»ØÌû

mamadexiao

ľ³æ (ÕýʽдÊÖ)

¡¾´ð°¸¡¿Ó¦Öú»ØÌû

¸Ðл²ÎÓ룬ӦÖúÖ¸Êý +1
huahua1766(½ð±Ò+3): wuwu 2011-12-22 22:43:41
ÄܰÑHELAÑø³ÉÕâÑù°¡¡£¡£¡£
ÈÓÁ˰ɡ£¡£¡£
ßÀ£¬Á¬Ï¸°û±ß½ç¶¼Ã»ÓÐÁË
ÕæµÄ£¬Ï´μûÁ˾ÍÈÓµô£¬ÖØÐ¸´ËÕ£¬µ±È»¸´ËÕǰ×îºÃ°ÑÄãÓõĶ«Î÷¶¼¸Ã¸ßѹµÄ¸ßѹ£¬¸Ã¹ýÂ˵ĹýÂ˰É
5Â¥2011-12-22 22:05:57
ÒÑÔÄ   »Ø¸´´ËÂ¥   ¹Ø×¢TA ¸øTA·¢ÏûÏ¢ ËÍTAºì»¨ TAµÄ»ØÌû

gd19871017

гæ (СÓÐÃûÆø)

¡¾´ð°¸¡¿Ó¦Öú»ØÌû

¸Ðл²ÎÓ룬ӦÖúÖ¸Êý +1
¿ÉÄÜÖ§Ô­ÌåÎÛȾ,ÖØÐ¸´ËÕ°É¡£Ï¸°û״̬Ҳ²»ºÃ
6Â¥2011-12-23 09:44:35
ÒÑÔÄ   »Ø¸´´ËÂ¥   ¹Ø×¢TA ¸øTA·¢ÏûÏ¢ ËÍTAºì»¨ TAµÄ»ØÌû
Ïà¹Ø°æ¿éÌø×ª ÎÒÒª¶©ÔÄÂ¥Ö÷ huahua1766 µÄÖ÷Ìâ¸üÐÂ
×î¾ßÈËÆøÈÈÌûÍÆ¼ö [²é¿´È«²¿] ×÷Õß »Ø/¿´ ×îºó·¢±í
[¿¼ÑÐ] 261ÇóBÇøµ÷¼Á£¬¿ÆÑо­Àú·á¸» +3 Å£Ä̺Üæ 2026-03-20 4/200 2026-03-20 19:34 by JourneyLucky
[¿¼ÑÐ] Ò»Ö¾Ô¸Äϲý´óѧ£¬327·Ö£¬²ÄÁÏÓ뻯¹¤085600 +6 Ncdx123456 2026-03-19 6/300 2026-03-20 17:40 by ÎÞи¿É»÷111
[¿¼ÑÐ] 22408 344·Ö Çóµ÷¼Á Ò»Ö¾Ô¸ »ªµç¼ÆËã»ú¼¼Êõ +3 solanXXX 2026-03-20 3/150 2026-03-20 16:41 by fxue1114
[¿¼ÑÐ] 289Çóµ÷¼Á +3 »³èªÎÕè¤l 2026-03-20 3/150 2026-03-20 16:17 by Iveryant
[¿¼ÑÐ] ¹ãÎ÷´óѧ¼ÒÇÝÒÅ´«ÓýÖÖ¿ÎÌâ×é2026Äê˶ʿÕÐÉú£¨½ÓÊÕ¼ÆËã»úרҵµ÷¼Á£© +3 123°¢±ê 2026-03-17 3/150 2026-03-20 15:58 by ·ÉÐÐçù
[¿¼ÑÐ] 0856µ÷¼Á£¬ÊÇѧУ¾ÍÈ¥ +8 sllhht 2026-03-19 9/450 2026-03-20 14:25 by ÎÞи¿É»÷111
[¿¼ÑÐ] 288Çóµ÷¼Á +15 ÓÚº£º£º£º£ 2026-03-19 15/750 2026-03-19 22:41 by ѧԱ8dgXkO
[¿¼ÑÐ] 085601²ÄÁϹ¤³Ìר˶Çóµ÷¼Á +10 Ľº®mio 2026-03-16 10/500 2026-03-19 15:26 by ¶¡¶¡*
[¿¼ÑÐ] 286Çóµ÷¼Á +6 lemonzzn 2026-03-16 10/500 2026-03-19 14:31 by lemonzzn
[¿¼ÑÐ] ²ÄÁÏ¿¼Ñе÷¼Á +3 xwt¡£ 2026-03-19 3/150 2026-03-19 11:22 by wãåÑôw
[¿¼ÑÐ] 346Çóµ÷¼Á[0856] +3 WayneLim327 2026-03-16 6/300 2026-03-19 11:21 by WayneLim327
[¿¼ÑÐ] Ò»Ö¾Ô¸ÎäÀí²ÄÁÏ305·ÖÇóµ÷¼Á +5 ÏëÉϰ¶µÄÀðÓã 2026-03-18 6/300 2026-03-18 17:53 by Î޼ʵIJÝÔ­
[¿¼ÑÐ] 08¹¤¿Æ 320×Ü·Ö Çóµ÷¼Á +5 À滨çóÍí·ç 2026-03-17 5/250 2026-03-18 14:49 by haxia
[¿¼ÑÐ] 085601ר˶£¬×Ü·Ö342Çóµ÷¼Á£¬µØÇø²»ÏÞ +5 share_joy 2026-03-16 5/250 2026-03-18 14:48 by haxia
[¿¼ÑÐ] 297Çóµ÷¼Á +8 Ï·¾«µ¤µ¤µ¤ 2026-03-17 8/400 2026-03-18 14:30 by laoshidan
[¿¼ÑÐ] 304Çóµ÷¼Á +12 СÐÜjoy 2026-03-14 13/650 2026-03-18 12:34 by Linda Hu
[¿¼ÑÐ] ÉúÎïѧ071000 329·ÖÇóµ÷¼Á +3 ÎÒ°®ÉúÎïÉúÎﰮΠ2026-03-17 3/150 2026-03-18 10:12 by macy2011
[¿¼ÑÐ] ¿¼Ñе÷¼Á +3 ä¿ya_~ 2026-03-17 5/250 2026-03-17 09:25 by Winj1e
[¿¼ÑÐ] 11408 Ò»Ö¾Ô¸Î÷µç£¬277·ÖÇóµ÷¼Á +3 zhouzhen654 2026-03-16 3/150 2026-03-17 07:03 by laoshidan
[¿¼ÑÐ] 304Çóµ÷¼Á +3 ÂüÊâ2266 2026-03-14 3/150 2026-03-16 16:39 by houyaoxu
ÐÅÏ¢Ìáʾ
ÇëÌî´¦ÀíÒâ¼û