版块导航
正在加载中...
客户端APP下载
论文辅导
调剂小程序
登录
注册
帖子
帖子
用户
本版
应《网络安全法》要求,自2017年10月1日起,未进行实名认证将不得使用互联网跟帖服务。为保障您的帐号能够正常使用,请尽快对帐号进行手机号验证,感谢您的理解与支持!
24小时热门版块排行榜
>
论坛更新日志
(967)
>
导师招生
(61)
>
论文投稿
(39)
>
虫友互识
(27)
>
考博
(19)
>
硕博家园
(17)
>
教师之家
(15)
>
基金申请
(14)
>
博后之家
(13)
>
找工作
(11)
>
休闲灌水
(11)
>
有机资源
(6)
>
公派出国
(6)
>
考研
(5)
>
招聘信息布告栏
(3)
>
文献求助
(3)
小木虫论坛-学术科研互动平台
»
生物医药区
»
药学
»
药理学
»
【求助】动脉硬化病理切片,求分析!~
6
1/1
返回列表
查看: 1377 | 回复: 5
只看楼主
@他人
存档
新回复提醒
(忽略)
收藏
在APP中查看
yourroy
铜虫
(小有名气)
应助: 1
(幼儿园)
金币: 255.8
帖子: 142
在线: 29.6小时
虫号: 758934
[交流]
【求助】动脉硬化病理切片,求分析!~
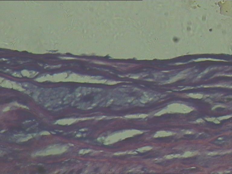
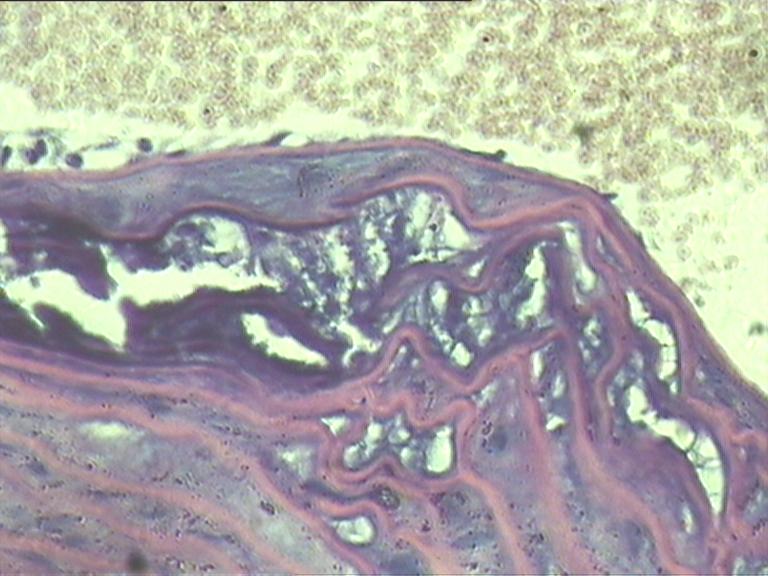
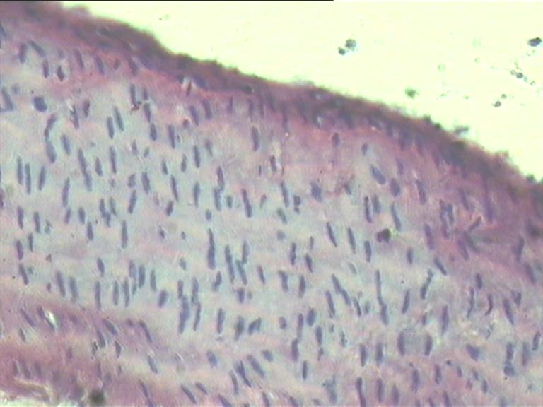
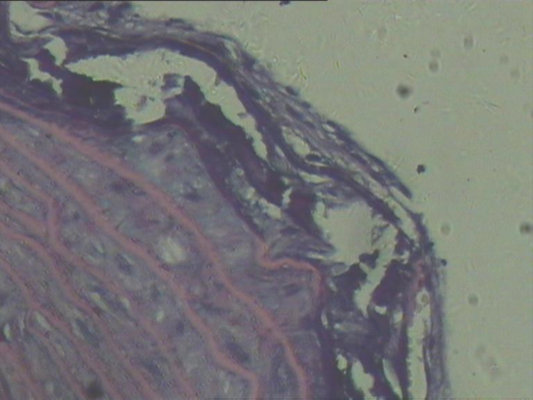
以下为我做的大鼠主动脉弓切片,跟教学用的片子有些出入,不知这些片子是什么情况,求能者分析,谢啦!~
有些片子血管内膜有深蓝色断层一样的现象,实在是不清楚这个事什么现象?
附实验:高脂饮食喂养大鼠,然后解剖主动脉弓做石蜡切片,HE染色。
回复此楼
» 猜你喜欢
面上可以超过30页吧?
已经有13人回复
网上报道青年教师午睡中猝死、熬夜猝死的越来越多,主要哪些原因引起的?
已经有10人回复
为什么中国大学工科教授们水了那么多所谓的顶会顶刊,但还是做不出宇树机器人?
已经有13人回复
什么是人一生最重要的?
已经有8人回复
版面费该交吗
已经有17人回复
体制内长辈说体制内绝大部分一辈子在底层,如同你们一样大部分普通教师忙且收入低
已经有19人回复
【博士招生】太原理工大学2026化工博士
已经有8人回复
280求调剂
已经有4人回复
高级回复
» 本主题相关价值贴推荐,对您同样有帮助:
岛津LC20液相制备工作站labsolution设置问题
已经有3人回复
高血压。高血脂,动脉硬化,心率低该咋办?真诚求助!!!
已经有5人回复
小鼠肝脏病理切片观察~~~求助~~
已经有9人回复
用于电缆行业半导电橡胶体积电阻率要求(问题已解,版主出来帮我把该贴改为交流散金贴
已经有21人回复
【求助】新手做病理切片染色
已经有9人回复
【求助】胆固醇偏高会导致动脉硬化和记忆力下降吗?
已经有3人回复
【求助】谁能帮我看看这张豚鼠皮肤病理切片,能说明什么问题吗?帮忙解读一下吧
已经有4人回复
【求助】脑动脉硬化(颈部左侧动脉有0.4*0.13cm超回声斑块
已经有3人回复
【求助】大孔树脂洗脱问题
已经有11人回复
【求助】色谱柱的压强突然变大怎么办
已经有6人回复
» 抢金币啦!回帖就可以得到:
查看全部散金贴
高级研发工程师/研发工程师 – 锂离子电池正极材料回收与制备-香港纳米及先进材料研发
+
1
/287
江西景德镇某大学接受调剂:环境科学与工程专业
+
1
/180
湖南大学材料院陶益杰老师招收2026年秋季入学博士生一名
+
1
/177
上海交通大学叶天南课题组招聘2026级博士研究生
+
1
/79
上海交通大学叶天南课题组招聘2026级博士研究生
+
1
/77
26国自然面上,大家是否还写研究方案?
+
1
/71
博洛尼亚大学能源材料课题组2个博后位置招聘(PNRR & MSCA)
+
1
/60
南通大学生物医药方向国家级人才团队招收“申请-考核”制博士研究生20260222
+
2
/30
澳门理工大学人工智能智慧康养方向26 年9月入学博士招生 奖学金
+
1
/30
26年启明计划
+
1
/17
西安交通大学补亚忠课题组招聘统考硕士生
+
2
/14
青岛大学功能纺织品与先进材料研究院招收2026级申请考核制博士
+
1
/14
南昌大学资源与环境学院刘进教授团队招收2026硕博研究生
+
1
/13
新西兰 奥克兰理工大学(AUT)招博士,海藻资源化方向,详情请见如下内容,谢谢!
+
1
/8
深圳理工大学刘鑫课题组高薪招聘博士后
+
1
/7
杨亚研究员课题组(广西大学-纳米能源研究中心)招收2026年物理学专业学术型博士
+
1
/6
吉林师范大学宽禁带半导体材料生长与器件应用重点实验室招收2026年入学博士生
+
5
/5
【全奖博士招生】美国科罗拉多大学科罗拉多斯普林斯分校----固体与结构力学
+
1
/4
青岛理工大学高端装备健康监测与智能运维团队接受调剂
+
1
/3
双一流-南林大-理学院-周玉娟课题组招收2026年博士研究生
+
1
/1
1楼
2011-03-26 19:39:21
已阅
回复此楼
关注TA
给TA发消息
送TA红花
TA的回帖
yourroy
铜虫
(小有名气)
应助: 1
(幼儿园)
金币: 255.8
帖子: 142
在线: 29.6小时
虫号: 758934
第二张、第三张、第四张 血管内膜下深蓝色几乎跟断层一样的现象是什么啊,是片子没做好?还是脂纹变性?
赞
一下
回复此楼
3楼
2011-03-26 20:28:25
已阅
回复此楼
关注TA
给TA发消息
送TA红花
TA的回帖
红卫兵
金虫
(小有名气)
应助: 0
(幼儿园)
金币: 638.6
帖子: 102
在线: 146.6小时
虫号: 346182
切片做得实在是太差了~
赞
一下
回复此楼
4楼
2011-04-01 22:38:15
已阅
回复此楼
关注TA
给TA发消息
送TA红花
TA的回帖
goonwork
银虫
(小有名气)
应助: 21
(小学生)
金币: 543.2
帖子: 203
在线: 53.7小时
虫号: 609883
★
小木虫: 金币+0.5, 给个红包,谢谢回帖
片子做得真的不敢恭维。如果第一次做,那情有可原。
估计的原因是切片刀不锋利,或者贴片考片把握不够。先看别人切片的方法包括厚度 切片方向 切片时一定干脆 贴片时一定是熟能生巧 保持留片的间隔
赞
一下
回复此楼
5楼
2012-07-06 17:14:15
已阅
回复此楼
关注TA
给TA发消息
送TA红花
TA的回帖
小女子学生物
新虫
(初入文坛)
应助: 0
(幼儿园)
金币: 506.1
帖子: 27
在线: 19.9小时
虫号: 2240499
★
小木虫: 金币+0.5, 给个红包,谢谢回帖
还没有做过诶,不过近期要做,有操作步骤可以给我发一下么
赞
一下
回复此楼
6楼
2013-12-27 16:47:23
已阅
回复此楼
关注TA
给TA发消息
送TA红花
TA的回帖
简单回复
k-li
2楼
2011-03-26 20:02
回复
相关版块跳转
新药研发
药学
药品生产
分子生物
微生物
动植物
生物科学
医学
我要订阅楼主
yourroy
的主题更新
6
1/1
返回列表
如果回帖内容含有宣传信息,请如实选中。否则帐号将被全论坛禁言
普通表情
龙
兔
虎
猫
高级回复
(可上传附件)
百度网盘
|
360云盘
|
千易网盘
|
华为网盘
在新窗口页面中打开自己喜欢的网盘网站,将文件上传后,然后将下载链接复制到帖子内容中就可以了。
信息提示
关闭
请填处理意见
关闭
确定