版块导航
正在加载中...
客户端APP下载
论文辅导
申博辅导
登录
注册
帖子
帖子
用户
本版
应《网络安全法》要求,自2017年10月1日起,未进行实名认证将不得使用互联网跟帖服务。为保障您的帐号能够正常使用,请尽快对帐号进行手机号验证,感谢您的理解与支持!
24小时热门版块排行榜
>
论坛更新日志
(3116)
>
虫友互识
(599)
>
论文投稿
(196)
>
休闲灌水
(163)
>
基金申请
(133)
>
导师招生
(110)
>
文献求助
(105)
>
公派出国
(69)
>
硕博家园
(59)
>
博后之家
(55)
>
考博
(48)
>
教师之家
(39)
>
考研
(37)
>
论文道贺祈福
(29)
>
找工作
(28)
>
绿色求助(高悬赏)
(11)
小木虫论坛-学术科研互动平台
»
生物医药区
»
分子生物
»
综合其他
»
请大家帮忙分析下我的SDS-PAGE蛋白检测胶啊
5
1/1
返回列表
查看: 3294 | 回复: 26
只看楼主
@他人
存档
新回复提醒
(忽略)
收藏
在APP中查看
当前只显示满足指定条件的回帖,点击这里查看本话题的所有回帖
hrjxx
新虫
(小有名气)
应助: 0
(幼儿园)
金币: 229.2
散金: 214
帖子: 138
在线: 75.4小时
虫号: 1248638
注册: 2011-03-29
专业: 蛋白质组学
[
求助
]
请大家帮忙分析下我的SDS-PAGE蛋白检测胶啊
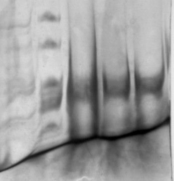
我是按照TCA/丙酮沉淀方法,提取总蛋白用来跑双向的,跑双向之前,先用SDS-PAGE,检测了下蛋白质量,但是看到这张图,我不知道该怎么办,请大家帮忙分析下啊,图上的右边3个,为蛋白样品,右边第4为Marker泳道
为什么我的蛋白样品,就中间一块有呢,高分子量和低分子量都是空白呢??还有就是带很模糊,这是降解的原因吗??请高手给指点下 啊。先谢谢了啊
总蛋白的检测胶图
[
Last edited by 1949stone on 2011-10-17 at 19:26
]
回复此楼
» 本帖已获得的红花(最新10朵)
btx362237729
» 猜你喜欢
筑牢营养安全线:以精准检测,护健康基石
已经有0人回复
推荐一些20种氨基酸检测的实际应用案例
已经有0人回复
化学工程及工业化学论文润色/翻译怎么收费?
已经有129人回复
不合理蛙科研实验中的趣事:实验器材的 “乌龙”
已经有0人回复
不合理蛙科研实验中的趣事:和实验材料的 “斗智斗勇”
已经有0人回复
蛋白质检测:精准分析,解锁生物分子的密码
已经有0人回复
不合理蛙科研实验之小鼠实验:严谨设计,解析生命机制的重要载体
已经有0人回复
不合理蛙科研实验之重金属检测:精准筛查,守护健康与环境的防线
已经有0人回复
不合理蛙科研实验之“蛙测重金属我背锅三千”
已经有0人回复
不合理蛙科研实验之“鼠逃三次我发三篇SCI”
已经有0人回复
» 本主题相关商家推荐:
(我也要在这里推广)
» 本主题相关价值贴推荐,对您同样有帮助:
SDS-PAGE和PAGE的区别(SDS-PAGE测出来的一定就是蛋白质相对分子质量?)
已经有17人回复
SDS-PAGE胶蛋白微量回收试剂盒(说明书)-BSP062
已经有19人回复
SDS-PAGE 蛋白胶跑胶问题
已经有27人回复
SDS-PAGE蛋白电泳
已经有23人回复
请帮忙推荐下蛋白电泳装置, 或洒点蛋白纯化 or PAGE 经验啊!
已经有8人回复
【求助/交流】SDS-PAGE电泳图 求高人帮忙分析下问题所在 谢谢啦!
已经有19人回复
【交流】牛血清蛋白(BSA)的SDS-PAGE分析
已经有8人回复
【求助/交流】从SDS-PAGE凝胶中回收蛋白条带用哪个试剂盒好?
已经有11人回复
1楼
2011-10-17 02:09:58
已阅
回复此楼
关注TA
给TA发消息
送TA红花
TA的回帖
会思想的芦苇
金虫
(正式写手)
应助: 11
(小学生)
金币: 1415.8
红花: 2
帖子: 360
在线: 166.2小时
虫号: 1360621
注册: 2011-08-04
专业: 生物技术药物
西瓜: 给点建议啊 2011-10-17 18:40:29
这电泳是看到的最烂的
赞
一下
(1人)
回复此楼
高级回复
3楼
2011-10-17 17:40:47
已阅
回复此楼
关注TA
给TA发消息
送TA红花
TA的回帖
查看全部 27 个回答
hrjxx
新虫
(小有名气)
应助: 0
(幼儿园)
金币: 229.2
散金: 214
帖子: 138
在线: 75.4小时
虫号: 1248638
注册: 2011-03-29
专业: 蛋白质组学
为什么我的蛋白样品,就中间一块有呢,高分子量和低分子量都是空白呢??还有就是带很模糊,这是降解的原因吗??请高手给指点下 啊。先谢谢了啊
赞
一下
回复此楼
2楼
2011-10-17 02:11:25
已阅
回复此楼
关注TA
给TA发消息
送TA红花
TA的回帖
求索寻觅
金虫
(小有名气)
应助: 0
(幼儿园)
金币: 884.7
帖子: 125
在线: 14小时
虫号: 993161
注册: 2010-04-10
性别: GG
专业: 蛋白质组学
【答案】应助回帖
★ ★
1949stone(金币+2): 鼓励下 2011-10-17 19:27:18
hrjxx(金币+1): 谢谢啊 ,图是很烂,但是全蛋白应该分布在整个泳道,为什么就集中在中间快呢,谢谢你的建议,不过我想只能给你2分 2011-10-17 20:05:49
我觉得你你的胶没配好,mark一般跑的比较好的,你这mark的图谱都这么差,我只能推测是胶的问题了。你的ap是新配的吗?如果是,你跑胶时候的电压或者电流是多大呢?还有,mark点样时你注意的浓度了没?
我也做这个时间不是很长,但是我的一向SDS-PAGE效果比你的好些,楼主注意下操作吧。
赞
一下
(2人)
回复此楼
4楼
2011-10-17 18:51:13
已阅
回复此楼
关注TA
给TA发消息
送TA红花
TA的回帖
fisheart
金虫
(小有名气)
应助: 0
(幼儿园)
金币: 1086.7
红花: 10
帖子: 131
在线: 20小时
虫号: 1332157
注册: 2011-06-27
专业: 人类遗传学
【答案】应助回帖
★
hrjxx(金币+1): 2011-10-17 20:06:06
西瓜(金币+1): good 2011-10-19 18:37:01
先把marker跑好,确定排除电泳本身问题,再讨论样品条带
赞
一下
(1人)
回复此楼
5楼
2011-10-17 19:37:20
已阅
回复此楼
关注TA
给TA发消息
送TA红花
TA的回帖
查看全部 27 个回答
如果回帖内容含有宣传信息,请如实选中。否则帐号将被全论坛禁言
普通表情
龙
兔
虎
猫
百度网盘
|
360云盘
|
千易网盘
|
华为网盘
在新窗口页面中打开自己喜欢的网盘网站,将文件上传后,然后将下载链接复制到帖子内容中就可以了。
信息提示
关闭
请填处理意见
关闭
确定