版块导航
正在加载中...
客户端APP下载
登录
注册
帖子
帖子
用户
本版
应《网络安全法》要求,自2017年10月1日起,未进行实名认证将不得使用互联网跟帖服务。为保障您的帐号能够正常使用,请尽快对帐号进行手机号验证,感谢您的理解与支持!
24小时热门版块排行榜
>
论坛更新日志
(3392)
>
虫友互识
(338)
>
文献求助
(304)
>
导师招生
(265)
>
休闲灌水
(232)
>
考博
(131)
>
基金申请
(100)
>
硕博家园
(97)
>
招聘信息布告栏
(87)
>
博后之家
(56)
>
仿真模拟
(53)
>
论文投稿
(50)
>
绿色求助(高悬赏)
(31)
>
考研
(28)
>
论文道贺祈福
(27)
>
SciFinder/Reaxys
(23)
小木虫论坛-学术科研互动平台
»
材料区
»
材料工程
»
其他
»
SEM图片下角参数是什么意思
21
1/3
返回列表
1
2
3
下一页
查看: 5247 | 回复: 20
只看楼主
@他人
存档
新回复提醒
(忽略)
收藏
在APP中查看
华仔的虫
铜虫
(初入文坛)
应助: 1
(幼儿园)
金币: 137
帖子: 17
在线: 5.3小时
虫号: 3430113
注册: 2014-09-20
性别: GG
专业: 零件成形制造
[
求助
]
SEM图片下角参数是什么意思
已有8人参与
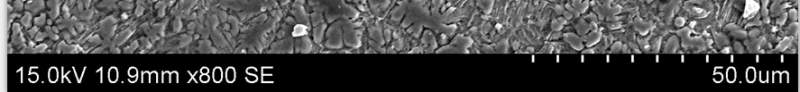
如图,图片底部黑色部分一行字代表什么意思
RLU@~0A6UHXJB(5V0OX~%E4.jpg
回复此楼
» 猜你喜欢
282,电气工程专业,求调剂,不挑专业
已经有9人回复
优质试剂瓶品牌推荐:可替代Nalgene试剂瓶的优选之选
已经有0人回复
电气科学与工程论文润色/翻译怎么收费?
已经有167人回复
量子纠错解码,比传统 MWPM 快 200 倍,d5-d13全稳
已经有0人回复
速度碾压: 量子解码速度远超传统 MWPM 方法,提升可达 数百至千倍
已经有0人回复
AI赋能绿色科研|高校实验室平台暖通空调AI节能改造服务商
已经有0人回复
合肥工业大学邵冰冰课题组2026年电气工程方向博士研究生(学术博士、工程博士)招生
已经有1人回复
合肥工业大学邵冰冰课题组2026年电气工程方向博士研究生(学术博士、工程博士)招生
已经有1人回复
【全奖博士招生】英国埃克塞特大学 | 构网型风力发电机对电力系统稳定性与韧性的研究
已经有3人回复
5.8截止,211高校邵冰冰课题组2026年电气工程方向博士研究生(学术、工程博士)招生
已经有1人回复
选购中药超细粉碎机设备必看:优质制造商实力与优势解读
已经有0人回复
» 本主题相关价值贴推荐,对您同样有帮助:
SEM使用前应检查哪些参数
已经有7人回复
帮我看一下SEM图下的各个参数代表什么意思呢?求高手指点
已经有5人回复
如何给SEM图添加标尺?
已经有25人回复
请问:要测SEM了,之前要查什么参数呢?
已经有5人回复
sem图片的处理
已经有5人回复
SEM图谱差异 不知道怎么解释 求帮忙
已经有26人回复
【求助】不同的sem电镜,相同倍数下的图片大小、标尺,完全不一致...
已经有9人回复
求助SEM图片用Photoshop处理成投稿图片的详细步骤,谢谢!
已经有18人回复
SEM图中左下角数据解释
已经有4人回复
SEM图片上的标注解释
已经有4人回复
怎么在SEM和TEM图片左上角加图标
已经有10人回复
投稿两天后发现SEM图片顺序传错了……
已经有17人回复
Fe3Al基材料的SEM图片是什么结构
已经有10人回复
如何在SEM图片,根据SEM自带的标注,来确定图片材料的长度或宽度?
已经有5人回复
求SEM图片的尺寸标注软件
已经有16人回复
请问这个SEM图片怎么样
已经有48人回复
SEM图片描述求助
已经有14人回复
粉体SEM图片怎么分析?
已经有3人回复
SEM图片平均晶粒尺寸的计算
已经有7人回复
求助可以测量SEM图片中晶粒长度的软件
已经有13人回复
【请教】请问怎么将SEM图片中的标尺等信息去掉啊?
已经有19人回复
【讨论】关于论文SEM图片处理的问题?
已经有19人回复
1楼
2014-10-18 21:38:11
已阅
回复此楼
关注TA
给TA发消息
送TA红花
TA的回帖
回帖支持 ( 显示支持度最高的前 50 名 )
meimeidyh
铁杆木虫
(著名写手)
进城务工人员
应助: 116
(高中生)
金币: 11474.2
散金: 4112
红花: 19
帖子: 2702
在线: 702.4小时
虫号: 133720
注册: 2005-12-14
性别: GG
专业: 金属结构材料
【答案】应助回帖
感谢参与,应助指数 +1
依次为加速电压15千伏、束斑直径10.8mm、放大倍率800、二次电子。
[ 发自小木虫客户端 ]
赞
一下
(4人)
回复此楼
2楼
2014-10-18 22:00:58
已阅
回复此楼
关注TA
给TA发消息
送TA红花
TA的回帖
匿名
用户注销
(小有名气)
应助: 12
(小学生)
金币: 1200.4
散金: 30
红花: 2
帖子: 300
在线: 181.3小时
虫号: 0
注册: 2010-07-31
性别: GG
专业: 矿物学(含矿物物理学)
本帖仅楼主可见
赞
一下
10楼
2014-10-20 19:33:28
已阅
申请GEPI
回复此楼
编辑
查看我的主页
tiger_zhang
铁杆木虫
(著名写手)
应助: 6
(幼儿园)
金币: 7699.4
散金: 30
红花: 3
帖子: 1065
在线: 220.5小时
虫号: 431719
注册: 2007-08-11
性别: GG
专业: 金属材料的制备科学与跨学
引用回帖:
7楼
:
Originally posted by
华仔的虫
at 2014-10-19 14:03:33
我要观察的是激光熔注后,即激光扫描基材形成熔池后,将增强相(图中白色部分)颗粒直接注入到尚未凝固的熔池中所形成的材料复合层中增强相(白色颗粒)的整体分布情况,这样也需要腐蚀吗,之前做过一次扫描,不知 ...
基本上不需要腐蚀了,增强相不能清楚地显示出来才需要腐蚀
赞
一下
(1人)
回复此楼
9楼
2014-10-20 09:54:01
已阅
回复此楼
关注TA
给TA发消息
送TA红花
TA的回帖
cz_sem
新虫
(初入文坛)
应助: 0
(幼儿园)
金币: 13.5
帖子: 5
在线: 2.4小时
虫号: 3488263
注册: 2014-10-21
【答案】应助回帖
电镜主要看形貌,也可看成份相,腐蚀后不仅成份像可看,也可展现其特长。
[ 发自手机版 http://muchong.com/3g ]
赞
一下
(1人)
回复此楼
13楼
2014-10-23 13:43:42
已阅
回复此楼
关注TA
给TA发消息
送TA红花
TA的回帖
houzi2951
金虫
(小有名气)
应助: 1
(幼儿园)
金币: 1035.9
红花: 2
帖子: 271
在线: 88.3小时
虫号: 585650
注册: 2008-08-08
性别:
MM
专业: 无机非金属类光电信息与功
【答案】应助回帖
10.9应该不是斑束尺寸,没这么大的,都到毫米量级了.是焦点到样品的距离吧
赞
一下
(1人)
回复此楼
14楼
2014-10-23 14:36:58
已阅
回复此楼
关注TA
给TA发消息
送TA红花
TA的回帖
LL0608
金虫
(正式写手)
应助: 32
(小学生)
金币: 2782
散金: 21
红花: 18
帖子: 428
在线: 315.5小时
虫号: 3002862
注册: 2014-02-28
专业: 金属材料的微观结构
【答案】应助回帖
引用回帖:
7楼
:
Originally posted by
华仔的虫
at 2014-10-19 14:03:33
我要观察的是激光熔注后,即激光扫描基材形成熔池后,将增强相(图中白色部分)颗粒直接注入到尚未凝固的熔池中所形成的材料复合层中增强相(白色颗粒)的整体分布情况,这样也需要腐蚀吗,之前做过一次扫描,不知 ...
哈工大有个博士叫刘德健,现在在华科副教授,主攻方向就是做钛合金激光熔注颗粒增强的,强烈推荐你看看他的博士毕业论文和其他相关文献。看你之前的图,可能是颗粒没注进去,或者大部分反应掉了。
赞
一下
(1人)
回复此楼
16楼
2014-10-27 20:18:01
已阅
回复此楼
关注TA
给TA发消息
送TA红花
TA的回帖
gll10080133
金虫
(初入文坛)
应助: 0
(幼儿园)
金币: 597
散金: 20
帖子: 7
在线: 3.2小时
虫号: 3130237
注册: 2014-04-12
专业: 基础物理学
【答案】应助回帖
第一个是电压15千伏,第二个是样品距光束的距离,第三个是放大倍率。
赞
一下
(1人)
回复此楼
好好生活
18楼
2014-10-28 09:39:13
已阅
回复此楼
关注TA
给TA发消息
送TA红花
TA的回帖
普通回帖
华仔的虫
铜虫
(初入文坛)
应助: 1
(幼儿园)
金币: 137
帖子: 17
在线: 5.3小时
虫号: 3430113
注册: 2014-09-20
性别: GG
专业: 零件成形制造
引用回帖:
2楼
:
Originally posted by
meimeidyh
at 2014-10-18 22:00:58
依次为加速电压15千伏、束斑直径10.8mm、放大倍率800、二次电子。
右下角50微米是它上方一段还是那10段总长度呢
[ 发自小木虫客户端 ]
赞
一下
回复此楼
3楼
2014-10-18 22:42:14
已阅
回复此楼
关注TA
给TA发消息
送TA红花
TA的回帖
meimeidyh
铁杆木虫
(著名写手)
进城务工人员
应助: 116
(高中生)
金币: 11474.2
散金: 4112
红花: 19
帖子: 2702
在线: 702.4小时
虫号: 133720
注册: 2005-12-14
性别: GG
专业: 金属结构材料
引用回帖:
3楼
:
Originally posted by
华仔的虫
at 2014-10-18 22:42:14
右下角50微米是它上方一段还是那10段总长度呢
...
10段总长。
[ 发自小木虫客户端 ]
回复此楼
» 本帖已获得的红花(最新10朵)
华仔的虫
4楼
2014-10-18 23:34:07
已阅
回复此楼
关注TA
给TA发消息
送TA红花
TA的回帖
华仔的虫
铜虫
(初入文坛)
应助: 1
(幼儿园)
金币: 137
帖子: 17
在线: 5.3小时
虫号: 3430113
注册: 2014-09-20
性别: GG
专业: 零件成形制造
送红花一朵
引用回帖:
4楼
:
Originally posted by
meimeidyh
at 2014-10-18 23:34:07
10段总长。
...
SEM只是看增强相分布,不看组织需要腐蚀吗
[ 发自小木虫客户端 ]
赞
一下
回复此楼
5楼
2014-10-19 08:07:54
已阅
回复此楼
关注TA
给TA发消息
送TA红花
TA的回帖
meimeidyh
铁杆木虫
(著名写手)
进城务工人员
应助: 116
(高中生)
金币: 11474.2
散金: 4112
红花: 19
帖子: 2702
在线: 702.4小时
虫号: 133720
注册: 2005-12-14
性别: GG
专业: 金属结构材料
【答案】应助回帖
引用回帖:
5楼
:
Originally posted by
华仔的虫
at 2014-10-19 08:07:54
SEM只是看增强相分布,不看组织需要腐蚀吗
...
肯定要腐蚀的。增强相也是组织的一部分,不腐蚀,显现不出来。
[ 发自小木虫客户端 ]
赞
一下
回复此楼
6楼
2014-10-19 12:09:08
已阅
回复此楼
关注TA
给TA发消息
送TA红花
TA的回帖
华仔的虫
铜虫
(初入文坛)
应助: 1
(幼儿园)
金币: 137
帖子: 17
在线: 5.3小时
虫号: 3430113
注册: 2014-09-20
性别: GG
专业: 零件成形制造
引用回帖:
6楼
:
Originally posted by
meimeidyh
at 2014-10-19 12:09:08
肯定要腐蚀的。增强相也是组织的一部分,不腐蚀,显现不出来。
...
我要观察的是激光熔注后,即激光扫描基材形成熔池后,将增强相(图中白色部分)颗粒直接注入到尚未凝固的熔池中所形成的材料复合层中增强相(白色颗粒)的整体分布情况,这样也需要腐蚀吗,之前做过一次扫描,不知道是不是腐蚀方法不对,没有获得如下图中的效果,现在就想请问一下,想要获得如下图的图片需要腐蚀吗
`_QGAK@MG)JRU7HJNQ(0GCO.jpg
赞
一下
回复此楼
7楼
2014-10-19 14:03:33
已阅
回复此楼
关注TA
给TA发消息
送TA红花
TA的回帖
tiger_zhang
铁杆木虫
(著名写手)
应助: 6
(幼儿园)
金币: 7699.4
散金: 30
红花: 3
帖子: 1065
在线: 220.5小时
虫号: 431719
注册: 2007-08-11
性别: GG
专业: 金属材料的制备科学与跨学
【答案】应助回帖
感谢参与,应助指数 +1
引用回帖:
3楼
:
Originally posted by
华仔的虫
at 2014-10-18 22:42:14
右下角50微米是它上方一段还是那10段总长度呢
...
右下角50微米是它上方那10段总长度
赞
一下
回复此楼
8楼
2014-10-20 09:51:43
已阅
回复此楼
关注TA
给TA发消息
送TA红花
TA的回帖
相关版块跳转
材料综合
材料工程
微米和纳米
晶体
金属
无机非金属
生物材料
功能材料
复合材料
我要订阅楼主
华仔的虫
的主题更新
21
1/3
返回列表
1
2
3
下一页
如果回帖内容含有宣传信息,请如实选中。否则帐号将被全论坛禁言
普通表情
龙
兔
虎
猫
百度网盘
|
360云盘
|
千易网盘
|
华为网盘
在新窗口页面中打开自己喜欢的网盘网站,将文件上传后,然后将下载链接复制到帖子内容中就可以了。
信息提示
关闭
请填处理意见
关闭
确定