| 查看: 1444 | 回复: 3 | |
[求助]
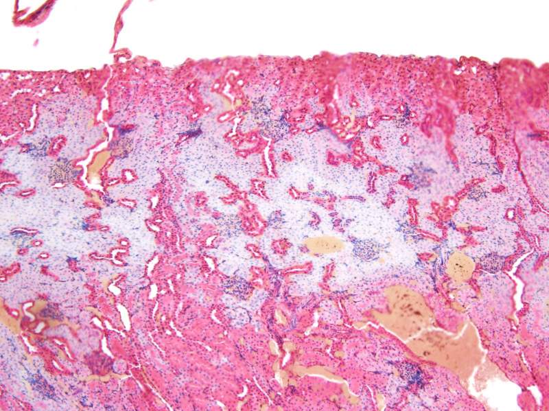
求助肾脏HE染色问题,急求 已有1人参与
|
|
|
|
|
|
2楼2016-04-14 16:26:47
|
|
|
3楼2016-11-08 20:34:33
|
|
阿坤0931铁虫 (初入文坛)
|
|
|
4楼2016-11-10 16:00:07
|
|













回复此楼