| ²é¿´: 3996 | »Ø¸´: 3 | ||
kerlyttÒø³æ (ÕýʽдÊÖ)
|
[ÇóÖú]
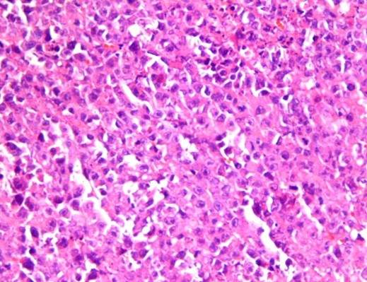
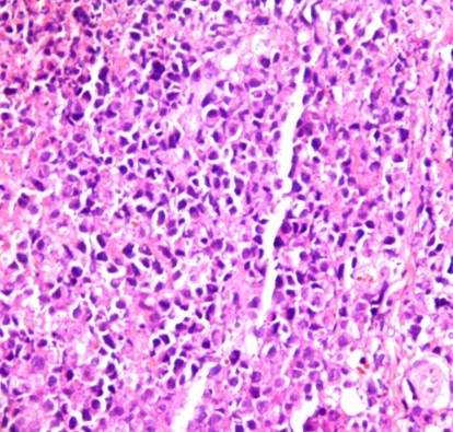
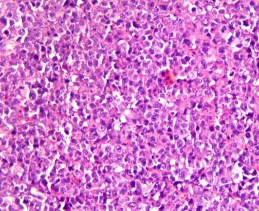
ÇóÖúH&EȾɫºó£¬ »µËÀ¡¢µòÍöϸ°ûµÄÐÎ̬ѧ±ä»¯ ÒÑÓÐ1È˲ÎÓë
|
|
|
|
||
|
||
|
2Â¥2014-02-12 22:08:54
|
|
|
dongxie1982ͳæ (ÕýʽдÊÖ)
|
¡¾´ð°¸¡¿Ó¦Öú»ØÌû
¡ï ¡ï ¡ï ¡ï ¡ï ¡ï ¡ï ¡ï ¡ï ¡ï ¡ï ¡ï
kerlytt: ½ð±Ò+10, ¡ï¡ï¡ïºÜÓаïÖú 2014-02-14 19:38:22 137167741: ½ð±Ò+2, ¹ÄÀø½»Á÷~~ 2014-02-15 10:16:10
|
|
|
3Â¥2014-02-14 16:55:27
|
|
|
kerlyttÒø³æ (ÕýʽдÊÖ)
|
||
|
4Â¥2014-02-14 19:38:38
|
|














»Ø¸´´ËÂ¥