| 查看: 2954 | 回复: 11 | ||||
[求助]
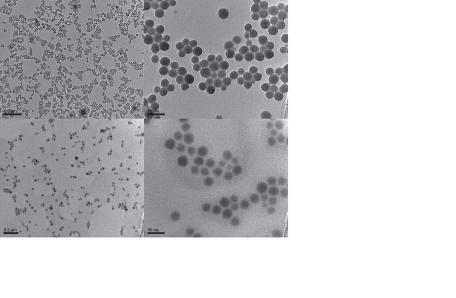
各位大神请赐教:如何拍出这样子的TEM照片? 已有5人参与
|
||||
|
本人的照片上边粒子很少,制样时候已经很浓了,到底怎么一回事? 无标题.jpg 无标题2.jpg@dut_ameng |
» 收录本帖的淘帖专辑推荐
合成-表征 | 物质科学表征 |
» 猜你喜欢
北京航空航天大学26级博士招生-生物医学工程-合成生物学
已经有20人回复
温州大学王娟课题组2026年招生
已经有10人回复
金属材料论文润色/翻译怎么收费?
已经有86人回复
温州大学2026年招生(化学、材料)
已经有10人回复
招生负责_院士团队_学生高自由度成长_擅长学生培养
已经有5人回复
温州大学招收2026年入学博士研究生(化学、材料、环境)
已经有10人回复
非晶合金
已经有2人回复
院士团队-每届学生都优秀-高自由度-团队氛围好
已经有0人回复
求调剂
已经有1人回复
化工学院(学院正式调剂群+联系方式)
已经有0人回复
» 本主题相关价值贴推荐,对您同样有帮助:
求大神们赐教:COMSOL计算后怎么求变形后几何的体积和怎么处理接触问题啊
已经有1人回复
做蛋白质分子动力学模拟就业如何?请各位大神赐教
已经有6人回复
固体物理 黄昆版95页和164页公式推导求助
已经有3人回复
7075铝合金硫酸阳极氧化如何得到有序的微孔结构
已经有14人回复
最近碰到几个药理实验的问题,不太懂,请各位大神赐教,谢谢
已经有3人回复
关于带氨基修饰的量子点如何与多肽相连
已经有3人回复
如何准确测定水样中溶解的氨气的量以及CN-离子的浓度?
已经有1人回复
催化柴油加氢过程氢耗估算问题
已经有3人回复
初稿既定,方向为催化合成,请教如何选定期刊
已经有12人回复
tinker6.3如何使用openmp在服务器上并行?
已经有2人回复
求助:在FLUENT中如何设置氨水这种材料,如何模拟加热氨水时氨气的挥发过程?
已经有0人回复
请各位大神赐教!
已经有3人回复
壳聚糖磁性微球制备中问题
已经有7人回复
排课的算法!如何排出费用最小的任课表? 求各位大神不吝赐教!
已经有3人回复
请教各位大神
已经有10人回复
如何用高斯软件计算分子间作用力?
已经有6人回复
小硕求助:去哪里看生物领域的综述性文章
已经有2人回复
triplebeer
铜虫 (小有名气)
- 应助: 13 (小学生)
- 金币: 603.6
- 红花: 3
- 帖子: 140
- 在线: 194.6小时
- 虫号: 5007419
- 注册: 2016-09-12
- 专业: 配位化学
2楼2016-09-16 20:36:28
迟钝的天才
至尊木虫 (文坛精英)
- 应助: 5 (幼儿园)
- 金币: 26784.5
- 散金: 3845
- 红花: 14
- 沙发: 6
- 帖子: 11430
- 在线: 2100.3小时
- 虫号: 1822162
- 注册: 2012-05-17
- 专业: 集成电路制造与封装

3楼2016-09-16 21:36:11
zhywind200
铜虫 (正式写手)
- 应助: 0 (幼儿园)
- 金币: 420.3
- 红花: 5
- 帖子: 521
- 在线: 81.6小时
- 虫号: 259657
- 注册: 2006-06-17
- 性别: GG
- 专业: 环境化工
5楼2016-09-17 18:44:07
4楼2016-09-17 15:59:47
zhywind200
铜虫 (正式写手)
- 应助: 0 (幼儿园)
- 金币: 420.3
- 红花: 5
- 帖子: 521
- 在线: 81.6小时
- 虫号: 259657
- 注册: 2006-06-17
- 性别: GG
- 专业: 环境化工
我才看懂,你的tem没放上来啊 ,原因很可能是样品分散度太低,导致上清液中分散样品太少。其次样品在分散介质中的稳定性可能不好,所以可以从溶剂着手,我见过一种聚合物符合的材料,在水中的分散还凑合,在乙醇中完全不行。发自小木虫Android客户端 |
6楼2016-09-17 18:47:34
xiaoming555
新虫 (初入文坛)
- 应助: 1 (幼儿园)
- 金币: 283.4
- 散金: 30
- 红花: 1
- 帖子: 37
- 在线: 26.8小时
- 虫号: 3114016
- 注册: 2014-04-04
- 专业: 化工系统工程
7楼2016-09-18 07:30:41
8楼2016-09-18 10:25:24
9楼2016-09-18 10:42:27
10楼2016-09-18 17:36:46













回复此楼
,原因很可能是样品分散度太低,导致上清液中分散样品太少。其次样品在分散介质中的稳定性可能不好,所以可以从溶剂着手,我见过一种聚合物符合的材料,在水中的分散还凑合,在乙醇中完全不行。