| 查看: 2215 | 回复: 10 | |||
沐浴雨天金虫 (正式写手)
|
[求助]
TA15 晶界腐蚀 已有3人参与
|
||
|
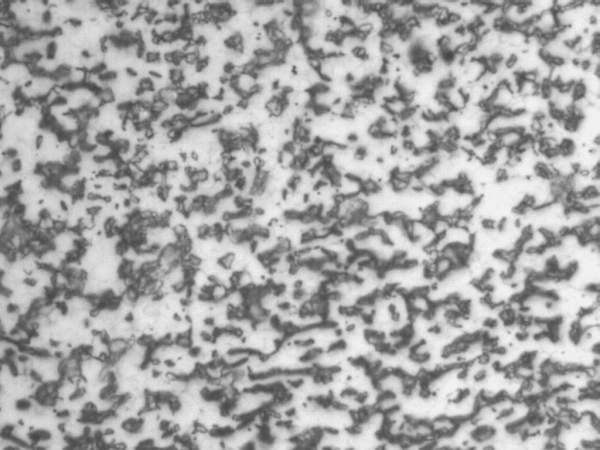
做了一段时间TA15的金相腐蚀了,但一直做不出来晶界,请教各位有什么好的腐蚀方法,或者确定腐蚀溶液比例的方法,HF:HNO3:H2O,的比例不知如何调整,我只知道HF主要起腐蚀作用,不知道要腐蚀晶界的话,需要HF多点好,还是应该少点,多腐蚀一点时间。 我用了很多比例,都不能腐蚀出晶界来,附图是我腐蚀出来的。 900-0.1-1000-3.jpg |
» 猜你喜欢
一志愿北交大材料工程总分358求调剂
已经有9人回复
286求调剂
已经有11人回复
求调剂!生物与医药专硕
已经有6人回复
362求调剂一志愿中国石油大学
已经有4人回复
085600,321分求调剂
已经有14人回复
材料调剂
已经有4人回复
一志愿生物与医药,296分,求调剂
已经有11人回复
346分的生物与医药08600求调剂
已经有7人回复
071000生物学调剂
已经有6人回复
一志愿郑州大学材料与化工085600,求调剂
已经有25人回复
» 本主题相关价值贴推荐,对您同样有帮助:
镁铜合金选用什么腐蚀剂
已经有12人回复
局部晶界取向差????????????????????
已经有7人回复
2Cr13腐蚀不出晶界——求助!!!
已经有8人回复
马氏体不锈钢存在晶界腐蚀吗?
已经有10人回复
求助~690合金晶界比例计算
已经有4人回复
分析纯铝板退火晶界腐蚀图
已经有43人回复
请教高锰钢腐蚀的问题
已经有8人回复
不锈钢腐蚀变黑后怎么办?
已经有4人回复
3003铝合金腐蚀
已经有22人回复
IF钢用什么金相腐蚀液腐蚀
已经有13人回复
晶界扩散与晶界迁移的具体区别、机理
已经有11人回复
想要在SEM下观察元素是否在晶界处有聚集,试样需要腐蚀吗?另腐蚀出微裂纹?
已经有14人回复
【交流】关于6005铝合金的腐蚀效果
已经有6人回复
【求助】腐蚀晶界的腐蚀液???
已经有15人回复
【交流】中碳钢晶界腐蚀的问题请教
已经有7人回复
【求助】铝合金抛光腐蚀后晶相中有黑点
已经有18人回复
【求助】孪晶对腐蚀的影响?
已经有5人回复
【请教】低碳高合金钢晶界腐蚀方法
已经有10人回复
【请教】AZ91铸态合金用什么腐蚀液能腐蚀出晶界?
已经有10人回复
7楼2014-03-05 10:58:21
yuchangandy
金虫 (正式写手)
- 应助: 12 (小学生)
- 金币: 3539.1
- 散金: 51
- 红花: 3
- 帖子: 333
- 在线: 615.8小时
- 虫号: 1162965
- 注册: 2010-12-05
- 专业: 金属基复合材料
2楼2013-09-13 11:47:15
沐浴雨天
金虫 (正式写手)
- 应助: 10 (幼儿园)
- 金币: 1992.5
- 红花: 1
- 帖子: 314
- 在线: 151.2小时
- 虫号: 1485078
- 注册: 2011-11-10
- 性别: GG
- 专业: 机械测试理论与技术
3楼2013-09-14 00:53:11
车永平1988
金虫 (小有名气)
- 应助: 5 (幼儿园)
- 金币: 1774.7
- 散金: 1500
- 红花: 11
- 帖子: 250
- 在线: 88.3小时
- 虫号: 2044405
- 注册: 2012-10-05
- 性别: GG
- 专业: 金属材料

4楼2013-12-21 21:12:31
车永平1988
金虫 (小有名气)
- 应助: 5 (幼儿园)
- 金币: 1774.7
- 散金: 1500
- 红花: 11
- 帖子: 250
- 在线: 88.3小时
- 虫号: 2044405
- 注册: 2012-10-05
- 性别: GG
- 专业: 金属材料

5楼2013-12-21 21:19:04
zbhwel
专家顾问 (知名作家)
-

专家经验: +782 - MM-EPI: 7
- 应助: 1730 (讲师)
- 贵宾: 0.259
- 金币: 23020.1
- 散金: 1738
- 红花: 272
- 沙发: 22
- 帖子: 5201
- 在线: 1050.9小时
- 虫号: 2249580
- 注册: 2013-01-19
- 性别: GG
- 专业: 金属结构材料
- 管辖: 材料工程

6楼2014-01-14 16:37:03
cdustb
金虫 (小有名气)
- 应助: 9 (幼儿园)
- 金币: 1067.7
- 红花: 1
- 帖子: 143
- 在线: 23小时
- 虫号: 2997249
- 注册: 2014-02-26
- 专业: 认知科学及智能信息处理

8楼2014-03-05 12:52:42
cdustb
金虫 (小有名气)
- 应助: 9 (幼儿园)
- 金币: 1067.7
- 红花: 1
- 帖子: 143
- 在线: 23小时
- 虫号: 2997249
- 注册: 2014-02-26
- 专业: 认知科学及智能信息处理

9楼2014-03-05 12:53:16
|
10楼2014-03-06 07:39:42














回复此楼
谢谢,这个比例已经用过了,还是不行