| 查看: 2724 | 回复: 1 | |
[求助]
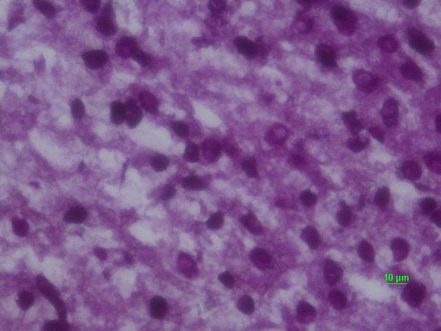
各位植物专家能帮我看看蚕豆根尖的电镜图片中哪个是细胞、哪个是细胞核?
|
|
![]() |
|
|
|
|
|
2楼2014-08-06 09:43:46
|
|













回复此楼