| 查看: 4054 | 回复: 11 | |||
15853830932木虫 (小有名气)
|
[交流]
真菌制备原生质体
|
|
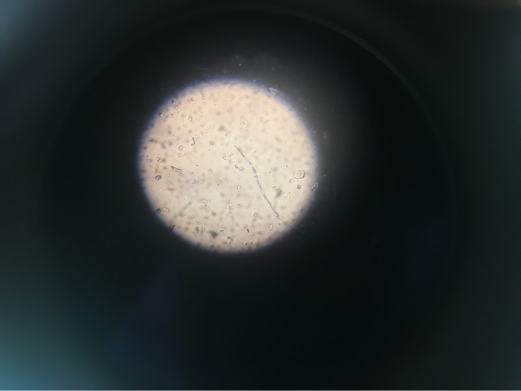
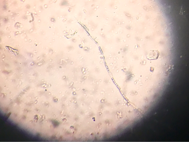
我做产油真菌的原生质体。各位知道用什么酶比较好用吗?我做的酶解菌丝制备原生质体的实验,镜检发现下图情况,菌丝里面的一个个小球是什么呢?是油滴吗?还望大家知道的帮忙解答 发自小木虫IOS客户端 |
» 猜你喜欢
一志愿西安交通大学材料工程专业 282分求调剂
已经有13人回复
北科281学硕材料求调剂
已经有6人回复
328求调剂,英语六级551,有科研经历
已经有10人回复
298求调剂
已经有6人回复
310求调剂
已经有4人回复
311求调剂
已经有6人回复
307求调剂
已经有11人回复
材料与化工085600,总分304,本科有两篇sci参与,求调剂
已经有5人回复
315分,诚求调剂,材料与化工085600
已经有3人回复
求调剂一志愿海大,0703化学学硕304分,有大创项目,四级已过
已经有10人回复
» 本主题相关价值贴推荐,对您同样有帮助:
真菌原生质体的制备
已经有7人回复
真菌原生质体制备
已经有9人回复
原生质体相关的
已经有6人回复
求丝状真菌原生质体的制备和再生的详细操作步骤
已经有0人回复
求助真菌原生质体的具体操作步骤。
已经有0人回复
原生质体
已经有10人回复
丝状真菌原生质体制备
已经有5人回复
原生质体再生污染的问题
已经有1人回复
各种生物的资料 肯定也有你喜欢的
已经有25人回复
原生质体的制备问题
已经有1人回复
能不能用动物细胞代替真菌原生质体,进行膜电流研究
已经有0人回复
中草药生物技术-唐克轩
已经有133人回复
原生质体制备
已经有7人回复
原生质体制备
已经有3人回复
【求助】看内生真菌的原生质体需要多少倍显微镜可见?形态如何。。
已经有4人回复
【求助/交流】有关真菌的原生质体制备
已经有1人回复
【专题】原生质体的制备、融合与再生
已经有3人回复

zct2008
至尊木虫 (著名写手)
- 应助: 8 (幼儿园)
- 金币: 15490.1
- 红花: 6
- 帖子: 1320
- 在线: 350.7小时
- 虫号: 166016
- 注册: 2006-01-13
- 专业: 微生物生理与生物化学

2楼2016-03-15 09:00:11
15853830932
木虫 (小有名气)
- 应助: 1 (幼儿园)
- 金币: 2675.7
- 帖子: 99
- 在线: 24.3小时
- 虫号: 3099223
- 注册: 2014-03-29
- 性别: GG
- 专业: 生物化学

3楼2016-03-15 09:13:22
15853830932
木虫 (小有名气)
- 应助: 1 (幼儿园)
- 金币: 2675.7
- 帖子: 99
- 在线: 24.3小时
- 虫号: 3099223
- 注册: 2014-03-29
- 性别: GG
- 专业: 生物化学

4楼2016-03-15 09:18:37
ning_feng
铜虫 (小有名气)
- 应助: 0 (幼儿园)
- 金币: 1500.3
- 帖子: 87
- 在线: 21.7小时
- 虫号: 4171152
- 注册: 2015-10-24
- 性别: GG
- 专业: 生物信息学
5楼2016-03-15 09:36:01
angellover11
新虫 (小有名气)
- 应助: 0 (幼儿园)
- 金币: 1580.2
- 散金: 25
- 帖子: 77
- 在线: 25.8小时
- 虫号: 2637932
- 注册: 2013-09-05
- 专业: 药物学
6楼2016-12-30 09:12:23
15853830932
木虫 (小有名气)
- 应助: 1 (幼儿园)
- 金币: 2675.7
- 帖子: 99
- 在线: 24.3小时
- 虫号: 3099223
- 注册: 2014-03-29
- 性别: GG
- 专业: 生物化学

7楼2016-12-30 10:27:15
8楼2017-02-25 17:00:19
hgy001
木虫 (正式写手)
- 应助: 16 (小学生)
- 金币: 2446.5
- 散金: 65
- 红花: 4
- 帖子: 528
- 在线: 308.4小时
- 虫号: 2517300
- 注册: 2013-06-22
- 性别: GG
- 专业: 生物信息学

9楼2017-02-25 19:02:45
10楼2017-07-08 22:52:59













回复此楼
10