| 查看: 667 | 回复: 0 | |
loveyjc金虫 (正式写手)
|
[求助]
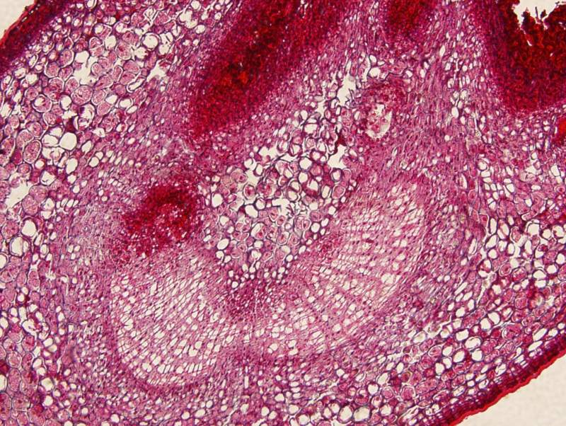
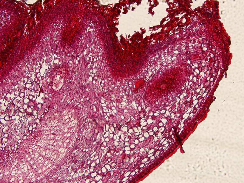
哪位大神帮忙分析一下植物根的石蜡切片
|
|
|
|
|
找到一些相关的精华帖子,希望有用哦~
科研从小木虫开始,人人为我,我为人人
|













回复此楼
点击这里搜索更多相关资源