| 查看: 1258 | 回复: 5 | |
[求助]
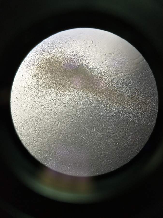
细胞是污染了?还是太满了? 已有1人参与
|
|
|
|
|
|
2楼2016-08-01 20:22:53
|
|
黄亚杰2013木虫 (正式写手)
|
|
|
3楼2016-08-03 10:35:16
|
|
|
4楼2016-08-03 20:32:58
|
|
|
5楼2016-08-03 20:38:02
|
|
|
6楼2016-08-05 17:00:53
|
|













回复此楼