24小时热门版块排行榜    

Znn3bq.jpeg
查看: 895  |  回复: 0

jh6714

新虫 (初入文坛)

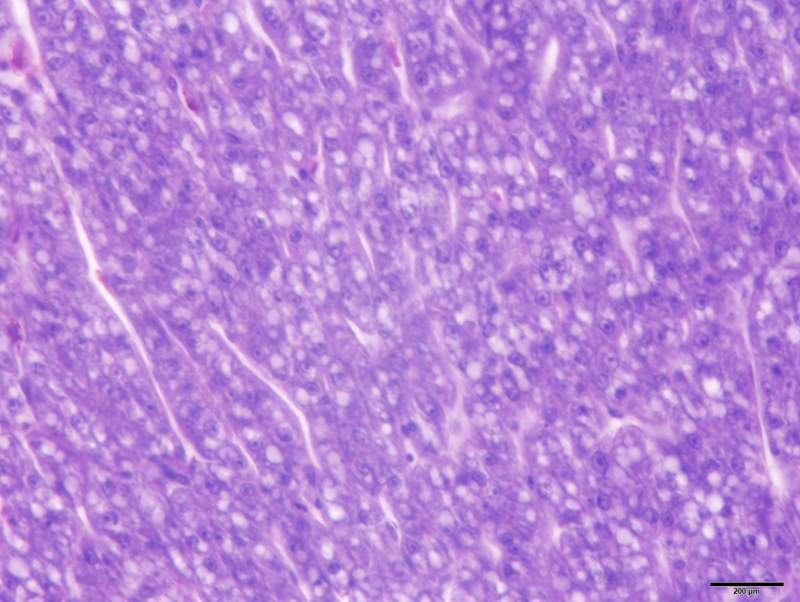
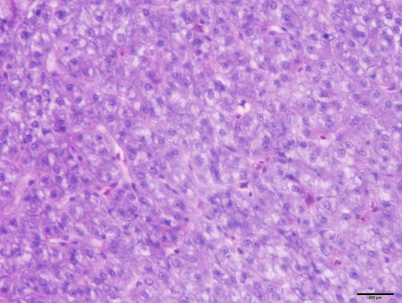
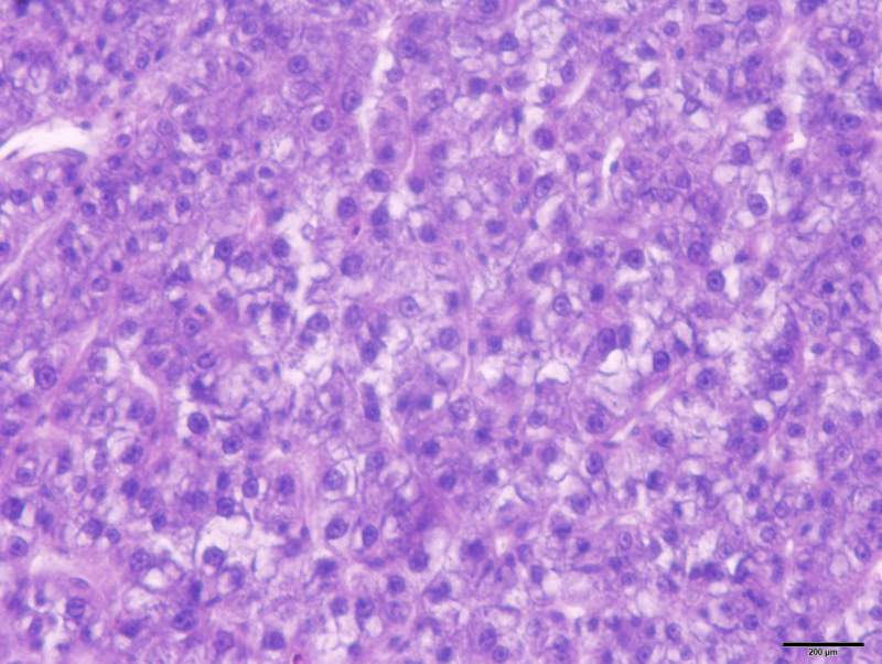
[交流] 鱼肝脏切片HE染色,麻烦大家看看有什么区别,还望赐教

高倍镜下观察的鱼肝脏切片样,本人的专业是水产养殖,看不出片中区别,还请大家帮忙解答

鱼肝脏切片HE染色,麻烦大家看看有什么区别,还望赐教
肝1.jpg


鱼肝脏切片HE染色,麻烦大家看看有什么区别,还望赐教-1
肝2.jpg


鱼肝脏切片HE染色,麻烦大家看看有什么区别,还望赐教-2
肝3.jpg


鱼肝脏切片HE染色,麻烦大家看看有什么区别,还望赐教-3
肝4.jpg
回复此楼
已阅   回复此楼   关注TA 给TA发消息 送TA红花 TA的回帖
相关版块跳转 我要订阅楼主 jh6714 的主题更新
普通表情 高级回复 (可上传附件)
最具人气热帖推荐 [查看全部] 作者 回/看 最后发表
[考研] 0854调剂 +8 长弓傲 2026-04-11 9/450 2026-04-11 21:44 by 蓝云思雨
[考研] 药学专硕调剂 +8 ? 一路生?花? 2026-04-10 10/500 2026-04-11 21:21 by zhouxiaoyu
[教师之家] 请问地理、遥感方面,可以做哪些横向项目啊,纵向完不成考核啊 +3 锦衣卫寒战 2026-04-07 5/250 2026-04-11 20:51 by 豫椒
[考研] 266求调剂,一志愿哈工程电子信息,本科获多项国奖和省奖 +8 lumine1 2026-04-06 8/400 2026-04-11 18:35 by 逆水乘风
[考研] 求调剂 +3 胃痉挛累了 2026-04-11 5/250 2026-04-11 14:13 by luhong1990
[考研] 085500求调剂材料 +10 易11122 2026-04-09 10/500 2026-04-11 10:39 by maddjdld
[考研] 293求调剂 +6 勇远库爱314 2026-04-08 6/300 2026-04-11 10:08 by zhq0425
[考研] 085402通信工程调剂,有4项学科竞赛国奖(电赛国二),硕士研究生调剂自荐信。 +5 m永o不v言o弃m 2026-04-09 5/250 2026-04-11 09:33 by zhq0425
[考研] 一志愿东北大学控制工程085406数二英二385,求调剂 +8 Ezra_Zhang 2026-04-09 8/400 2026-04-11 09:15 by 猪会飞
[考研] 本科211 工科085400 280分求调剂 可跨专业 +11 LZH(等待调剂中 2026-04-10 11/550 2026-04-11 08:39 by zhq0425
[考研] 本科西工大 324求调剂 +4 wysyjs25 2026-04-10 4/200 2026-04-10 20:00 by 来看流星雨10
[考研] 中科院总分315求调剂 +8 lallalh 2026-04-09 8/400 2026-04-10 19:30 by dick_runner
[考研] 一志愿双非085400电子信息344 求调剂,对材料和化学方向也感兴趣 +8 无情的小羊 2026-04-09 9/450 2026-04-10 09:30 by 松花缸1201
[考研] 本科西工大 0856 324求调剂 +10 wysyjs25 2026-04-09 11/550 2026-04-10 08:37 by 5268321
[考研] 一志愿2110,化学学硕310分,本科重点双非求调剂 +18 努力奋斗112 2026-04-08 18/900 2026-04-09 23:28 by wolf97
[考研] 11408 325分 +3 jgtxuxgkx 2026-04-07 3/150 2026-04-07 23:10 by lbsjt
[考研] 材料调剂 +13 汉123456 2026-04-07 14/700 2026-04-07 22:53 by 来看流星雨10
[考研] 考研调剂 +3 Wwwwwww哇 2026-04-06 3/150 2026-04-06 20:55 by lbsjt
[考研] 第一志愿东南大学物理313,有科研竞赛获奖经历,希望物理复试调剂 +3 马内橙 2026-04-05 3/150 2026-04-06 10:32 by 蓝云思雨
[考研] 308求调剂 +3 终不似从前 2026-04-05 3/150 2026-04-05 20:07 by 啵啵啵0119
信息提示
请填处理意见