| ²é¿´: 4123 | »Ø¸´: 14 | |||
| ±¾Ìû²úÉú 1 ¸ö BM-EPI £¬µã»÷ÕâÀï½øÐв鿴 | |||
Hillary@¾²Ð³æ (ÕýʽдÊÖ)
|
[½»Á÷]
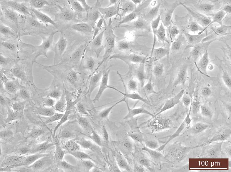
ÎÒÕâ¸öMC3t3µÄ״̬ÊÇÕý³£µÄÂ𣿠ÒÑÓÐ8È˲ÎÓë
|
||
» ±¾Ö÷ÌâÏà¹Ø¼ÛÖµÌùÍÆ¼ö£¬¶ÔÄúͬÑùÓаïÖú:
MC3T3ϸ°û³É¹Ç·Ö»¯Ê±µØÈûÃ×ËɵÄÓÃÁ¿£¿
ÒѾÓÐ17È˻ظ´
ÔÚ³Á»ýÁËMg(OH)2µÄÅàÑø°å±íÃæÑøMC3T3-E1£¨osteoblast-like£©£¬ÎªÊ²Ã´»á±äÐΣ¿
ÒѾÓÐ5È˻ظ´

liubin
ר¼Ò¹ËÎÊ (ÖøÃûдÊÖ)
-

ר¼Ò¾Ñé: +125 - BM-EPI: 4
- Ó¦Öú: 148 (¸ßÖÐÉú)
- ¹ó±ö: 0.062
- ½ð±Ò: 7534.5
- É¢½ð: 6453
- ºì»¨: 31
- ɳ·¢: 1
- Ìû×Ó: 2460
- ÔÚÏß: 1180.7Сʱ
- ³æºÅ: 165666
- ×¢²á: 2006-01-13
- ÐÔ±ð: GG
- רҵ: Ò½ÓÃÉúÎï²ÄÁÏÓëÖ²Èë¿ÆÑ§
- ¹ÜϽ: ÉúÎï²ÄÁÏ
2Â¥2014-04-30 07:53:16
¶ñħ¿ìÅÜ
Òø³æ (³õÈëÎÄ̳)
- Ó¦Öú: 0 (Ó×¶ùÔ°)
- ½ð±Ò: 116.3
- Ìû×Ó: 43
- ÔÚÏß: 51.9Сʱ
- ³æºÅ: 2536008
- ×¢²á: 2013-07-07
- ÐÔ±ð: MM
- רҵ: ʳƷ¿ÆÑ§»ù´¡
¡ï
Сľ³æ: ½ð±Ò+0.5, ¸ø¸öºì°ü£¬Ð»Ð»»ØÌû
ºìÖÛÁ÷ÐÇ: »¶ÓгæÀ´ÉúÎï²ÄÁϰå¿é½»Á÷£¬ÓÐÎÊÌâ¿ÉÒÔ¿ªÐÂÌûѯÎÊ 2014-06-13 00:54:53
Сľ³æ: ½ð±Ò+0.5, ¸ø¸öºì°ü£¬Ð»Ð»»ØÌû
ºìÖÛÁ÷ÐÇ: »¶ÓгæÀ´ÉúÎï²ÄÁϰå¿é½»Á÷£¬ÓÐÎÊÌâ¿ÉÒÔ¿ªÐÂÌûѯÎÊ 2014-06-13 00:54:53
| ÄãºÃ£¬ÎÒ×î½üÒ²ÔÚÑøMC3T3-E1ϸ°û£¬Óöµ½Á˺ÍÄãͬÑùµÄÎÊÌ⣬ÇëÎÊÏÂÄãµÄÎÊÌâºóÀ´Ôõô½â¾öµÄÄØ£¿ |
5Â¥2014-06-12 21:40:27
˹СÇÇ
гæ (³õÈëÎÄ̳)
- Ó¦Öú: 0 (Ó×¶ùÔ°)
- ½ð±Ò: 75.5
- Ìû×Ó: 22
- ÔÚÏß: 5.7Сʱ
- ³æºÅ: 2753194
- ×¢²á: 2013-10-25
- רҵ: ÁÙ´²ÊÞҽѧ
3Â¥2014-06-03 21:50:25
wzb198908
ͳæ (СÓÐÃûÆø)
- Ó¦Öú: 18 (СѧÉú)
- ½ð±Ò: 158.2
- É¢½ð: 188
- ºì»¨: 1
- Ìû×Ó: 178
- ÔÚÏß: 83.8Сʱ
- ³æºÅ: 2491196
- ×¢²á: 2013-06-01
- ÐÔ±ð: GG
- רҵ: ÉúÎïÒ½Óø߷Ö×Ó²ÄÁÏ
4Â¥2014-06-04 13:05:37
Hillary@¾²
гæ (ÕýʽдÊÖ)
- Ó¦Öú: 3 (Ó×¶ùÔ°)
- ½ð±Ò: 1010.4
- É¢½ð: 4
- ºì»¨: 10
- Ìû×Ó: 620
- ÔÚÏß: 114.6Сʱ
- ³æºÅ: 1875888
- ×¢²á: 2012-07-02
- ÐÔ±ð: MM
- רҵ: ÉúÎïÒ½Óø߷Ö×Ó²ÄÁÏ

6Â¥2014-08-04 09:29:02
xibeikongque
½ð³æ (ÕýʽдÊÖ)
- Ó¦Öú: 122 (¸ßÖÐÉú)
- ½ð±Ò: 2112.9
- É¢½ð: 102
- ºì»¨: 10
- Ìû×Ó: 997
- ÔÚÏß: 136.9Сʱ
- ³æºÅ: 1266553
- ×¢²á: 2011-04-15
- ÐÔ±ð: GG
- רҵ: Éú»¯·ÖÎö¼°ÉúÎï´«¸Ð

7Â¥2014-08-05 15:15:19
Hillary@¾²
гæ (ÕýʽдÊÖ)
- Ó¦Öú: 3 (Ó×¶ùÔ°)
- ½ð±Ò: 1010.4
- É¢½ð: 4
- ºì»¨: 10
- Ìû×Ó: 620
- ÔÚÏß: 114.6Сʱ
- ³æºÅ: 1875888
- ×¢²á: 2012-07-02
- ÐÔ±ð: MM
- רҵ: ÉúÎïÒ½Óø߷Ö×Ó²ÄÁÏ

8Â¥2014-08-05 19:40:55
xibeikongque
½ð³æ (ÕýʽдÊÖ)
- Ó¦Öú: 122 (¸ßÖÐÉú)
- ½ð±Ò: 2112.9
- É¢½ð: 102
- ºì»¨: 10
- Ìû×Ó: 997
- ÔÚÏß: 136.9Сʱ
- ³æºÅ: 1266553
- ×¢²á: 2011-04-15
- ÐÔ±ð: GG
- רҵ: Éú»¯·ÖÎö¼°ÉúÎï´«¸Ð

9Â¥2014-08-05 22:31:49
chzlltyy
ľ³æ (³õÈëÎÄ̳)
- Ó¦Öú: 0 (Ó×¶ùÔ°)
- ½ð±Ò: 1547
- Ìû×Ó: 49
- ÔÚÏß: 31.6Сʱ
- ³æºÅ: 2944605
- ×¢²á: 2014-01-23
- ÐÔ±ð: MM
- רҵ: ºÏ³ÉÒ©Îﻯѧ

10Â¥2014-08-22 14:54:02















»Ø¸´´ËÂ¥
liubin