版块导航
正在加载中...
客户端APP下载
论文辅导
申博辅导
登录
注册
帖子
帖子
用户
本版
应《网络安全法》要求,自2017年10月1日起,未进行实名认证将不得使用互联网跟帖服务。为保障您的帐号能够正常使用,请尽快对帐号进行手机号验证,感谢您的理解与支持!
24小时热门版块排行榜
>
论坛更新日志
(2310)
>
虫友互识
(212)
>
论文投稿
(58)
>
导师招生
(47)
>
博后之家
(42)
>
硕博家园
(37)
>
考博
(30)
>
教师之家
(26)
>
休闲灌水
(25)
>
文献求助
(20)
>
基金申请
(16)
>
公派出国
(13)
>
招聘信息布告栏
(12)
>
论文道贺祈福
(11)
>
考研
(9)
>
外文书籍求助
(7)
小木虫论坛-学术科研互动平台
»
生物医药区
»
生物科学
»
MCF-7细胞怎么是这个样子呢?
9
1/1
返回列表
查看: 4529 | 回复: 8
只看楼主
@他人
存档
新回复提醒
(忽略)
收藏
在APP中查看
edisxiaomc
铜虫
(小有名气)
应助: 1
(幼儿园)
金币: 53.8
帖子: 202
在线: 79.8小时
虫号: 1417115
[交流]
MCF-7细胞怎么是这个样子呢?
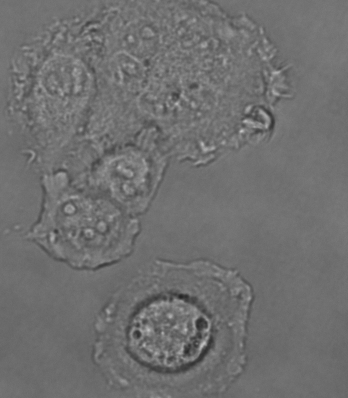
大家好,最近在养MCF-7细胞,刚拍完照片,发现细胞状态好像不对!
求鉴定?细胞是不是死了啊?
20倍
10倍
3.png
5.png
40倍
回复此楼
» 本帖已获得的红花(最新10朵)
泪在天涯
» 猜你喜欢
三无产品还有机会吗
已经有4人回复
投稿返修后收到这样的回复,还有希望吗
已经有7人回复
压汞仪和BET测气凝胶孔隙率
已经有4人回复
博士申请都是内定的吗?
已经有14人回复
谈谈两天一夜的“延安行”
已经有13人回复
氨基封端PDMS和HDI反应快速固化
已经有11人回复
之前让一硕士生水了7个发明专利,现在这7个获批发明专利的维护费可从哪儿支出哈?
已经有11人回复
论文投稿求助
已经有4人回复
Applied Surface Science 这个期刊。有哪位虫友投过的能把word模板发给我参考一下嘛
已经有3人回复
投稿精细化工
已经有6人回复
高级回复
» 本主题相关价值贴推荐,对您同样有帮助:
SKOV-3细胞怎么读?是像MCF一样按字母读还是像Caco-2一样可以连读?
已经有3人回复
有养过乳腺癌的MCF-7和MDA-MB-231请进,帮我看看细胞形态
已经有13人回复
RAW264.7细胞长得很慢吗?
已经有12人回复
细胞胞浆内细胞核周围有黑点是什么情况呢?
已经有18人回复
关于MCF-7细胞培养的问题
已经有12人回复
MCF-10A细胞消化问题请教,谢谢!
已经有10人回复
【求助/交流】细胞传代培养——怎么判段何时应该传代培养?
已经有13人回复
【求助/交流】细胞传代时怎么都吹不下来啊!
已经有23人回复
【求助/交流】细胞怎么老被污染的样子啊
已经有16人回复
【求助/交流】新买的感受态细胞怎么活化呢
已经有9人回复
【求助/交流】死细胞怎么除去
已经有20人回复
【求助】关于RAW 264.7细胞培养的问题 求助!!
已经有25人回复
求助,关于MCF-7细胞
已经有16人回复
» 抢金币啦!回帖就可以得到:
查看全部散金贴
【CSC招生】荷兰莱顿大学医学中心LKEB图像处理实验室 招收2026年CSC博士生多名
+
1
/83
中国矿业大学黄赳课题组联合中国科学院南京土壤研究所朱晓芳研究员诚聘博士后
+
1
/77
香港科技大学 Abhishek Kumar Srivastava 教授课题组 招收博士生
+
1
/77
西南交通大学 电磁功能材料孟凡彬团队(励志青春、与孟同行)方向招聘
+
1
/77
小朋友打零工
+
1
/67
美国乔治亚南方大学(Georgia Southern University)招收环境分析化学全奖博士生
+
2
/46
高端材料科研产品技术顾问-顶尖材料公司诚邀广大科研背景同学加入!
+
1
/43
济南大学招收分析化学背景博士后及2026申请考核制博士
+
1
/30
广东以色列理工学院招聘博士后(壁面湍流的数据同化)
+
1
/25
2026申博自荐 本硕双一流学科 纳米药物递送方向 一篇一区TOP 两个国家奖学金
+
1
/14
SCI文章辅助,无人机、计算机网络通信、算法方向 3纯4自7己0写9非③中1介⑦优0惠
+
1
/8
长春工业大学 机电工程学院 韩玲教授 招收审核制2026年秋季入学博士生
+
1
/7
年底招聘有机合成
+
1
/6
澳门科技大学药学院诚招2026年秋季药剂学/生物材料方向博士研究生
+
1
/6
211本985硕功能陶瓷方向申博自荐
+
1
/4
求一种水性聚氨酯固化剂
+
1
/3
新加坡南洋理工大学招聘博士后(固态电池,固体离子导体,转化正极方向)
+
1
/3
德国马普所招三名CSC博士生 (工资补到德国标准)
+
1
/2
北京科技大学从道永教授团队招聘启事
+
1
/2
SCI文章辅助,无人机、计算机网络通信、算法方向 3纯4自7己0写9非③中1介⑦优0惠
+
1
/1
1楼
2012-08-30 12:43:31
已阅
回复此楼
关注TA
给TA发消息
送TA红花
TA的回帖
回帖置顶 ( 共有2个 )
dongxie1982
铜虫
(正式写手)
BioEPI: 2
应助: 55
(初中生)
金币: 69.9
帖子: 335
在线: 95.9小时
虫号: 1514344
★ ★ ★
edisxiaomc(金币+1): 谢谢参与
wizardfan: 金币+2, 谢谢指点
2012-08-31 05:08:51
lz倒置显微镜的滤光片与物镜没匹配使用,10倍与20倍拍的有差别,MCF-7细胞内细胞器是否有增多?培养液是否变浑浊?细胞生长快还是缓慢?LZ试试用40倍配合PH2的滤光片观察细胞,可以做个支原体检测
赞
一下
回复此楼
4楼
2012-08-30 21:10:05
已阅
回复此楼
关注TA
给TA发消息
送TA红花
TA的回帖
小韩韩
金虫
(小有名气)
应助: 4
(幼儿园)
金币: 1483.9
帖子: 71
在线: 31.2小时
虫号: 1686370
★
edisxiaomc(金币+1): 谢谢参与
细胞要是漂的或半悬浮就是死了。这上面看不出来。从图上看细胞状态不好,正常应该成呈梭形或长条状,细胞排列规整,细胞间隙明显,视野干净,透亮。图中细胞器肿胀,应该活不了太久。
赞
一下
回复此楼
5楼
2012-08-31 09:16:08
已阅
回复此楼
关注TA
给TA发消息
送TA红花
TA的回帖
泪在天涯
木虫
(小有名气)
应助: 2
(幼儿园)
金币: 1789.5
帖子: 171
在线: 113.3小时
虫号: 1052768
★
edisxiaomc(金币+1): 谢谢参与
送鲜花一朵
请问楼主用的什么样子的培养基养的,我准备用DMEM(89%)+血清(10%)+双抗(1%),不知道行不行,化学出身,真不懂...
赞
一下
回复此楼
6楼
2013-03-18 15:02:24
已阅
回复此楼
关注TA
给TA发消息
送TA红花
TA的回帖
亦缘636
新虫
(初入文坛)
应助: 0
(幼儿园)
金币: 2.8
帖子: 2
在线: 42分钟
虫号: 3559175
★
edisxiaomc(金币+1): 谢谢参与
好像是,我的比较圆滑,好看
赞
一下
回复此楼
7楼
2014-11-25 19:54:12
已阅
回复此楼
关注TA
给TA发消息
送TA红花
TA的回帖
弯弯藤
新虫
(正式写手)
应助: 4
(幼儿园)
金币: 1289.9
帖子: 963
在线: 134.6小时
虫号: 2251980
感觉挂了
回复此楼
8楼
2014-11-26 11:55:54
已阅
回复此楼
关注TA
给TA发消息
送TA红花
TA的回帖
木鱼不再流浪
铜虫
(正式写手)
应助: 12
(小学生)
金币: 44
帖子: 554
在线: 648小时
虫号: 2193977
不是梭状的吗?
[ 发自手机版 http://muchong.com/3g ]
回复此楼
9楼
2014-11-26 12:07:51
已阅
回复此楼
关注TA
给TA发消息
送TA红花
TA的回帖
简单回复
yingying1588
2楼
2012-08-30 15:50
回复
edisxiaomc(金币+1): 谢谢参与
edisxiaomc
3楼
2012-08-30 20:31
回复
引用回帖:
2楼
:
Originally posted by
yingying1588
at 2012-08-30 15:50:49
相关版块跳转
新药研发
药学
药品生产
分子生物
微生物
动植物
生物科学
医学
我要订阅楼主
edisxiaomc
的主题更新
9
1/1
返回列表
如果回帖内容含有宣传信息,请如实选中。否则帐号将被全论坛禁言
普通表情
龙
兔
虎
猫
高级回复
(可上传附件)
百度网盘
|
360云盘
|
千易网盘
|
华为网盘
在新窗口页面中打开自己喜欢的网盘网站,将文件上传后,然后将下载链接复制到帖子内容中就可以了。
信息提示
关闭
请填处理意见
关闭
确定