| 查看: 1032 | 回复: 1 | |
[求助]
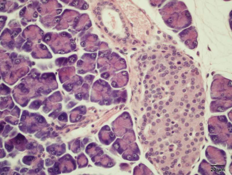
小鼠胰岛特殊染色,醛-品红方法,染出来细胞核为什么是绿色的啊.... 已有1人参与
|
|
|
|
|
hoyeung捐助贵宾 (小有名气)
|
|
|
2楼2015-12-20 23:59:51
|
|













回复此楼
10