| ²é¿´: 2560 | »Ø¸´: 15 | |||
ñ¼ÓÞÖ®½ð³æ (СÓÐÃûÆø)
|
[ÇóÖú]
¸ïÀ¼ÊϾµ¼ìÀ¶É«Ôõô»ØÊ ÒÑÓÐ5È˲ÎÓë
|
|
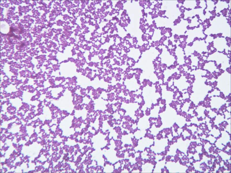
ÇëÎʲÉÓÃá⿨DM500ÏÔ΢¾µ£¬¶Ô½øÐÐÁ˸ïÀ¼ÊÏȾɫµÄϸ¾ú½øÐоµ¼ì£¬½á¹ûÊÇÀ¶É«£¬ÊÇÔõô»ØÊÂÄØ£¿¶øÓñðµÄÏÔ΢¾µÈ´ÊÇÕý³£×ÏÉ«¡£Í¼Æ¬¼û¸½¼þ¡£ ×ÔÖÆá⿨1-1.jpg ×ÔÖÆ°Â1-3.jpg |
» ²ÂÄãϲ»¶
Ò»Ö¾Ô¸»ªÖпƼ¼´óѧ071000£¬Çóµ÷¼Á
ÒѾÓÐ4È˻ظ´
ÉúÎïѧһ־Ը985£¬·ÖÊý349Çóµ÷¼Á
ÒѾÓÐ4È˻ظ´
ÉúÎïѧµ÷¼Á
ÒѾÓÐ4È˻ظ´
Çóµ÷¼ÁԺУÐÅÏ¢
ÒѾÓÐ4È˻ظ´
085600²ÄÁÏÓ뻯¹¤306
ÒѾÓÐ4È˻ظ´
286Çóµ÷¼Á
ÒѾÓÐ10È˻ظ´
328Çóµ÷¼Á£¬Ó¢ÓïÁù¼¶551£¬ÓпÆÑоÀú
ÒѾÓÐ9È˻ظ´
Ò»Ö¾Ô¸±±¾©»¯¹¤´óѧ070300 ѧ˶336Çóµ÷¼Á
ÒѾÓÐ4È˻ظ´
286·ÖÈ˹¤ÖÇÄÜרҵÇëÇóµ÷¼ÁÔ¸Òâ¿ç¿¼£¡
ÒѾÓÐ8È˻ظ´
×ÊÔ´Óë»·¾³ µ÷¼ÁÉêÇë(333·Ö)
ÒѾÓÐ5È˻ظ´
» ±¾Ö÷ÌâÏà¹Ø¼ÛÖµÌùÍÆ¼ö£¬¶ÔÄúͬÑùÓаïÖú:
FITCȾɫȾ¶à³¤Ê±¼ä
ÒѾÓÐ3È˻ظ´
¸ïÀ¼ÊÏȾɫ¡¢¾µ¼ì
ÒѾÓÐ15È˻ظ´
¼ø¶¨ÕâÊÇʲô΢ÉúÎÊÇ·ñÊǽÍĸ£¿
ÒѾÓÐ33È˻ظ´
ÇóÖú¸ßÊÖ£¬¾µ¼ì£¨¸ïÀ¼ÊÏȾɫ£©£¬ÑôÐÔ³¦Çò¾ú×ÜÊdzöÏÖ¼ÙÒõÐÔ
ÒѾÓÐ4È˻ظ´
ÎÒÓÃÏÔ΢¾µ×ö¸ïÀ¼ÊÏȾɫ¹Û²ì£¬¹ØÓÚÓ;µµÄÎÊÌ⡣ϣÍû´ó¼Ò¸øÎÒÖ¸Õý°ïæһÏÂллÁË
ÒѾÓÐ21È˻ظ´
΢ÉúÎïʵÑé³£ÓÃȾɫҺ¼°È¾É«·½·¨
ÒѾÓÐ8È˻ظ´
¡¾ÇóÖú/½»Á÷¡¿ÓÐûÓÐÈË×ö¹ýÄâÄϽæÅßÌ¥µÄGUSȾɫµÄ£¬ÊÇÏȰþÀëÅßÌ¥»¹ÊÇÁ¬¹û¼ÔÒ»ÆðȾ£¿
ÒѾÓÐ6È˻ظ´
¡¾ÌÖÂÛ¡¿F-actin ȾɫÖÐΪʲôȾ²»³öÏËά״ͼƬ
ÒѾÓÐ7È˻ظ´
¡¾ÇóÖú¡¿HEȾɫÖоƾ«Ê¹ÓÃ
ÒѾÓÐ3È˻ظ´
adajf
ͳæ (³õÈëÎÄ̳)
- Ó¦Öú: 3 (Ó×¶ùÔ°)
- ½ð±Ò: 204
- Ìû×Ó: 7
- ÔÚÏß: 6.7Сʱ
- ³æºÅ: 2107442
- ×¢²á: 2012-11-05
- ÐÔ±ð: MM
- רҵ: µ°°×ÖÊ×éѧ
2Â¥2014-05-14 17:18:44
xiaoamuchong
ר¼Ò¹ËÎÊ (Ö°Òµ×÷¼Ò)
¿ÆÑй¤×÷Õß
-

ר¼Ò¾Ñé: +261 - MicEPI: 3
- Ó¦Öú: 309 (´óѧÉú)
- ½ð±Ò: 7113
- É¢½ð: 582
- ºì»¨: 87
- ɳ·¢: 8
- Ìû×Ó: 3151
- ÔÚÏß: 745.7Сʱ
- ³æºÅ: 3130111
- ×¢²á: 2014-04-12
- רҵ: ΢ÉúÎïÉúÀíÓëÉúÎﻯѧ
- ¹ÜϽ: ΢ÉúÎï

3Â¥2014-05-14 17:34:17
wzq_ing
½ð³æ (ÕýʽдÊÖ)
- Ó¦Öú: 204 (´óѧÉú)
- ½ð±Ò: 5171.1
- ºì»¨: 11
- Ìû×Ó: 576
- ÔÚÏß: 98.9Сʱ
- ³æºÅ: 1535064
- ×¢²á: 2011-12-13
- רҵ: ΢ÉúÎïѧ
4Â¥2014-05-15 08:16:46
ñ¼ÓÞÖ®
½ð³æ (СÓÐÃûÆø)
- Ó¦Öú: 11 (СѧÉú)
- ½ð±Ò: 1503
- É¢½ð: 3
- ºì»¨: 3
- Ìû×Ó: 199
- ÔÚÏß: 79.6Сʱ
- ³æºÅ: 1483355
- ×¢²á: 2011-11-09
- רҵ: ʳƷ¿ÆÑ§»ù´¡
5Â¥2014-05-15 15:38:17
ñ¼ÓÞÖ®
½ð³æ (СÓÐÃûÆø)
- Ó¦Öú: 11 (СѧÉú)
- ½ð±Ò: 1503
- É¢½ð: 3
- ºì»¨: 3
- Ìû×Ó: 199
- ÔÚÏß: 79.6Сʱ
- ³æºÅ: 1483355
- ×¢²á: 2011-11-09
- רҵ: ʳƷ¿ÆÑ§»ù´¡
6Â¥2014-05-15 15:40:08
ñ¼ÓÞÖ®
½ð³æ (СÓÐÃûÆø)
- Ó¦Öú: 11 (СѧÉú)
- ½ð±Ò: 1503
- É¢½ð: 3
- ºì»¨: 3
- Ìû×Ó: 199
- ÔÚÏß: 79.6Сʱ
- ³æºÅ: 1483355
- ×¢²á: 2011-11-09
- רҵ: ʳƷ¿ÆÑ§»ù´¡
7Â¥2014-05-15 15:42:48
xiaoamuchong
ר¼Ò¹ËÎÊ (Ö°Òµ×÷¼Ò)
¿ÆÑй¤×÷Õß
-

ר¼Ò¾Ñé: +261 - MicEPI: 3
- Ó¦Öú: 309 (´óѧÉú)
- ½ð±Ò: 7113
- É¢½ð: 582
- ºì»¨: 87
- ɳ·¢: 8
- Ìû×Ó: 3151
- ÔÚÏß: 745.7Сʱ
- ³æºÅ: 3130111
- ×¢²á: 2014-04-12
- רҵ: ΢ÉúÎïÉúÀíÓëÉúÎﻯѧ
- ¹ÜϽ: ΢ÉúÎï

8Â¥2014-05-15 16:49:40
¸Ðл²ÎÓ룬ӦÖúÖ¸Êý +1
|
±¾ÌûÄÚÈݱ»ÆÁ±Î |
9Â¥2014-05-15 17:01:43
xyj114114
ľ³æ (ÖøÃûдÊÖ)
- Ó¦Öú: 2 (Ó×¶ùÔ°)
- ½ð±Ò: 4148.8
- É¢½ð: 100
- ºì»¨: 3
- Ìû×Ó: 1439
- ÔÚÏß: 101.7Сʱ
- ³æºÅ: 1063812
- ×¢²á: 2010-07-25
- רҵ: »·¾³Î¢ÉúÎïѧ
10Â¥2014-05-15 23:22:34













»Ø¸´´ËÂ¥