| 查看: 1734 | 回复: 5 | ||
[求助]
内生真菌显微镜鉴定怎么弄啊!!!!! 已有1人参与
|
|
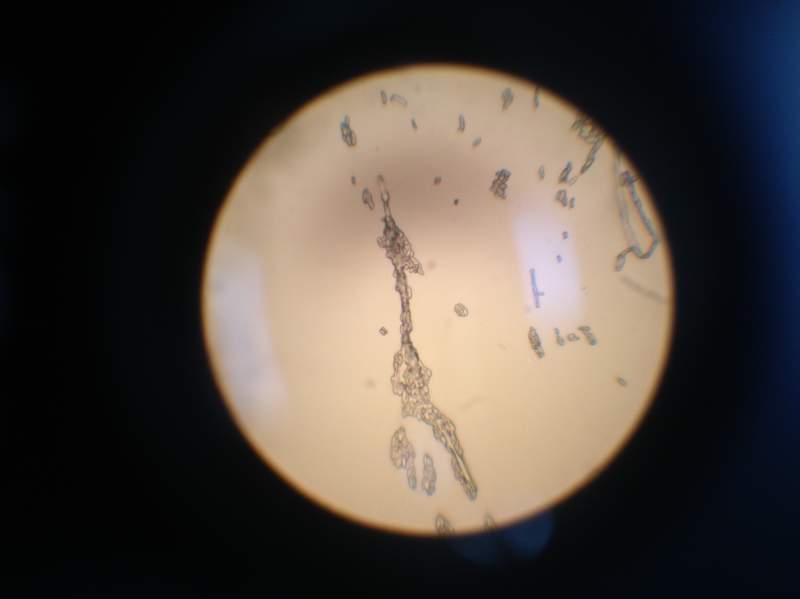
我在平板上用接种环挑去菌丝,放到载玻片上,就直接拿到显微镜下40倍观察,可是看到的全是菌丝啊,也鉴定不到属啊!!!求大神指导,后续加金币!!! 001.JPG 002.JPG 003.JPG 004.JPG 005.JPG 006.JPG 007.JPG 008.JPG 009.JPG |
» 猜你喜欢
288求调剂,一志愿华南理工大学071005
已经有7人回复
304求调剂
已经有14人回复
一志愿211,化学310分,本科重点双非,求调剂
已经有4人回复
293调剂
已经有7人回复
327求调剂
已经有8人回复
307求调剂
已经有14人回复
283分求调剂
已经有14人回复
一志愿211,0703化学305分求调剂
已经有16人回复
环境专硕调剂
已经有13人回复
338求调剂
已经有8人回复
» 本主题相关价值贴推荐,对您同样有帮助:
黄芪内生真菌分离第二季求助!!!!
已经有13人回复
植物内生菌 培养基上如何确定细菌真菌霉菌??
已经有12人回复
白芨的根部内生真菌分离
已经有18人回复
如何在显微镜下鉴别细菌的死活
已经有17人回复
请大神帮忙看一下我在植物中提取的菌是真菌还是细菌啊
已经有11人回复
真菌观察鉴定的方法。
已经有3人回复
请问内生真菌和内生菌根什么关系?
已经有16人回复
内生真菌发酵培养基讨论
已经有9人回复
内生真菌培养过程中的细菌污染问题
已经有7人回复
求助真菌鉴定到种
已经有10人回复
内生细菌 英文怎么写
已经有6人回复
观察原生质体需要使用什么显微镜???
已经有12人回复
真菌鉴定培养基
已经有8人回复
求问真菌中有哪些存在多核现象的?
已经有6人回复
用普通显微镜可以看清楚真菌的孢子形态吗?
已经有14人回复
请教植物内生真菌筛选
已经有19人回复
真菌要用电子显微镜还是透射显微镜?
已经有8人回复
【求助】看内生真菌的原生质体需要多少倍显微镜可见?形态如何。。
已经有4人回复
【求助/交流】乳酸-苯酚溶液鉴定真菌的步骤,观察要点
已经有9人回复
【求助】显微镜放大400倍后的粒径是多少
已经有7人回复
【求助/交流】观察藻类要用多少倍的显微镜
已经有7人回复
wangxiaoguo
木虫 (正式写手)
- 应助: 2 (幼儿园)
- 金币: 2941.9
- 散金: 361
- 红花: 3
- 帖子: 343
- 在线: 112.3小时
- 虫号: 866244
- 注册: 2009-10-09
- 专业: 植物生理与生化

2楼2015-04-22 16:30:55
wangxiaoguo
木虫 (正式写手)
- 应助: 2 (幼儿园)
- 金币: 2941.9
- 散金: 361
- 红花: 3
- 帖子: 343
- 在线: 112.3小时
- 虫号: 866244
- 注册: 2009-10-09
- 专业: 植物生理与生化

3楼2015-05-08 16:24:39
4楼2015-05-08 19:40:45
5楼2016-05-05 22:51:23
6楼2016-05-06 00:07:55














回复此楼
100