±±¾©Ê¯ÓÍ»¯¹¤Ñ§Ôº2026ÄêÑо¿ÉúÕÐÉú½ÓÊÕµ÷¼Á¹«¸æ
²é¿´: 490  |  »Ø¸´: 0

lmyphy

гæ (³õÈëÎÄ̳)

[ÇóÖú] ÇóÖú´óÉñSEM×éÖ¯·ÖÎö

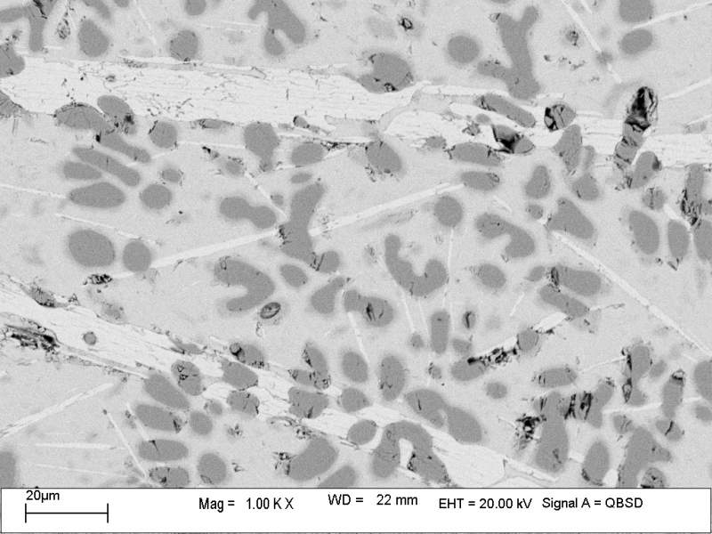
ÏÂÃæÊÇÁ½ÕŹØÓÚCeFeSbÌåϵһ³É·ÖµãµÄÄý¹Ì¹ý³Ì×é֯ͼ£¬Çë½Ì´óÉñÔõô¸ù¾Ý×éÖ¯ÌØÕ÷À´·ÖÎöÄý¹Ì¹ý³Ì£¬±ÈÈçÏÈÎö³öʲô£¬ºóÎö³öʲô£¬·¢Éúʲô·´Ó¦µÈµÈµÄ£¬ÒÔ¼°·ÖÎöÕâÒ»ÀàÎÊÌâÓÐʲô¼¼ÇÉ£¿

ÇóÖú´óÉñSEM×éÖ¯·ÖÎö
CFS20-1.jpg


ÇóÖú´óÉñSEM×éÖ¯·ÖÎö-1
CFS20-4.jpg
»Ø¸´´ËÂ¥
sticktowhatyouwant
ÒÑÔÄ   »Ø¸´´ËÂ¥   ¹Ø×¢TA ¸øTA·¢ÏûÏ¢ ËÍTAºì»¨ TAµÄ»ØÌû

ÖÇÄÜ»úÆ÷ÈË

Robot (super robot)

ÎÒÃǶ¼°®Ð¡Ä¾³æ

ÕÒµ½Ò»Ð©Ïà¹ØµÄ¾«»ªÌû×Ó£¬Ï£ÍûÓÐÓÃŶ~

¿ÆÑдÓСľ³æ¿ªÊ¼£¬ÈËÈËΪÎÒ£¬ÎÒΪÈËÈË
Ïà¹Ø°æ¿éÌø×ª ÎÒÒª¶©ÔÄÂ¥Ö÷ lmyphy µÄÖ÷Ìâ¸üÐÂ
×î¾ßÈËÆøÈÈÌûÍÆ¼ö [²é¿´È«²¿] ×÷Õß »Ø/¿´ ×îºó·¢±í
[¿¼ÑÐ] 305Çóµ÷¼Á +7 RuiFairyrui 2026-03-28 7/350 2026-03-29 00:40 by 544594351
[¿¼ÑÐ] ²ÄÁÏѧ˶333Çóµ÷¼Á +10 ±±µÀÏï 2026-03-24 10/500 2026-03-28 23:06 by Î޼ʵIJÝÔ­
[¿¼ÑÐ] ѧ˶274Çóµ÷¼Á +9 LiÀîÓã 2026-03-26 9/450 2026-03-28 21:42 by bymhappy
[¿¼ÑÐ] 277¹òÇóµ÷¼Á +5 1915668 2026-03-27 9/450 2026-03-28 09:58 by zhshch
[¿¼ÑÐ] 085405 ¿¼µÄ11408Çó¸÷λÀÏʦ´ø×ß +3 Qiuѧing 2026-03-28 3/150 2026-03-28 09:19 by ÀֺǺǵÄ×·ÃÎÈË
[¿¼ÑÐ] ²ÄÁÏÇóµ÷¼Á Ò»Ö¾Ô¸¹þ¹¤´ó×Ü·Ö298·Ö£¬Ç°Èý¿Æ223·Ö +5 dongfang59 2026-03-27 5/250 2026-03-28 04:53 by wxiongid
[¿¼ÑÐ] 086000µ÷¼Á +3 7901117076 2026-03-26 3/150 2026-03-27 21:34 by Jianing_Mi
[¿¼ÑÐ] 0856µ÷¼Á +5 ÇóÇóÈÃÎÒÓÐÊé¶Á° 2026-03-26 6/300 2026-03-27 15:12 by caszguilin
[¿¼ÑÐ] 085601 ²ÄÁϹ¤³Ì 313·Ö Çóµ÷¼Á +5 Ong3 2026-03-27 5/250 2026-03-27 12:24 by goldfish51
[¿¼ÑÐ] µ÷¼ÁÇóÊÕÁô +7 ¹ûÈ»ÓÐÎÒ 2026-03-26 7/350 2026-03-27 00:26 by wxiongid
[¿¼ÑÐ] 336²ÄÁÏÇóµ÷¼Á +7 ³ÂäÞÓ¨ 2026-03-26 9/450 2026-03-27 00:20 by wxiongid
[¿¼ÑÐ] 0703»¯Ñ§Çóµ÷¼Á +3 µ¤ÇàÄÌ¸Ç 2026-03-26 5/250 2026-03-26 20:11 by macy2011
[¿¼ÑÐ] ²ÄÁϵ÷¼Á 5+4 ÏëÒªÒ»ºøÌÒ»¨Ë® 2026-03-25 10/500 2026-03-26 19:56 by ²»³Ôô~µÄ؈
[¿¼ÑÐ] 281Çóµ÷¼Á +3 ÑÇ¿ËÎ÷good 2026-03-26 5/250 2026-03-26 19:48 by ²»³Ôô~µÄ؈
[¿¼ÑÐ] ´ò¹ýºÜ¶à¾ºÈü£¬085406¿ØÖƹ¤³Ì300·Ö£¬Çóµ÷¼Á +3 askeladz 2026-03-26 3/150 2026-03-26 09:08 by ¸øÄãÄã×¢ÒâÐÝÏ¢
[¿¼ÑÐ] Ò»Ö¾Ô¸¹þ¹¤´ó£¬085400£¬320£¬Çóµ÷¼Á +4 gdlf9999 2026-03-24 4/200 2026-03-25 23:01 by boxking200
[¿¼ÑÐ] 303Çóµ÷¼Á +6 À¶É½Ô 2026-03-25 6/300 2026-03-25 22:47 by 418490947
[¿¼ÑÐ] 086003ʳƷ¹¤³ÌÇóµ÷¼Á +6 íµíµ111 2026-03-24 6/300 2026-03-25 10:29 by 3Strings
[¿¼ÑÐ] ²ÄÁÏ¿¼Ñе÷¼ÁÉú +3 »ÆÁ»Ò»ÃÎǧÄê 2026-03-24 3/150 2026-03-24 17:00 by barlinike
[¿¼ÑÐ] 333Çóµ÷¼Á +3 ALULU4408 2026-03-23 3/150 2026-03-23 19:04 by macy2011
ÐÅÏ¢Ìáʾ
ÇëÌî´¦ÀíÒâ¼û