| 查看: 1348 | 回复: 5 | ||
[求助]
请教各位我的细胞还能活吗 已有2人参与
|
|
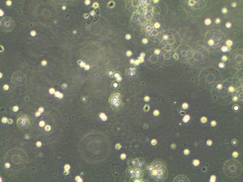
昨天做了原代取的是软骨细胞,24小时后我观察了一下,有很多黑色小点点,是污染了吗?还有很多细胞没有贴壁, 现在这样的细胞还能够继续活吗?有什么办法可以挽救吗? 10X 软骨 细胞24h 2014-06-03_7.jpg 10X 软骨 细胞24h 2014-06-03_12.jpg 10X 软骨 细胞24h 2014-06-03_13.jpg |
» 猜你喜欢
一志愿北交大材料工程总分358求调剂
已经有4人回复
材料专硕322
已经有3人回复
336材料与化工085600求调剂
已经有5人回复
化学调剂
已经有16人回复
320分人工智能调剂
已经有8人回复
(调剂)一志愿报考哈尔滨工业大学0857资源与环境专业378分考生
已经有7人回复
331求调剂
已经有6人回复
材料334求调剂
已经有16人回复
308求调剂
已经有9人回复
332求调剂
已经有15人回复
» 本主题相关价值贴推荐,对您同样有帮助:
请问,显微镜下原代细胞中的这些异物是什么?
已经有11人回复
请教,细胞染色的问题
已经有15人回复
请问与hela细胞对应的正常细胞是什么?
已经有4人回复
细胞药理学的问题请教药理行家
已经有3人回复
请教一个细胞的问题
已经有6人回复
活细胞能不能在荧光显微镜下观察到自体荧光
已经有9人回复
请教各位大神如何才能使Hela细胞产生分泌性VEGF-GFP
已经有4人回复
请教关于MTT脾淋巴细胞增殖问题
已经有11人回复
请教在细胞悬液中让细胞失活但使细胞膜不崩解的方法
已经有15人回复
我是新手想请教一个关于细胞铺板的问题
已经有4人回复
MCF-10A细胞消化问题请教,谢谢!
已经有10人回复
NK细胞活性检测实验
已经有1人回复
【求助/交流】怎么鉴别植物细胞是活着还是死了,有任何想法的都请不吝指教,谢谢
已经有13人回复
【求助/交流】请教关于测定细胞琥珀酸氧化酶的问题
已经有3人回复
【求助/交流】请问人的细胞裂解液在4度下蛋白的降解
已经有5人回复
【求助/交流】细胞铺板问题请教!!
已经有16人回复
【求助/交流】请教一个细胞培养基的问题
已经有6人回复
【请教】请教纳米粒子进入细胞核的问题
已经有15人回复
yipan
铜虫 (职业作家)
- BioEPI: 2
- 应助: 214 (大学生)
- 金币: 16445.4
- 散金: 275
- 红花: 6
- 帖子: 4189
- 在线: 195.9小时
- 虫号: 2743878
- 注册: 2013-10-22
- 性别: GG
- 专业: 整合生物学
2楼2014-06-04 08:38:34
3楼2014-06-04 09:23:43
4楼2014-06-06 15:17:58
★ ★ ★ ★ ★ ★ ★ ★ ★ ★ ★ ★ ★ ★ ★ ★ ★ ★ ★ ★
silicare: 金币-20, 屏蔽内容, 违规存档, 答非所问,恶意广告,多次违规 2014-07-08 12:34:33
silicare: 金币-20, 屏蔽内容, 违规存档, 答非所问,恶意广告,多次违规 2014-07-08 12:34:33
|
本帖内容被屏蔽 |
5楼2014-07-07 16:10:38
6楼2017-03-21 22:57:56














回复此楼
5