| 查看: 462 | 回复: 1 | ||
[求助]
跪求 活性污泥中这是什么微生物
|
|
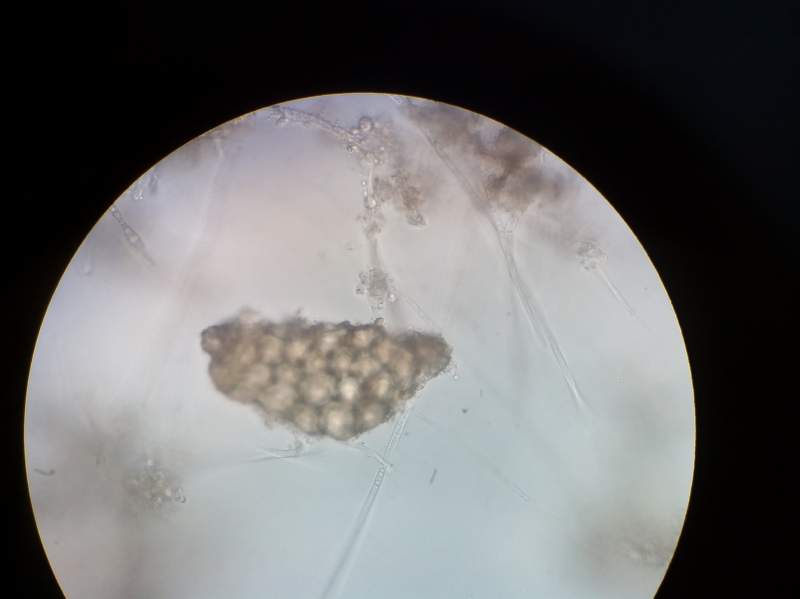
跪求这是活性污泥中什么微生物 有这些微生物是好还是不好?大神们 帮助一下我 IMG_20150123_145915.jpg IMG_20150123_150734.jpg IMG_20150123_151225.jpg IMG_20150123_152520.jpg |
» 猜你喜欢
中国科学院山西煤炭化学研究所水污染防治与资源化利用方向招本科/硕士线上实习生
已经有23人回复
市政工程方向博士研究生招生
已经有0人回复
化学工程及工业化学论文润色/翻译怎么收费?
已经有274人回复
211院士团队电池方向招收26年入学博士生
已经有1人回复
小木虫经典文档分享
已经有1人回复
某地区砷污染地块工程项目案例分享
已经有0人回复
垃圾渗滤液深度处理实验报告
已经有1人回复
哈尔滨工业大学张洪教授招收2026年博士研究生
已经有0人回复
哈尔滨工业大学张洪教授招收2026年硕士研究生
已经有2人回复
» 本主题相关价值贴推荐,对您同样有帮助:
2014年注册环保工程师基础考试(回忆版)
已经有7人回复
曝气池污泥镜检中,发现的生物是什么?
已经有7人回复
污水处理中硝化细菌的培养问题
已经有23人回复
如何判断细菌产的胞外酶催化类型?
已经有3人回复
显微镜观察污水和活性污泥中微生物问题
已经有10人回复
请问配置的污水中需要投加微生物或者污水吗?污泥投加量应该是多少?
已经有6人回复
活性污泥中微生物
已经有15人回复
求问一下污水处理厂活性污泥的菌群种类
已经有17人回复
微生物问答题求助!!!
已经有5人回复
为什么活性污泥对COD去除好,但对氮磷基本无效果(在曝气情况下)
已经有3人回复
SDS高盐法提取土壤微生物——求教各位批评指正
已经有7人回复
生物法处理有机废气中活性污泥的问题
已经有3人回复
如何利用“脱水污泥经生物好氧堆肥后的发酵产物”?
已经有11人回复
【求助】污泥中微生物培养营养物质
已经有4人回复
【讨论】活性污泥法与生物膜法的区别与适用条件
已经有11人回复
【求助】短程硝化
已经有21人回复
2楼2015-03-01 21:50:37













回复此楼