| 查看: 844 | 回复: 4 | ||
dplfly金虫 (正式写手)
|
[求助]
能看懂爬行动物骨切片显微结构的请教。谢谢! 已有1人参与
|
|
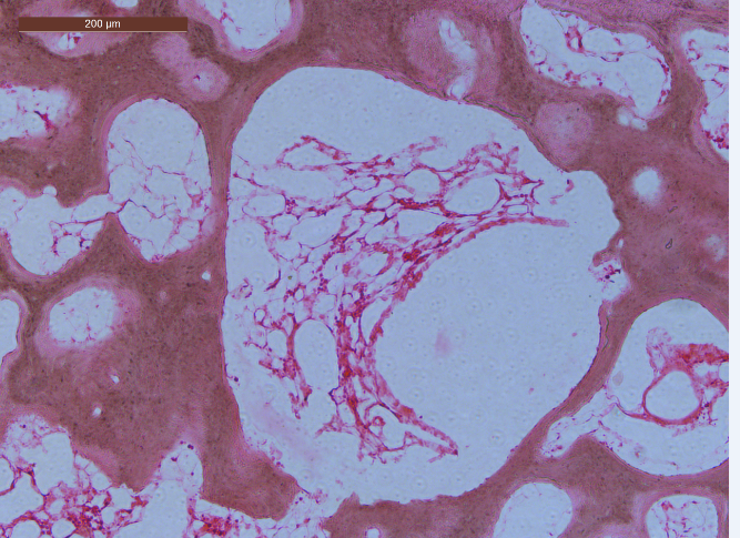
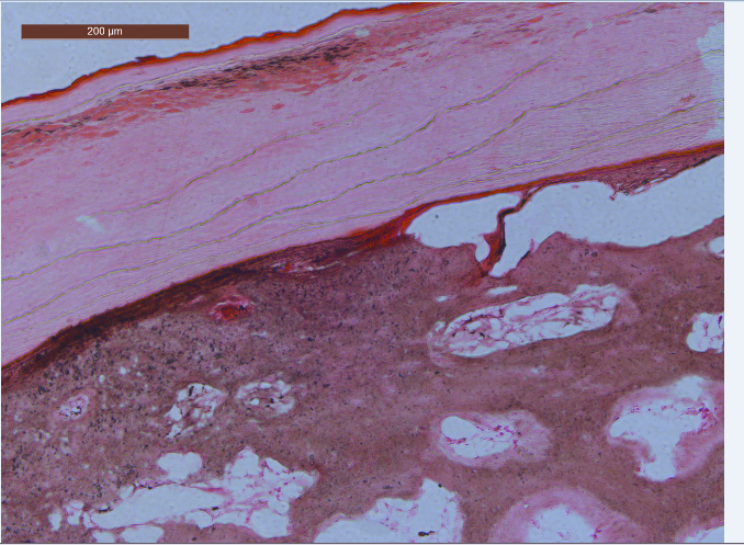
请看图。这是某爬行动物的骨横切片,不知道专业知识,所以无法用专业术语描述,请懂得的专家指教。谢谢。 M26N@([SJ0Y6}CL})2W$7MS.png NG0]T@1YR]~$(VE5$]W$FT6.png |
» 猜你喜欢
感觉普通人已经没办法玩了,躺平是唯一的出路。
已经有26人回复
江苏省优青门槛
已经有20人回复
植物学论文润色/翻译怎么收费?
已经有246人回复
心好累。今年我们部门提交了18个项目。中了11了,可惜我的又挂了
已经有10人回复
面上项目计划书
已经有7人回复
面上项目计划书附件
已经有9人回复
面上项目计划书系统状态
已经有18人回复
NSFC-UNEP(与联合国环境规划署)合作项目
已经有33人回复
和伊朗人合作
已经有32人回复
江苏省自然基金
已经有7人回复
生命科学新英文普刊《INVESTIGATION OF LIFE SCIENCE》
已经有4人回复

2楼2015-02-05 13:54:38
dplfly
金虫 (正式写手)
- 应助: 0 (幼儿园)
- 金币: 1184.8
- 散金: 35
- 帖子: 401
- 在线: 55.8小时
- 虫号: 1256274
- 注册: 2011-04-06
- 性别: GG
- 专业: 中药质量评价
3楼2015-02-05 15:56:21
dplfly
金虫 (正式写手)
- 应助: 0 (幼儿园)
- 金币: 1184.8
- 散金: 35
- 帖子: 401
- 在线: 55.8小时
- 虫号: 1256274
- 注册: 2011-04-06
- 性别: GG
- 专业: 中药质量评价
4楼2015-02-05 16:07:14
dplfly
金虫 (正式写手)
- 应助: 0 (幼儿园)
- 金币: 1184.8
- 散金: 35
- 帖子: 401
- 在线: 55.8小时
- 虫号: 1256274
- 注册: 2011-04-06
- 性别: GG
- 专业: 中药质量评价
5楼2015-02-05 16:21:39













回复此楼
dplfly