| 查看: 12690 | 回复: 7 | ||
yu517193174金虫 (小有名气)
|
[求助]
求帮忙看看肾脏HE染色病理切片已有5人参与
|
|
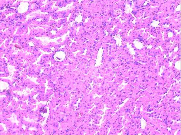
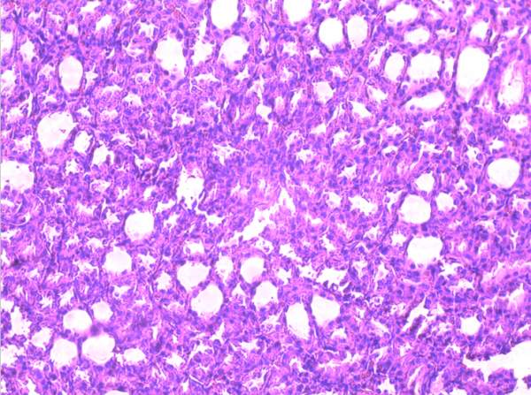
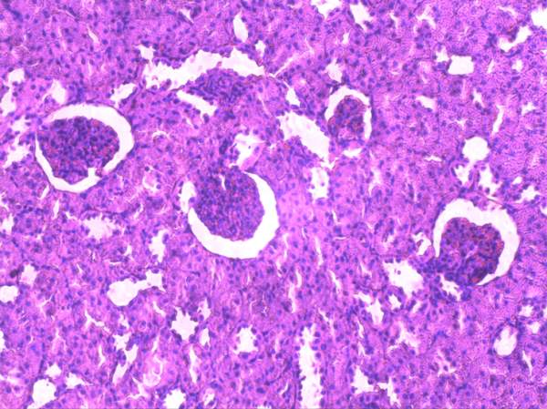
如题,对病理切片完全外行,就大神帮忙看看 1.jpg 2.jpg 3.jpg 4.jpg 5.jpg 6.jpg 7.jpg 8.jpg [ Last edited by yu517193174 on 2013-12-28 at 16:01 ] |
» 本帖附件资源列表
-
欢迎监督和反馈:小木虫仅提供交流平台,不对该内容负责。
本内容由用户自主发布,如果其内容涉及到知识产权问题,其责任在于用户本人,如对版权有异议,请联系邮箱:xiaomuchong@tal.com - 附件 1 : 5.2.bmp
- 附件 2 : 14.1.bmp
- 附件 3 : 14.2.bmp
- 附件 4 : 5.1.bmp
- 附件 5 : 14.3.bmp
- 附件 6 : 20.1.bmp
- 附件 7 : 20.2.bmp
2013-12-28 15:02:55, 9 M
2013-12-28 15:03:47, 9 M
2013-12-28 15:04:44, 9 M
2013-12-28 15:16:28, 9 M
2013-12-28 15:20:14, 9 M
2013-12-28 15:23:47, 9 M
2013-12-28 15:24:56, 9 M
» 猜你喜欢
医学部什么时候会评?
已经有12人回复
希望医学口面上能中
已经有3人回复
肿瘤学论文润色/翻译怎么收费?
已经有117人回复
美国匹兹堡大学医学院眼科陈媛媛实验室诚招全职博士后
已经有0人回复
法医学334求调剂
已经有0人回复
江苏省自科今年出结果真晚!!!
已经有23人回复
这周末医学口专家开始报到了
已经有8人回复
看了十几个本子,感觉一大半的人还不了解本子写作的逻辑和要点呀!
已经有7人回复
面上已中
已经有74人回复
天津医科大学药理系14个调剂名额!速来抢!
已经有0人回复
» 本主题相关价值贴推荐,对您同样有帮助:
小鼠急性毒性,肝肾要做病理切片,求助
已经有3人回复
求助病理染色中-石碳酸二甲苯的配制
已经有8人回复
2楼2014-01-07 15:57:26
yu517193174
金虫 (小有名气)
- 应助: 2 (幼儿园)
- 金币: 660.8
- 散金: 2182
- 红花: 6
- 帖子: 153
- 在线: 119.4小时
- 虫号: 1479345
- 注册: 2011-11-06
- 性别: MM
- 专业: 药剂学
3楼2014-01-07 16:29:43
|
本帖内容被屏蔽 |
4楼2014-02-08 09:52:52
yu517193174
金虫 (小有名气)
- 应助: 2 (幼儿园)
- 金币: 660.8
- 散金: 2182
- 红花: 6
- 帖子: 153
- 在线: 119.4小时
- 虫号: 1479345
- 注册: 2011-11-06
- 性别: MM
- 专业: 药剂学
5楼2014-02-26 09:29:35
6楼2014-06-27 15:45:47
7楼2014-06-27 16:36:08
【答案】应助回帖
| 和你说几点:1 你的切片太厚,细胞染色不清晰。2, 1和2显示肾小球萎缩,还是能看出来的,你再高倍仔细看看。3, 6号照片肾小管有蛋白管型,部分肾小管扩张。以后再有问题可以给我发邮件dumu123@126.com |
8楼2015-05-07 17:09:14














回复此楼
