±±¾©Ê¯ÓÍ»¯¹¤Ñ§Ôº2026ÄêÑо¿ÉúÕÐÉú½ÓÊÕµ÷¼Á¹«¸æ
²é¿´: 1140  |  »Ø¸´: 5
µ±Ç°Ö»ÏÔʾÂú×ãÖ¸¶¨Ìõ¼þµÄ»ØÌû£¬µã»÷ÕâÀï²é¿´±¾»°ÌâµÄËùÓлØÌû

ºÕ¼¸µº

гæ (³õÈëÎÄ̳)

[ÇóÖú] Helaϸ°ûÅàÑøÎÊÌâ ÒÑÓÐ4È˲ÎÓë

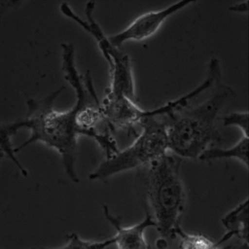
ÅàÑøÒº£¨DMEM£ºFBS=9:1£©ÀïûÓмÓPS£¬ÖÖ°åÔ¼30 hºó¾ÍÊÇÕâÑùÁË£¬ÅàÑøÒºÈâÑÛ¹Û²ìÒ²ÊÇÇåÁÁ͸Ã÷µÄ£¬ÇóΪʲôϸ°û»á³¤µÃÏñÈöÁËÑεĺɰüµ°Ò»Ñù£¿£¿
лл£¡£¡

Helaϸ°ûÅàÑøÎÊÌâ
Hela-3-40X-ph.jpg
»Ø¸´´ËÂ¥

» ²ÂÄãϲ»¶

» ±¾Ö÷ÌâÏà¹Ø¼ÛÖµÌùÍÆ¼ö£¬¶ÔÄúͬÑùÓаïÖú:

ÒÑÔÄ   »Ø¸´´ËÂ¥   ¹Ø×¢TA ¸øTA·¢ÏûÏ¢ ËÍTAºì»¨ TAµÄ»ØÌû

huaijiejia

гæ (³õÈëÎÄ̳)

¡¾´ð°¸¡¿Ó¦Öú»ØÌû

¸Ðл²ÎÓ룬ӦÖúÖ¸Êý +1
¿ÉÄÜÊÇÖ§Ô­ÌåÎÛȾÁË¡£
3Â¥2015-09-14 22:35:29
ÒÑÔÄ   »Ø¸´´ËÂ¥   ¹Ø×¢TA ¸øTA·¢ÏûÏ¢ ËÍTAºì»¨ TAµÄ»ØÌû
²é¿´È«²¿ 6 ¸ö»Ø´ð

niyaowoa1

½û³æ (ÕýʽдÊÖ)

±¾ÌûÄÚÈݱ»ÆÁ±Î

2Â¥2015-09-14 13:34:43
ÒÑÔÄ   »Ø¸´´ËÂ¥   ¹Ø×¢TA ¸øTA·¢ÏûÏ¢ ËÍTAºì»¨ TAµÄ»ØÌû

sonyangg

Í­³æ (³õÈëÎÄ̳)

¡¾´ð°¸¡¿Ó¦Öú»ØÌû

¸Ðл²ÎÓ룬ӦÖúÖ¸Êý +1
Âò¸ökit¼ì²éÒ»ÏÂÊDz»ÊÇÖ§Ô­ÌåÎÛȾ£¬Èç¹û²»ÊÇ£¬ÄǾÍÊÇϸ°ûÀÏ»¯£¬ÈÓÁ˰ɡ¤¡¤¡¤¡¤
4Â¥2015-09-16 15:24:03
ÒÑÔÄ   »Ø¸´´ËÂ¥   ¹Ø×¢TA ¸øTA·¢ÏûÏ¢ ËÍTAºì»¨ TAµÄ»ØÌû

songshangu

гæ (³õÈëÎÄ̳)

¡¾´ð°¸¡¿Ó¦Öú»ØÌû

¸Ðл²ÎÓ룬ӦÖúÖ¸Êý +1
¿´×ÅÀàËÆÖ§Ô­Ìå¸ÐȾ¡£»¹ÊǼì²éһϰɡ£
5Â¥2015-09-17 10:44:41
ÒÑÔÄ   »Ø¸´´ËÂ¥   ¹Ø×¢TA ¸øTA·¢ÏûÏ¢ ËÍTAºì»¨ TAµÄ»ØÌû
×î¾ßÈËÆøÈÈÌûÍÆ¼ö [²é¿´È«²¿] ×÷Õß »Ø/¿´ ×îºó·¢±í
[˶²©¼ÒÔ°] Çóµ÷¼Á 330·Ö 085600²ÄÁÏÓ뻯¹¤ +3 gqhhh 2026-03-22 3/150 2026-03-29 00:52 by 544594351
[¿¼ÑÐ] 11408Èí¼þ¹¤³ÌÇóµ÷¼Á +3 Qiuѧing 2026-03-28 3/150 2026-03-28 21:50 by zhq0425
[¿¼ÑÐ] 315Çóµ÷¼Á +4 akie... 2026-03-28 5/250 2026-03-28 21:05 by zhq0425
[¿¼ÑÐ] Ò»Ö¾Ô¸±±»¯085600²ÄÁÏר˶275|ÓÐÎÄÕÂרÀû£üÇóµ÷¼Á +7 Micky11223 2026-03-25 7/350 2026-03-28 18:34 by Î޼ʵIJÝÔ­
[¿¼ÑÐ] 394Çóµ÷¼Á +3 ºÃʶàÄ¥¾²ºò¼ÑÒ 2026-03-26 5/250 2026-03-28 14:24 by ÌÆãå¶ù
[¿¼ÑÐ] µ÷¼Á +3 ºÃºÃ¶ÁÊé¡£ 2026-03-28 3/150 2026-03-28 12:04 by Íõ±£½Ü33
[¿¼ÑÐ] ¡¾Çóµ÷¼Á¡¿085601²ÄÁϹ¤³Ìר˶ | ×Ü·Ö272 | +6 ½Å»¬µÄÊØ·¨¹«Ãñ 2026-03-27 6/300 2026-03-28 11:02 by gjlllb
[¿¼ÑÐ] 272Çóµ÷¼Á +7 ½Å»¬µÄÊØ·¨¹«Ãñ 2026-03-27 7/350 2026-03-27 17:23 by laoshidan
[¿¼ÑÐ] 07»¯Ñ§280·ÖÇóµ÷¼Á +10 722865 2026-03-23 10/500 2026-03-27 15:51 by Plutoqq
[¿¼ÑÐ] 305Çóµ÷¼Á +5 ÍÛ¬¿¨¿â 2026-03-26 5/250 2026-03-27 14:01 by laoshidan
[¿¼ÑÐ] 314Çóµ÷¼Á +3 ÏªÔÆçæ 2026-03-26 3/150 2026-03-27 11:20 by sanrepian
[ÂÛÎÄͶ¸å] Journal of Mechanical Science and Technology +3 Russ_ss 2026-03-25 5/250 2026-03-27 10:49 by ½С¹û»­´ó±ý
[¿¼ÑÐ] 329Çóµ÷¼Á +7 Å¥¶÷Ñ© 2026-03-25 7/350 2026-03-27 04:28 by wxiongid
[¿¼ÑÐ] 325Çóµ÷¼Á +5 Àî¼Îͼ¡¤S¡¤Â· 2026-03-23 5/250 2026-03-27 00:42 by wxiongid
[¿¼ÑÐ] 342Çóµ÷¼Á +3 ¼ÓÓÍaÀîzs 2026-03-26 3/150 2026-03-27 00:29 by wxiongid
[¿¼ÑÐ] µ÷¼Á +4 èÖèÖyoyo 2026-03-26 4/200 2026-03-26 20:43 by fmesaito
[¿¼ÑÐ] ¡¾Ë«Ò»Á÷ԺУÐÂÄÜÔ´¡¢»·¾³²ÄÁÏ£¬²ÄÁϼӹ¤ÓëÄ£ÄâÕÐÊÕ´óÁ¿µ÷¼Á¡¿ +4 Higraduate 2026-03-22 8/400 2026-03-26 20:34 by Higraduate
[¿¼ÑÐ] 290·Öµ÷¼ÁÇóÖú +3 ¼ªÏéÖ¹Ö¹³Â 2026-03-25 3/150 2026-03-25 19:58 by barlinike
[¿¼ÑÐ] ¡¾2026¿¼Ñе÷¼Á¡¿ÖÆÒ©¹¤³Ì 284·Ö ÇóÏà¹Ø×¨Òµµ÷¼ÁÃû¶î +4 Ô¬Û¼Û¼ 2026-03-25 8/400 2026-03-25 14:32 by lbsjt
[¿¼ÑÐ] Ò»Ö¾Ô¸ºÓ±±¹¤Òµ´óѧ0817»¯¹¤278·ÖÇóµ÷¼Á +7 jhybd 2026-03-23 12/600 2026-03-24 09:03 by jhybd
ÐÅÏ¢Ìáʾ
ÇëÌî´¦ÀíÒâ¼û