| 查看: 2540 | 回复: 7 | ||
| 本帖产生 1 个 BioEPI ,点击这里进行查看 | ||
[求助]
求教昆虫细胞培养问题
|
||
昆虫表达体系 |
» 猜你喜欢
三甲基碘化亚砜的氧化反应
已经有4人回复
请问下大家为什么这个铃木偶联几乎不反应呢
已经有5人回复
请问有评职称,把科研教学业绩算分排序的高校吗
已经有5人回复
孩子确诊有中度注意力缺陷
已经有12人回复
2025冷门绝学什么时候出结果
已经有3人回复
天津工业大学郑柳春团队欢迎化学化工、高分子化学或有机合成方向的博士生和硕士生加入
已经有4人回复
康复大学泰山学者周祺惠团队招收博士研究生
已经有6人回复
AI论文写作工具:是科研加速器还是学术作弊器?
已经有3人回复
论文投稿,期刊推荐
已经有4人回复
硕士和导师闹得不愉快
已经有13人回复
» 本主题相关价值贴推荐,对您同样有帮助:
导师这样回复有没有其他意思
已经有14人回复
Sf-9昆虫细胞培养
已经有16人回复
真心求教 抑菌物质作用于细胞壁和细胞膜的机理
已经有10人回复
JAK2蛋白为什么要用昆虫细胞来表达?为什么不用原核系统来表达呢?
已经有4人回复
《昆虫细胞培养手册》_英文版_Invitrogen公司资料
已经有72人回复
做昆虫细胞的大侠们帮忙研究研究
已经有9人回复
求购sf9昆虫细胞
已经有5人回复
【求助汇总】农林版最新求助帖、极具参考价值已完结求助帖索引[持续更新中]
已经有4人回复
求教真菌细胞破壁问题
已经有3人回复
【求助/交流】药物致组织细胞凋亡的caspase活性检测需要多大的组织?(昆虫、动物)
已经有9人回复
【求助/交流】关于昆虫细胞Sf9的一些问题!大虾请进!
已经有17人回复
【求助】求教肝细胞原代培养!
已经有15人回复
【答案】应助回帖
★ ★ ★ ★ ★ ★ ★ ★ ★
感谢参与,应助指数 +1
wizardfan: 金币+5, BioEPI+1, 谢谢分析,以后常来 2013-04-24 06:55:06
三书生: 金币+4, ★★★★★最佳答案, 基本解答了我的疑问,谢谢! 2013-04-25 09:54:15
感谢参与,应助指数 +1
wizardfan: 金币+5, BioEPI+1, 谢谢分析,以后常来 2013-04-24 06:55:06
三书生: 金币+4, ★★★★★最佳答案, 基本解答了我的疑问,谢谢! 2013-04-25 09:54:15
|
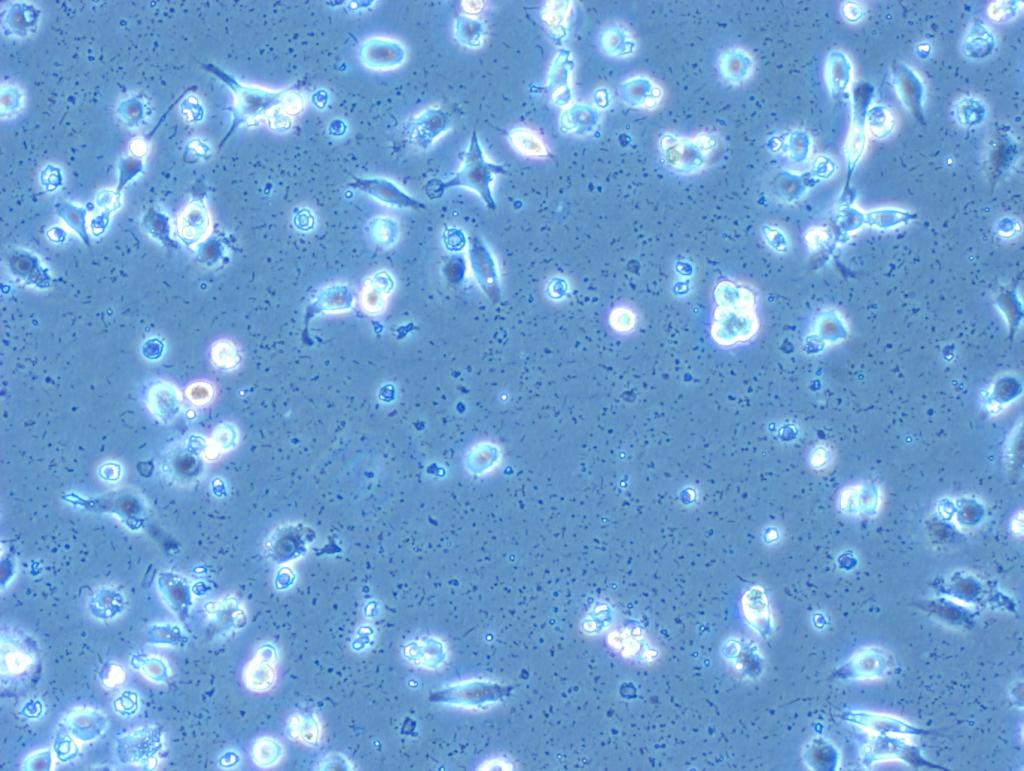
1、亮亮的圆形应该是没有贴壁的细胞,可能暂时没贴壁,也可能是已经死亡; 2、黑色的小点,如果是游来游去的,应该是细菌污染,如果是原地打转,可能是黑胶虫。 如果你试过在干净的培养瓶中,没有细胞,只有培养基或者血清,像养细胞一样在37℃培养箱中过夜后,不会出现黑色小点的话,应该是您买的细胞本身是污染的 |
3楼2013-04-23 13:18:31
感谢参与,应助指数 +1
wizardfan: 应助指数-1, 屏蔽内容, 有广告嫌疑,请详细说明为什么判断细胞有问题 2013-04-24 06:50:51
wizardfan: 应助指数-1, 屏蔽内容, 有广告嫌疑,请详细说明为什么判断细胞有问题 2013-04-24 06:50:51
|
本帖内容被屏蔽 |
2楼2013-04-23 10:58:49
小雨莎莎
木虫 (正式写手)
- BioEPI: 1
- 应助: 2 (幼儿园)
- 金币: 3657.2
- 散金: 6
- 红花: 6
- 帖子: 994
- 在线: 381.2小时
- 虫号: 1281496
- 注册: 2011-04-29
- 性别: MM
- 专业: 细胞增殖、生长与分化
【答案】应助回帖
★ ★ ★ ★
感谢参与,应助指数 +1
wizardfan: 金币+3, 谢谢分享经验 2013-04-24 06:55:25
三书生: 金币+1, ★★★很有帮助, 分析的很好,谢谢!以后常交流! 2013-04-25 09:55:19
感谢参与,应助指数 +1
wizardfan: 金币+3, 谢谢分享经验 2013-04-24 06:55:25
三书生: 金币+1, ★★★很有帮助, 分析的很好,谢谢!以后常交流! 2013-04-25 09:55:19
| 我们也养sf-9,不知道你们传代是怎么做的,我们是用细胞刮刀的,所以每一次传代的话刮一次就损伤一次,因此第二天会看到皿底部会有很多黑色的碎片,我看着跟你的图片的小黑点有点像,这个细胞贴壁比较慢,因此我们一般都是传代之后至少等两天才会换液的。另外就是这个细胞很容易污染,所以我们一般都用双倍的双抗加入培养基中。我们的培养基是自己溶解过滤的TC-100培养基 |
4楼2013-04-23 19:20:50
5楼2013-06-05 14:35:52
6楼2013-06-07 15:03:15
7楼2015-09-29 21:45:26
8楼2017-04-03 09:54:25














回复此楼