Znn3bq.jpeg
²é¿´: 2288  |  »Ø¸´: 0

¶ú¶ä²»Ìý»°

гæ (³õÈëÎÄ̳)

[ÇóÖú] ²ÝÓã¸ÎÔà¡¢³¦µÀ×éÖ¯ÇÐÆ¬È¾É«ÎÊÌ⣬Çë¸÷λ´ó³æÃÇÖ¸½Ì~

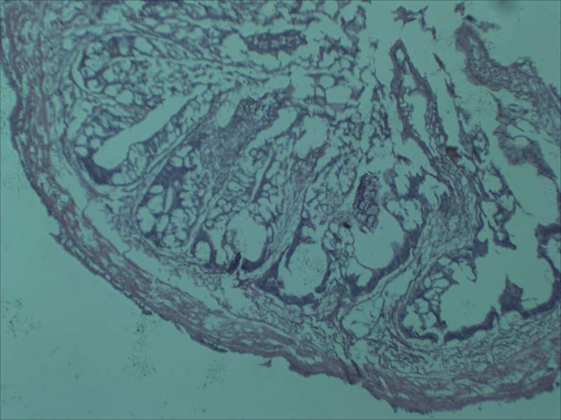
Çë¸÷λ´ó³æ¿´¿´Ð¡µÜÖÆ×÷µÄʯÀ¯ÇÐÆ¬£¬È¾É«Ð§¹û²»ºÃ£¬Çë¸÷λͬÈÊÀ´Ñо¿Ïµ½µ×ÊdzöÁËʲôÎÊÌâ¡£
ȾɫµÄ´óÖ²½Öè»ù±¾ÀàËÆ£¬ÆäÖÐÖ÷ÒªµÄËÕľ¾«È¾É«7min£¬ÑÎËáÒÒ´¼·Ö»¯90s£¬×ÔÀ´Ë®À¶»¯15min£¬ÒÁºìȾɫ30s¡£
µÚÒ»ÕÅÊÇÈ¥Äê×öµÄ³¦µÀÇÐÆ¬£¬È¾É«Ð§¹û»¹²»´í¡£
µÚ¶þÕÅÊǽñÄê×öµÄ³¦µÀÇÐÆ¬£¬È¾É«ÊÇÕâ¸öÑù×Ó£¬Ôõô¿´¶¼²»¶Ô£¬´óÖ¿ÉÒÔ¿´³ö³¦µÀµÄ½á¹¹£¬µ«Êǵ½´¦¶¼ÊÇ¿ÕÅÝ£¬²»Ã÷°×µ½µ×ÊÇʲôÇé¿ö¡£
µÚÈýÕÅÊǽñÄê×öµÄ¸ÎÔàÇÐÆ¬£¬È¾É«Ò²ÊÇÕâ¸öÑù×Ó¡£
ÔÚÕâÀïÇë´ó¼Ò¸øÓèÖ¸µ¼£¬Íò·Ö¸Ðл~

²ÝÓã¸ÎÔà¡¢³¦µÀ×éÖ¯ÇÐÆ¬È¾É«ÎÊÌ⣬Çë¸÷λ´ó³æÃÇÖ¸½Ì~
0.jpg


²ÝÓã¸ÎÔà¡¢³¦µÀ×éÖ¯ÇÐÆ¬È¾É«ÎÊÌ⣬Çë¸÷λ´ó³æÃÇÖ¸½Ì~-1
14.jpg


²ÝÓã¸ÎÔà¡¢³¦µÀ×éÖ¯ÇÐÆ¬È¾É«ÎÊÌ⣬Çë¸÷λ´ó³æÃÇÖ¸½Ì~-2
¸ÎÔà.jpg
»Ø¸´´ËÂ¥
ÒÑÔÄ   »Ø¸´´ËÂ¥   ¹Ø×¢TA ¸øTA·¢ÏûÏ¢ ËÍTAºì»¨ TAµÄ»ØÌû
Ïà¹Ø°æ¿éÌø×ª ÎÒÒª¶©ÔÄÂ¥Ö÷ ¶ú¶ä²»Ìý»° µÄÖ÷Ìâ¸üÐÂ
×î¾ßÈËÆøÈÈÌûÍÆ¼ö [²é¿´È«²¿] ×÷Õß »Ø/¿´ ×îºó·¢±í
[¿¼ÑÐ] ҩѧÇóµ÷¼Á +12 à¶¹þ¼ÓÓÍ 2026-04-14 14/700 2026-04-15 23:49 by ³ÂƤƤ
[¿¼ÑÐ] 291 Çóµ÷¼Á +40 »¯¹¤2026½ì±ÏÒµÉ 2026-04-09 41/2050 2026-04-15 21:54 by noqvsozv
[¿¼ÑÐ] 22408 312Çóµ÷¼Á +20 ÃÅ·ÃþÃþ 2026-04-14 21/1050 2026-04-15 20:39 by cuisz
[¿¼²©] 26Äêµç³Ø·½Ïò²©Ê¿ÉêÇë 10+3 15615939259 2026-04-09 4/200 2026-04-15 14:22 by kwansei
[¿¼ÑÐ] 367Çóµ÷¼Á +11 hffQAQ 2026-04-09 11/550 2026-04-14 17:48 by lhj2009
[¿¼ÑÐ] 366Çóµ÷¼Á +11 ²»ÖªÃûµÄСئ 2026-04-11 11/550 2026-04-14 15:50 by zs92450
[¿¼ÑÐ] ¿¼ÑÐÇóµ÷¼Á +6 ban°àСÆß 2026-04-11 6/300 2026-04-14 14:06 by ¶ßÀ²AÃÎÖ»ÊǸöÃÎ
[¿¼ÑÐ] ũѧ0904 312Çóµ÷¼Á +4 Say Never 2026-04-11 4/200 2026-04-14 09:10 by zs92450
[¿¼ÑÐ] 302Çóµ÷¼Á +10 Ò×£¡? 2026-04-13 10/500 2026-04-13 19:04 by lbsjt
[¿¼ÑÐ] Ò»Ö¾Ô¸085802 323·ÖÇóµ÷¼Á +13 drizzle_9 2026-04-12 14/700 2026-04-13 10:26 by Faiz5552
[¿¼ÑÐ] µçÆø×¨Ë¶320Çóµ÷¼Á +6 СÂé×Ó111 2026-04-10 6/300 2026-04-12 10:54 by lemon6009
[¿¼ÑÐ] Ò»Ö¾Ô¸»ªÖÐũ΢ÉúÎ288·Ö£¬ÈýÄêʵÑé¾­Àú +11 ´úfish 2026-04-09 11/550 2026-04-12 10:21 by Hayaay
[¿¼ÑÐ] 359Çóµ÷¼Á +5 θ¾·ÂÎÀÛÁË 2026-04-11 5/250 2026-04-11 19:55 by lbsjt
[¿¼ÑÐ] Çóµ÷¼Á +3 θ¾·ÂÎÀÛÁË 2026-04-11 5/250 2026-04-11 14:13 by luhong1990
[¿¼ÑÐ] 087100³õÊÔ311Çóµ÷¼Á +4 ÈÎÑÅÇÙ 2026-04-09 4/200 2026-04-11 10:33 by zhq0425
[¿¼ÑÐ] 346£¬¹¤¿ÆÇóµ÷¼Á +3 moser233 2026-04-09 3/150 2026-04-11 10:04 by zhq0425
[¿¼ÑÐ] 085402ͨÐŹ¤³Ìµ÷¼Á£¬ÓÐ4Ïîѧ¿Æ¾ºÈü¹ú½±£¨µçÈü¹ú¶þ£©£¬Ë¶Ê¿Ñо¿Éúµ÷¼Á×Ô¼öÐÅ¡£ +5 mÓÀo²»vÑÔoÆúm 2026-04-09 5/250 2026-04-11 09:33 by zhq0425
[¿¼ÑÐ] ±¾9 Ò»Ö¾Ô¸Î÷¹¤´ó085601 324Çóµ÷¼Á +5 wysyjs25 2026-04-10 5/250 2026-04-10 16:57 by luoyongfeng
[¿¼ÑÐ] »¯Ñ§¹¤³ÌÓë¼¼Êõרҵһ־Ը¹þ¹¤³Ì 291·ÖBÇø ¹ú¼Ò¼¶´ó´´¸ºÔðÈË ÓÐÒ»×÷ÂÛÎÄ +13 Emmy~ 2026-04-09 13/650 2026-04-09 14:47 by onlyÖÜ
[¿¼ÑÐ] 0860004 Çóµ÷¼Á 309·Ö +6 Yin DY 2026-04-09 6/300 2026-04-09 10:19 by °¡Àî999
ÐÅÏ¢Ìáʾ
ÇëÌî´¦ÀíÒâ¼û