| 查看: 977 | 回复: 3 | ||
Gina2013金虫 (正式写手)
|
[求助]
骨髓微核细胞制片问题
|
|
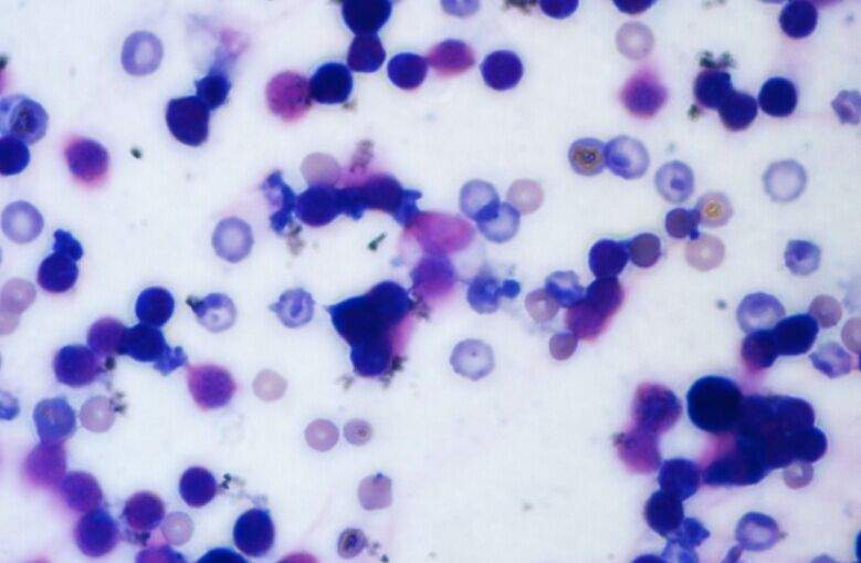
最近在做骨髓微核细胞试验,结果出来很多不知道是什么的细胞,感觉是制片问题,请大家来帮帮忙,非常感谢!!! 我制片的方法是晾干后,甲醇固定20min,晾干后Gimesa染色20min,pbs(6.8)冲洗后晾干阅片。结果如下: 还想请问大家外周血中嗜多染红细胞的含量是多少啊?我的怎么那么小呢,才占总红细胞的8%。 骨髓微核试验.jpg |
» 猜你喜欢
怎么查看固定段11位
已经有5人回复
可以准确的通过filecode判断基金中还是不中。
已经有15人回复
植物学论文润色/翻译怎么收费?
已经有176人回复
感觉普通人已经没办法玩了,躺平是唯一的出路。
已经有26人回复
江苏省优青门槛
已经有20人回复
心好累。今年我们部门提交了18个项目。中了11了,可惜我的又挂了
已经有10人回复
面上项目计划书
已经有7人回复
面上项目计划书附件
已经有9人回复
面上项目计划书系统状态
已经有18人回复
NSFC-UNEP(与联合国环境规划署)合作项目
已经有33人回复
和伊朗人合作
已经有32人回复
» 本主题相关价值贴推荐,对您同样有帮助:
关于细胞周期实验的固定
已经有7人回复
求助治疗抑郁的欣百达(盐酸度洛西汀肠溶胶囊的说明书,最好是PDF版本的!
已经有8人回复
【分享】请教药理学方面的前辈
已经有12人回复

Gina2013
金虫 (正式写手)
- 应助: 0 (幼儿园)
- 金币: 542.5
- 散金: 28
- 帖子: 374
- 在线: 51.6小时
- 虫号: 2619477
- 注册: 2013-08-27
- 性别: MM
- 专业: 生物化学

2楼2015-06-16 16:39:28
空谈误国
金虫 (正式写手)
潜龙勿用
- 应助: 4 (幼儿园)
- 金币: 833
- 散金: 115
- 帖子: 427
- 在线: 70.9小时
- 虫号: 2558636
- 注册: 2013-07-22
- 性别: GG
- 专业: 免疫识别/免疫耐受/免疫调
3楼2015-06-16 23:45:36
4楼2018-11-09 09:26:26













回复此楼